Suppr超能文献

阿尔茨海默病患者脑血流灌注、神经元细胞因子与认知功能的关系研究。

Study on the Relationship between Cerebral Blood Perfusion, Neuronal Cytokines and Cognitive Function in Patients with Alzheimer's Disease.

机构信息

Department of Radiology, 903 Hospital of the People's Liberation Army Joint Logistics Support Force, 310000 Hangzhou, Zhejiang, China.

Department of Nuclear Medicine, 903 Hospital of the People's Liberation Army Joint Logistics Support Force, 310000 Hangzhou, Zhejiang, China.

出版信息

Actas Esp Psiquiatr. 2024 Jun;52(3):238-247. doi: 10.62641/aep.v52i3.1630.

Abstract

BACKGROUND

Alzheimer's disease (AD) is a common neurodegenerative disorder characterized by the progressive emergence of multiple cognitive deficits. Early diagnosis is of great significance for the intervention and treatment of AD. The objective of this study is to explore the relationship between cerebral blood perfusion, neuronal cytokines and cognitive function in patients with AD.

METHODS

AD patients admitted to the 903 Hospital of the People's Liberation Army Joint Logistics Support Force from June 2020 to January 2023 were retrospectively selected as the study objects, and 65 healthy people who underwent physical examination during the same period were included in the control group. Subjects in both groups underwent 3.0 T magnetic resonance imaging (MRI) to observe their cerebral blood perfusion parameters. The level of cognitive function in both groups was assessed using the Montreal Cognitive Assessment (MoCA). Venous blood was collected from both groups, and the serum levels of brain-derived neuronal factor (BDNF) and glial cell-derived neurotrophic factor (GDNF) were measured by enzyme-linked immunosorbent assay (ELISA). The correlation of serum BDNF and GDNF levels with cerebral blood perfusion parameters and MoCA score in the AD group was analyzed using Spearman analysis.

RESULTS

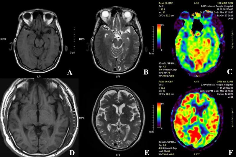
The cerebral blood flow signal intensity of the left frontal lobe, right frontal lobe, left temporal lobe, right temporal lobe, left parietal lobe, right parietal lobe, left occipital lobe, and right occipital lobe of the observation group was significantly lower than that of the control group (p < 0.001). The visuospatial, executive functions, naming, attention, language function, abstract generalization ability, memory ability, orientation, and total MoCA scale scores were significantly lower than those of the control group (p < 0.001). The serum levels of BDNF and GDNF in the observation group were significantly lower than those in the control group (p < 0.001). The results of Spearman analysis showed that cerebral blood perfusion parameters of the left frontal lobe, right frontal lobe, left temporal lobe, right temporal lobe, left parietal lobe, right parietal lobe, left occipital lobe, and right occipital lobe were positively correlated with cognitive function scores in AD patients, serum BDNF and GDNF levels were positively correlated with cognitive function scores in AD patients, and the correlation was statistically significant (p < 0.05).

CONCLUSION

In AD patients, blood perfusion parameters and serum BDNF and GDNF levels were significantly lower than those of healthy people. Cerebral blood perfusion parameters of the left frontal lobe, right frontal lobe, left temporal lobe, right temporal lobe, left parietal lobe, right parietal lobe, left occipital lobe, and right occipital lobe, and BDNF and GDNF levels were positively correlated with cognitive function scores in AD patients.

摘要

背景

阿尔茨海默病(AD)是一种常见的神经退行性疾病,其特征是多种认知缺陷逐渐出现。早期诊断对 AD 的干预和治疗具有重要意义。本研究旨在探讨 AD 患者脑血流灌注、神经元细胞因子与认知功能的关系。

方法

回顾性选取 2020 年 6 月至 2023 年 1 月解放军联勤保障部队 903 医院收治的 AD 患者作为研究对象,选取同期体检的 65 名健康人作为对照组。两组受试者均行 3.0T 磁共振成像(MRI)观察脑血流灌注参数。采用蒙特利尔认知评估量表(MoCA)评估两组认知功能。采集两组静脉血,采用酶联免疫吸附法(ELISA)检测血清脑源性神经营养因子(BDNF)和胶质细胞源性神经营养因子(GDNF)水平。采用 Spearman 分析 AD 组患者血清 BDNF 和 GDNF 水平与脑血流灌注参数、MoCA 评分的相关性。

结果

观察组左侧额、右侧额、左侧颞、右侧颞、左侧顶、右侧顶、左侧枕、右侧枕脑血流信号强度明显低于对照组(p<0.001)。观察组视空间与执行功能、命名、注意力、语言功能、抽象概括能力、记忆能力、定向力及 MoCA 总分评分均明显低于对照组(p<0.001)。观察组血清 BDNF 和 GDNF 水平明显低于对照组(p<0.001)。Spearman 分析结果显示,AD 患者左侧额、右侧额、左侧颞、右侧颞、左侧顶、右侧顶、左侧枕、右侧枕脑血流灌注参数与认知功能评分呈正相关,血清 BDNF 和 GDNF 水平与 AD 患者认知功能评分呈正相关,且相关性具有统计学意义(p<0.05)。

结论

AD 患者脑血流灌注参数及血清 BDNF、GDNF 水平明显低于健康人群,左侧额、右侧额、左侧颞、右侧颞、左侧顶、右侧顶、左侧枕、右侧枕脑血流灌注参数及 BDNF、GDNF 水平与 AD 患者认知功能评分呈正相关。

https://cdn.ncbi.nlm.nih.gov/pmc/blobs/bc26/11190452/170d026c1921/ActEsp-52-3-238-247-F1.jpg

文献AI研究员

20分钟写一篇综述,助力文献阅读效率提升50倍。

立即体验

用中文搜PubMed

大模型驱动的PubMed中文搜索引擎

马上搜索

文档翻译

学术文献翻译模型,支持多种主流文档格式。

立即体验