Liaqat Inam, Hilska Ida, Saario Maria, Jakobsson Emma, Crivaro Marko, Peränen Johan, Vaahtomeri Kari
Translational Cancer Medicine Research Program, University of Helsinki, Biomedicum Helsinki, Haartmaninkatu 8, 00290, Helsinki, Finland.
Light Microscopy Unit, Institute of Biotechnology, HiLIFE, University of Helsinki, FI-00014, Helsinki, Finland.
EMBO J. 2024 Aug;43(15):3141-3174. doi: 10.1038/s44318-024-00129-x. Epub 2024 Jun 14.
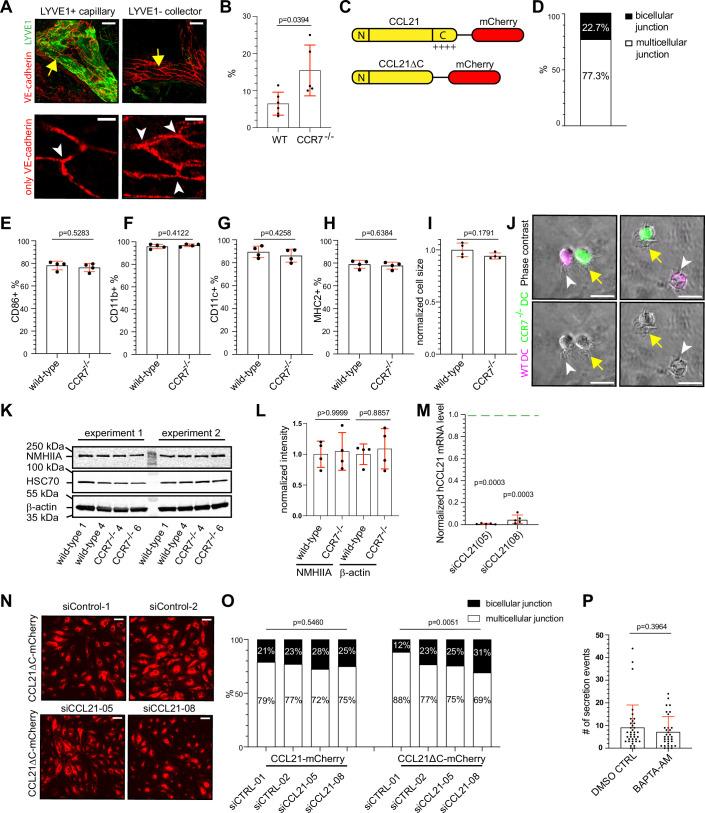
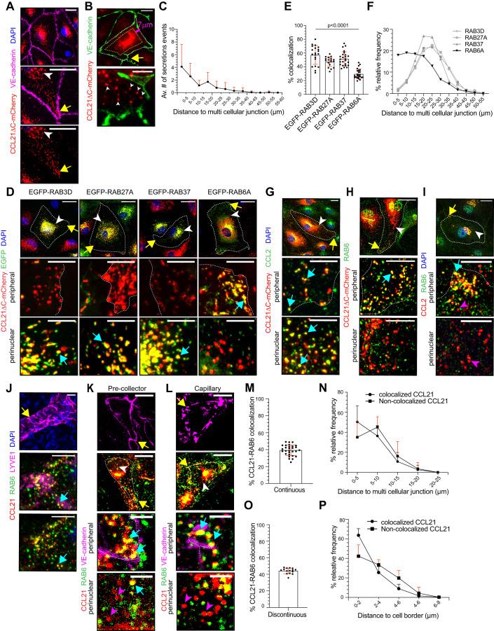
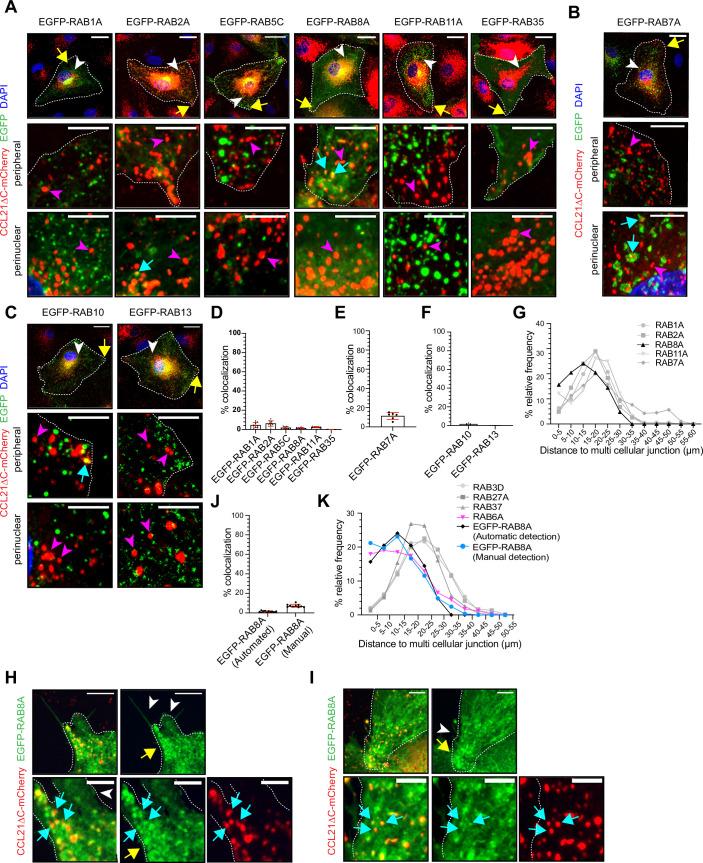
Migrating cells preferentially breach and integrate epithelial and endothelial monolayers at multicellular vertices. These sites are amenable to forces produced by the migrating cell and subsequent opening of the junctions. However, the cues that guide migrating cells to these entry portals, and eventually drive the transmigration process, are poorly understood. Here, we show that lymphatic endothelium multicellular junctions are the preferred sites of dendritic cell transmigration in both primary cell co-cultures and in mouse dermal explants. Dendritic cell guidance to multicellular junctions was dependent on the dendritic cell receptor CCR7, whose ligand, lymphatic endothelial chemokine CCL21, was exocytosed at multicellular junctions. Characterization of lymphatic endothelial secretory routes indicated Golgi-derived RAB6+ vesicles and RAB3+/27+ dense core secretory granules as intracellular CCL21 storage vesicles. Of these, RAB6+ vesicles trafficked CCL21 to the multicellular junctions, which were enriched with RAB6 docking factor ELKS (ERC1). Importantly, inhibition of RAB6 vesicle exocytosis attenuated dendritic cell transmigration. These data exemplify how spatially-restricted exocytosis of guidance cues helps to determine where dendritic cells transmigrate.
迁移细胞优先在多细胞顶点处突破并整合上皮和内皮单层。这些位点易于受到迁移细胞产生的力以及随后连接的打开的影响。然而,引导迁移细胞到达这些进入门户并最终驱动迁移过程的线索却知之甚少。在这里,我们表明,在原代细胞共培养和小鼠皮肤外植体中,淋巴管内皮多细胞连接是树突状细胞迁移的首选位点。树突状细胞向多细胞连接的引导依赖于树突状细胞受体CCR7,其配体淋巴管内皮趋化因子CCL21在多细胞连接处被胞吐。淋巴管内皮分泌途径的特征表明,高尔基体衍生的RAB6 +囊泡和RAB3 + / 27 +致密核心分泌颗粒是细胞内CCL21储存囊泡。其中,RAB6 +囊泡将CCL21运输到富含RAB6对接因子ELKS(ERC1)的多细胞连接处。重要的是,抑制RAB6囊泡胞吐作用可减弱树突状细胞的迁移。这些数据例证了引导线索的空间受限胞吐作用如何有助于确定树突状细胞迁移的位置。