• 文献检索
  • 文档翻译
  • 深度研究
  • 学术资讯
  • Suppr Zotero 插件Zotero 插件
  • 邀请有礼
  • 套餐&价格
  • 历史记录
应用&插件
Suppr Zotero 插件Zotero 插件浏览器插件Mac 客户端Windows 客户端微信小程序
定价
高级版会员购买积分包购买API积分包
服务
文献检索文档翻译深度研究API 文档MCP 服务
关于我们
关于 Suppr公司介绍联系我们用户协议隐私条款
关注我们

Suppr 超能文献

核心技术专利:CN118964589B侵权必究
粤ICP备2023148730 号-1Suppr @ 2026

文献检索

告别复杂PubMed语法,用中文像聊天一样搜索,搜遍4000万医学文献。AI智能推荐,让科研检索更轻松。

立即免费搜索

文件翻译

保留排版,准确专业,支持PDF/Word/PPT等文件格式,支持 12+语言互译。

免费翻译文档

深度研究

AI帮你快速写综述,25分钟生成高质量综述,智能提取关键信息,辅助科研写作。

立即免费体验

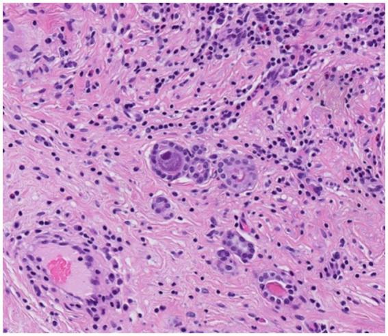
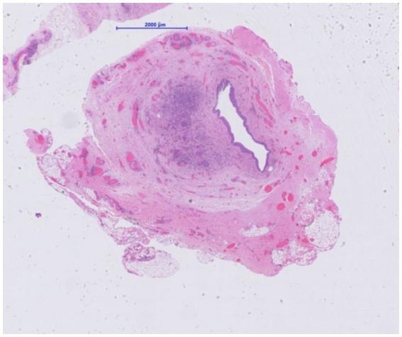
巨细胞病毒阳性肾源性腺瘤导致的急性肾移植术后肾后性肾功能障碍——病例报告及文献复习

Acute post-renal kidney graft dysfunction due to cytomegalovirus-positive nephrogenic adenoma-case report and review of the literature.

作者信息

Hosek Nicola, Montani Matteo, Mani Laila-Yasmin

机构信息

Department of Medicine, Division of Nephrology and Dialysis, Kantonsspital Graubünden, Chur, Switzerland.

Department of Nephrology and Hypertension, Inselspital, Bern University Hospital, University of Bern, Bern, Switzerland.

出版信息

Front Med (Lausanne). 2024 May 29;11:1394028. doi: 10.3389/fmed.2024.1394028. eCollection 2024.

DOI:10.3389/fmed.2024.1394028
PMID:38873192
原文链接:https://pmc.ncbi.nlm.nih.gov/articles/PMC11175655/
Abstract

Tissue-invasive cytomegalovirus (CMV) disease represents a well-recognized complication after kidney transplantation. However, direct involvement of the urogenital tract and CMV-ureteritis occur less frequently. Nephrogenic adenomas are benign lesions of the urinary tract preferentially reported in kidney transplant recipients. We herein report a second case of a 33-year-old male kidney transplant recipient with acute post-renal allograft dysfunction due to CMV-positive ureteral nephrogenic adenoma. A causal connection might be suspected but remains to be proven.

摘要

组织侵袭性巨细胞病毒(CMV)病是肾移植后一种公认的并发症。然而,泌尿生殖道直接受累及CMV输尿管炎的情况较少见。肾源性腺瘤是尿路的良性病变,在肾移植受者中报道较多。我们在此报告第二例33岁男性肾移植受者,因CMV阳性输尿管肾源性腺瘤导致急性肾移植术后肾功能不全。可能怀疑存在因果关系,但仍有待证实。

https://cdn.ncbi.nlm.nih.gov/pmc/blobs/1908/11175655/a3fe225faf06/fmed-11-1394028-g005.jpg
https://cdn.ncbi.nlm.nih.gov/pmc/blobs/1908/11175655/db1666f9bcf0/fmed-11-1394028-g001.jpg
https://cdn.ncbi.nlm.nih.gov/pmc/blobs/1908/11175655/ecc09387f53b/fmed-11-1394028-g002.jpg
https://cdn.ncbi.nlm.nih.gov/pmc/blobs/1908/11175655/209d4c17ae65/fmed-11-1394028-g003.jpg
https://cdn.ncbi.nlm.nih.gov/pmc/blobs/1908/11175655/a7b2abc61209/fmed-11-1394028-g004.jpg
https://cdn.ncbi.nlm.nih.gov/pmc/blobs/1908/11175655/a3fe225faf06/fmed-11-1394028-g005.jpg
https://cdn.ncbi.nlm.nih.gov/pmc/blobs/1908/11175655/db1666f9bcf0/fmed-11-1394028-g001.jpg
https://cdn.ncbi.nlm.nih.gov/pmc/blobs/1908/11175655/ecc09387f53b/fmed-11-1394028-g002.jpg
https://cdn.ncbi.nlm.nih.gov/pmc/blobs/1908/11175655/209d4c17ae65/fmed-11-1394028-g003.jpg
https://cdn.ncbi.nlm.nih.gov/pmc/blobs/1908/11175655/a7b2abc61209/fmed-11-1394028-g004.jpg
https://cdn.ncbi.nlm.nih.gov/pmc/blobs/1908/11175655/a3fe225faf06/fmed-11-1394028-g005.jpg

相似文献

1
Acute post-renal kidney graft dysfunction due to cytomegalovirus-positive nephrogenic adenoma-case report and review of the literature.巨细胞病毒阳性肾源性腺瘤导致的急性肾移植术后肾后性肾功能障碍——病例报告及文献复习
Front Med (Lausanne). 2024 May 29;11:1394028. doi: 10.3389/fmed.2024.1394028. eCollection 2024.
2
Nephrogenic adenoma associated with cytomegalovirus infection of the ureter in a renal transplant patient: presentation as ureteral obstruction.肾移植患者中与输尿管巨细胞病毒感染相关的肾源性腺瘤:表现为输尿管梗阻
Transpl Int. 2001;14(2):111-4. doi: 10.1007/s001470050857.
3
Four cases of CMV ureteritis: emergence of a new pattern of disease?4例巨细胞病毒输尿管炎:一种新的疾病模式出现了?
Clin Transplant. 2001 Oct;15(5):354-8. doi: 10.1034/j.1399-0012.2001.150509.x.
4
[Ureterostomy cytomegalovirus infection presenting as stoma ulceration in a kidney allograft receptor: a case report].
Actas Urol Esp. 2008 Jun;32(6):649-52. doi: 10.1016/s0210-4806(08)73903-2.
5
High incidence of nephrogenic adenoma of the bladder after renal transplantation.肾移植后膀胱发生肾源性腺瘤的高发生率。
Transplantation. 1998 Feb 27;65(4):511-4. doi: 10.1097/00007890-199802270-00010.
6
Derivation of nephrogenic adenomas from renal tubular cells in kidney-transplant recipients.肾移植受者肾小管细胞来源的肾源性腺瘤
N Engl J Med. 2002 Aug 29;347(9):653-9. doi: 10.1056/NEJMoa013413.
7
Treatment strategies to minimize or prevent chronic allograft dysfunction in pediatric renal transplant recipients: an overview.治疗策略以最小化或预防儿科肾移植受者慢性移植物功能障碍:概述。
Paediatr Drugs. 2009;11(6):381-96. doi: 10.2165/11316100-000000000-00000.
8
Unusual case of severe late-onset cytomegalovirus-induced hemorrhagic cystitis and ureteritis in a renal transplant patient.肾移植患者中罕见的严重迟发性巨细胞病毒诱导的出血性膀胱炎和输尿管炎病例。
Ren Fail. 2012;34(2):247-50. doi: 10.3109/0886022X.2011.647209. Epub 2012 Jan 17.
9
Calculus-producing and cytomegalovirus-infected nephrogenic adenoma of the bladder in a prepubertal renal transplant recipient.青春期前肾移植受者膀胱中产生结石并感染巨细胞病毒的肾源性腺瘤。
Urology. 2000 Sep 1;56(3):508. doi: 10.1016/s0090-4295(00)00661-0.
10
Nephrogenic Adenoma of the Urinary Bladder after Kidney Transplantation: Long-Term Follow-Up.肾移植术后膀胱源性腺瘤:长期随访
Case Rep Transplant. 2020 Oct 16;2020:8831966. doi: 10.1155/2020/8831966. eCollection 2020.

本文引用的文献

1
Bacterial and Viral Infection and Sepsis in Kidney Transplanted Patients.肾移植患者的细菌和病毒感染及脓毒症
Biomedicines. 2022 Mar 18;10(3):701. doi: 10.3390/biomedicines10030701.
2
Nephrogenic Adenoma of the Urinary Bladder after Kidney Transplantation: Long-Term Follow-Up.肾移植术后膀胱源性腺瘤:长期随访
Case Rep Transplant. 2020 Oct 16;2020:8831966. doi: 10.1155/2020/8831966. eCollection 2020.
3
Trends in the Causes of Death among Kidney Transplant Recipients in the United States (1996-2014).美国肾移植受者死因趋势(1996-2014 年)。
Am J Nephrol. 2018;48(6):472-481. doi: 10.1159/000495081. Epub 2018 Nov 23.
4
The Third International Consensus Guidelines on the Management of Cytomegalovirus in Solid-organ Transplantation.《实体器官移植中巨细胞病毒管理的第三次国际共识指南》。
Transplantation. 2018 Jun;102(6):900-931. doi: 10.1097/TP.0000000000002191.
5
Nephrogenic Adenoma Complicating Renal Transplantation: A Case Report and Discussion.肾移植并发肾源性腺瘤:一例报告及讨论
Transplant Proc. 2017 Dec;49(10):2381-2383. doi: 10.1016/j.transproceed.2017.09.003.
6
Nephrogenic Adenoma: Clinical Features, Management, and Diagnostic Pitfalls.肾源性腺瘤:临床特征、治疗及诊断陷阱
Urology. 2016 Sep;95:29-33. doi: 10.1016/j.urology.2016.04.032. Epub 2016 Apr 29.
7
Incidence, etiology, and significance of acute kidney injury in the early post-kidney transplant period.肾移植术后早期急性肾损伤的发病率、病因及意义。
Clin Transplant. 2016 Jan;30(1):66-70. doi: 10.1111/ctr.12660. Epub 2015 Nov 23.
8
BK polyomavirus-infected nephrogenic adenoma of the urinary bladder in a renal transplant recipient: A case report.肾移植受者膀胱BK多瘤病毒感染所致肾源性腺瘤:一例报告
Pathol Res Pract. 2015 Sep;211(9):697-701. doi: 10.1016/j.prp.2015.06.006. Epub 2015 Jun 11.
9
Cytomegalovirus immune evasion by perturbation of endosomal trafficking.巨细胞病毒通过干扰内体运输实现免疫逃逸。
Cell Mol Immunol. 2015 Mar;12(2):154-69. doi: 10.1038/cmi.2014.85. Epub 2014 Sep 29.
10
Nephrogenic adenoma of the urinary bladder: a report of three cases and a review of the literature.
Ann Transplant. 2014 Apr 1;19:153-6. doi: 10.12659/AOT.889441.