Suppr超能文献

EZH2 通过 SKP2-KIP/CIP 通路在调控细胞周期进程中的酶非依赖性作用。

Enzyme-independent role of EZH2 in regulating cell cycle progression via the SKP2-KIP/CIP pathway.

机构信息

Division of Environmental Medicine, Department of Medicine Grossman School of Medicine, New York University, 341 East 25th Street, New York, NY, 10010, USA.

出版信息

Sci Rep. 2024 Jun 11;14(1):13389. doi: 10.1038/s41598-024-64338-4.

Abstract

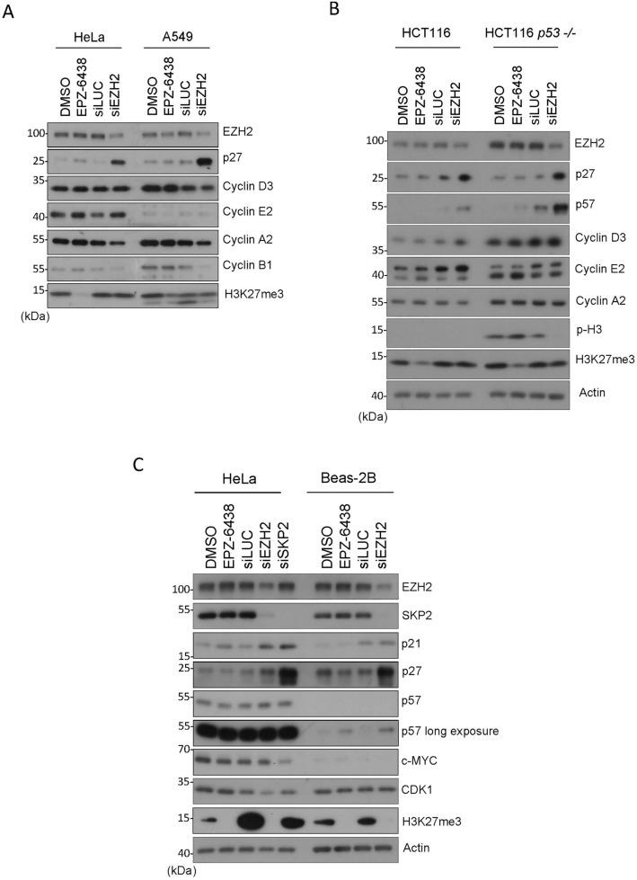
While EZH2 enzymatic activity is well-known, emerging evidence suggests that EZH2 can exert functions in a methyltransferase-independent manner. In this study, we have uncovered a novel mechanism by which EZH2 positively regulates the expression of SKP2, a critical protein involved in cell cycle progression. We demonstrate that depletion of EZH2 significantly reduces SKP2 protein levels in several cell types, while treatment with EPZ-6438, an EZH2 enzymatic inhibitor, has no effect on SKP2 protein levels. Consistently, EZH2 depletion leads to cell cycle arrest, accompanied by elevated expression of CIP/KIP family proteins, including p21, p27, and p57, whereas EPZ-6438 treatment does not modulate their levels. We also provide evidence that EZH2 knockdown, but not enzymatic inhibition, suppresses SKP2 mRNA expression, underscoring the transcriptional regulation of SKP2 by EZH2 in a methyltransferase-independent manner. Supporting this, analysis of the Cancer Genome Atlas database reveals a close association between EZH2 and SKP2 expression in human malignancies. Moreover, EZH2 depletion but not enzymatic inhibition positively regulates the expression of major epithelial-mesenchymal transition (EMT) regulators, such as ZEB1 and SNAIL1, in transformed cells. Our findings shed light on a novel mechanism by which EZH2 exerts regulatory effects on cell proliferation and differentiation through its methyltransferase-independent function, specifically by modulating SKP2 expression.

摘要

尽管 EZH2 的酶活性是众所周知的,但新的证据表明,EZH2 可以以一种不依赖于甲基转移酶的方式发挥作用。在这项研究中,我们揭示了一种新的机制,通过该机制,EZH2 正向调节 SKP2 的表达,SKP2 是参与细胞周期进程的关键蛋白。我们证明,在几种细胞类型中,EZH2 的耗竭显著降低了 SKP2 蛋白水平,而 EZH2 酶抑制剂 EPZ-6438 对 SKP2 蛋白水平没有影响。一致地,EZH2 耗竭导致细胞周期停滞,同时 CIP/KIP 家族蛋白(包括 p21、p27 和 p57)的表达升高,而 EPZ-6438 处理不会调节它们的水平。我们还提供了证据表明,EZH2 敲低而不是酶抑制抑制了 SKP2 mRNA 的表达,这突出了 EZH2 以不依赖于甲基转移酶的方式对 SKP2 的转录调控。支持这一点,癌症基因组图谱数据库的分析表明,在人类恶性肿瘤中,EZH2 和 SKP2 的表达之间存在密切关联。此外,EZH2 耗竭而非酶抑制正向调节转化细胞中主要上皮-间充质转化(EMT)调节剂的表达,如 ZEB1 和 SNAIL1。我们的发现揭示了一种新的机制,通过该机制,EZH2 通过其不依赖于甲基转移酶的功能对细胞增殖和分化发挥调节作用,具体是通过调节 SKP2 的表达。

https://cdn.ncbi.nlm.nih.gov/pmc/blobs/2d61/11166936/2c38bed4e2aa/41598_2024_64338_Fig1_HTML.jpg

文献AI研究员

20分钟写一篇综述,助力文献阅读效率提升50倍。

立即体验

用中文搜PubMed

大模型驱动的PubMed中文搜索引擎

马上搜索

文档翻译

学术文献翻译模型,支持多种主流文档格式。

立即体验