Kim Woo-Jin, Ryu Jeong-Hyun, Kim Ji Won, Kim Ki-Tae, Shin Hye-Rim, Yoon Heein, Ryoo Hyun-Mo, Cho Young-Dan
Department of Molecular Genetics, School of Dentistry and Dental Research Institute, Seoul National University, Seoul, 03080, Republic of Korea.
Department of Periodontology, School of Dentistry and Dental Research Institute, Seoul National University and Seoul National University Dental Hospital, Seoul, 03080, Republic of Korea.
Regen Biomater. 2024 Jun 3;11:rbae055. doi: 10.1093/rb/rbae055. eCollection 2024.
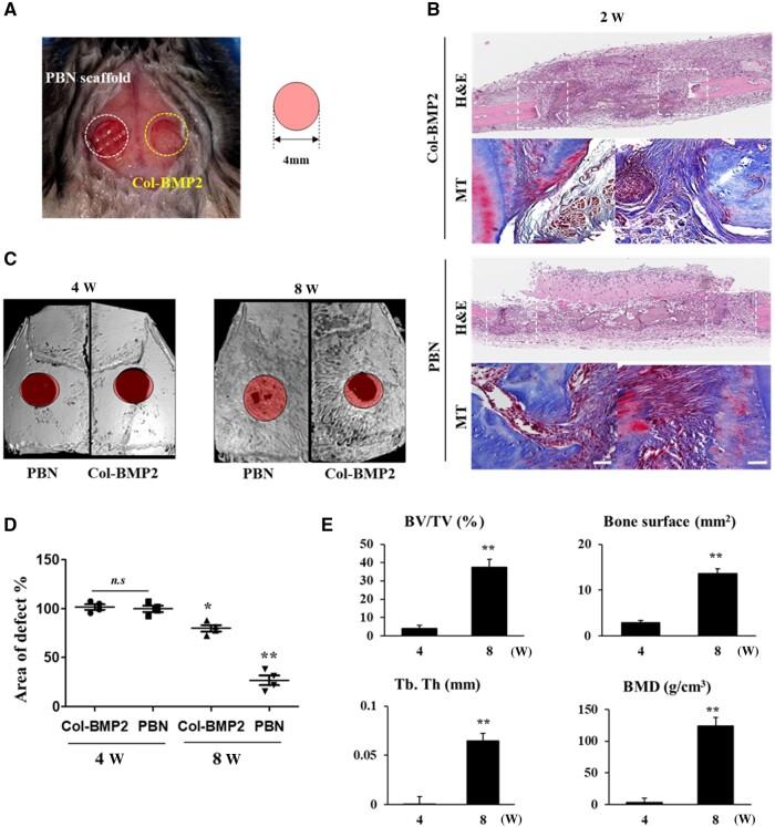
Clinical bone-morphogenetic protein 2 (BMP2) treatment for bone regeneration, often resulting in complications like soft tissue inflammation and ectopic ossification due to high dosages and non-specific delivery systems, necessitates research into improved biomaterials for better BMP2 stability and retention. To tackle this challenge, we introduced a groundbreaking bone-targeted, lipoplex-loaded, three-dimensional bioprinted bilayer scaffold, termed the polycaprolactone-bioink-nanoparticle (PBN) scaffold, aimed at boosting bone regeneration. We encapsulated BMP2 within the fibroin nanoparticle based lipoplex (Fibroplex) and functionalized it with DSS for bone tissue-specific targeting. 3D printing technology enables customized, porous PCL scaffolds for bone healing and soft tissue growth, with a two-step bioprinting process creating a cellular lattice structure and a bioink grid using gelatin-alginate hydrogel and DSS-Fibroplex, shown to support effective nutrient exchange and cell growth at specific pore sizes. The PBN scaffold is predicted through analysis to exhibit biased BMP2 release between bone and soft tissue, a finding validated by osteogenic differentiation assays. The PBN scaffold was evaluated for critical calvarial defects, focusing on sustained BMP2 delivery, prevention of soft tissue cell infiltration and controlled fiber membrane pore size . The PBN scaffold demonstrated a more than eight times longer BMP2 release time than that of the collagen sponge, promoting osteogenic differentiation and bone regeneration in a calvarial defect animal. Our findings suggest that the PBN scaffold enhanced the local concentration of BMP2 in bone defects through sustained release and improved the spatial arrangement of bone formation, thereby reducing the risk of heterotopic ossification.
临床上使用骨形态发生蛋白2(BMP2)促进骨再生时,由于高剂量和非特异性递送系统,常常会导致软组织炎症和异位骨化等并发症,因此需要研究改进的生物材料,以实现更好的BMP2稳定性和保留率。为应对这一挑战,我们引入了一种开创性的骨靶向、负载脂质体复合物的三维生物打印双层支架,称为聚己内酯-生物墨水-纳米颗粒(PBN)支架,旨在促进骨再生。我们将BMP2包裹在基于丝素蛋白纳米颗粒的脂质体复合物(纤维脂质体)中,并用二硫代琥珀酰亚胺酯(DSS)对其进行功能化,以实现骨组织特异性靶向。3D打印技术能够制造定制的多孔聚己内酯支架,用于骨愈合和软组织生长,两步生物打印过程使用明胶-藻酸盐 hydrogel和DSS-纤维脂质体创建细胞晶格结构和生物墨水网格,结果表明在特定孔径下可支持有效的营养物质交换和细胞生长。通过分析预测,PBN支架在骨和软组织之间表现出有偏向性的BMP2释放,这一发现通过成骨分化试验得到验证。对PBN支架进行了颅骨关键缺损评估,重点关注BMP2的持续递送、防止软组织细胞浸润和控制纤维膜孔径。PBN支架的BMP2释放时间比胶原海绵长八倍多,在颅骨缺损动物中促进了成骨分化和骨再生。我们的研究结果表明,PBN支架通过持续释放提高了骨缺损中BMP2的局部浓度,并改善了骨形成的空间排列,从而降低了异位骨化的风险。