Bai Yuanyuan, You Yiqing, Chen Daoxun, Chen Yongmei, Yin Zhenjie, Liao Shangfan, You Bingyong, Lu Dongming, Sun Yingming, Wu Lixian, Wu Yongyang
Department of Urology, Affiliated Sanming First Hospital, Fujian Medical University, Sanming, Fujian 365100, P.R. China.
Key Laboratory of Diagnostic Medicine Designated by the Chinese Ministry of Education, Chongqing Medical University, Chongqing 400016, China.
iScience. 2024 May 16;27(6):109997. doi: 10.1016/j.isci.2024.109997. eCollection 2024 Jun 21.
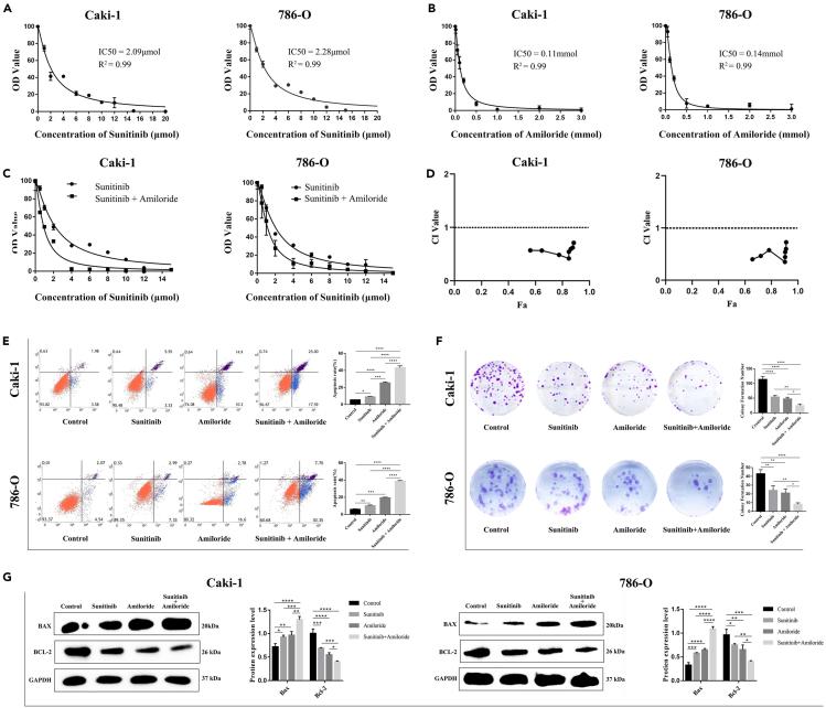
The kidney is a vital organ responsible for water and sodium metabolism, while the primary function of amiloride is to promote the excretion of water and sodium. We investigated amiloride enhanced the sunitinib sensitivity in RCC. We found both sunitinib and amiloride displayed cytotoxicity and exerted the synergy effect in RCC cells and arrays. Protein expression profiles were screened via MS/TMT, revealing that FN3K was upregulated in the sunitinib group, and rescued in amiloride and the combination administration. Exogenous FN3K could promote proliferation, invasion and metastasis and decrease the sensitivity of Caki-1 cells to sunitinib, also, exogenous FN3K up-regulated VEGFR2 expression and activated AKT/mTOR signal pathway. More FN3K and VEGFR2 accumulated in R-Caki-1 cells and rescued by amiloride treatment. Co-IP and IF confirmed the interaction between FN3K and VEGFR2. In conclusion, FN3K depletion mediated VEGFR2 disruption promotes amiloride synergized the anti-RCC activity of sunitinib.
肾脏是负责水和钠代谢的重要器官,而阿米洛利的主要功能是促进水和钠的排泄。我们研究了阿米洛利是否增强了肾细胞癌(RCC)对舒尼替尼的敏感性。我们发现舒尼替尼和阿米洛利在RCC细胞和阵列中均表现出细胞毒性并发挥协同作用。通过质谱/串联质谱(MS/TMT)筛选蛋白质表达谱,结果显示在舒尼替尼组中FN3K上调,而在阿米洛利组和联合给药组中得到挽救。外源性FN3K可促进增殖、侵袭和转移,并降低Caki-1细胞对舒尼替尼的敏感性,此外,外源性FN3K上调VEGFR2表达并激活AKT/mTOR信号通路。在R-Caki-1细胞中积累了更多的FN3K和VEGFR2,而阿米洛利处理可使其得到挽救。免疫共沉淀(Co-IP)和免疫荧光(IF)证实了FN3K与VEGFRs之间的相互作用。总之,FN3K的缺失介导VEGFR2的破坏促进了阿米洛利协同舒尼替尼的抗RCC活性。