• 文献检索
  • 文档翻译
  • 深度研究
  • 学术资讯
  • Suppr Zotero 插件Zotero 插件
  • 邀请有礼
  • 套餐&价格
  • 历史记录
应用&插件
Suppr Zotero 插件Zotero 插件浏览器插件Mac 客户端Windows 客户端微信小程序
定价
高级版会员购买积分包购买API积分包
服务
文献检索文档翻译深度研究API 文档MCP 服务
关于我们
关于 Suppr公司介绍联系我们用户协议隐私条款
关注我们

Suppr 超能文献

核心技术专利:CN118964589B侵权必究
粤ICP备2023148730 号-1Suppr @ 2026

文献检索

告别复杂PubMed语法,用中文像聊天一样搜索,搜遍4000万医学文献。AI智能推荐,让科研检索更轻松。

立即免费搜索

文件翻译

保留排版,准确专业,支持PDF/Word/PPT等文件格式,支持 12+语言互译。

免费翻译文档

深度研究

AI帮你快速写综述,25分钟生成高质量综述,智能提取关键信息,辅助科研写作。

立即免费体验

机械循环支持抗凝治疗中同时发生多支自发性肋间动脉出血:病例报告。

Spontaneous intercostal artery bleeding occurring simultaneously in numerous vessels during antithrombotic therapy with mechanical circulatory support: a case report.

机构信息

Department of Surgery, Obihiro Kosei General Hospital, West 14 South 10, Obihiro, Hokkaido, 080-0024, Japan.

Department of Thoracic Surgery, Hokkaido University Hospital, West 5 North 14, Kita-Ku, Sapporo, Hokkaido, 060-8648, Japan.

出版信息

J Med Case Rep. 2024 Jun 16;18(1):280. doi: 10.1186/s13256-024-04602-3.

DOI:10.1186/s13256-024-04602-3
PMID:38879573
原文链接:https://pmc.ncbi.nlm.nih.gov/articles/PMC11180386/
Abstract

BACKGROUND

Intercostal artery bleeding often occurs in a single vessel; in rare cases, it can occur in numerous vessels, making it more difficult to manage.

CASE PRESENTATION

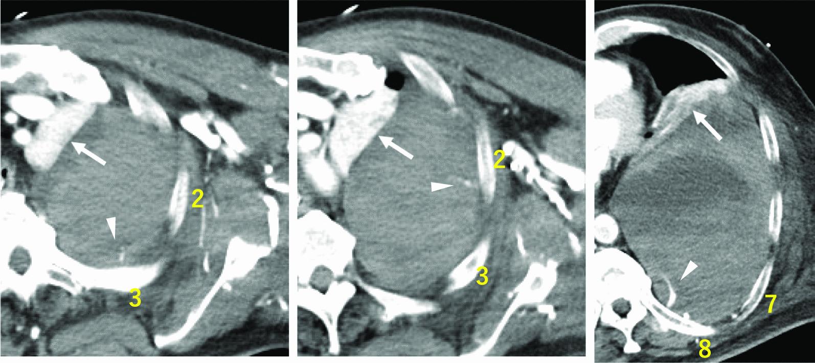
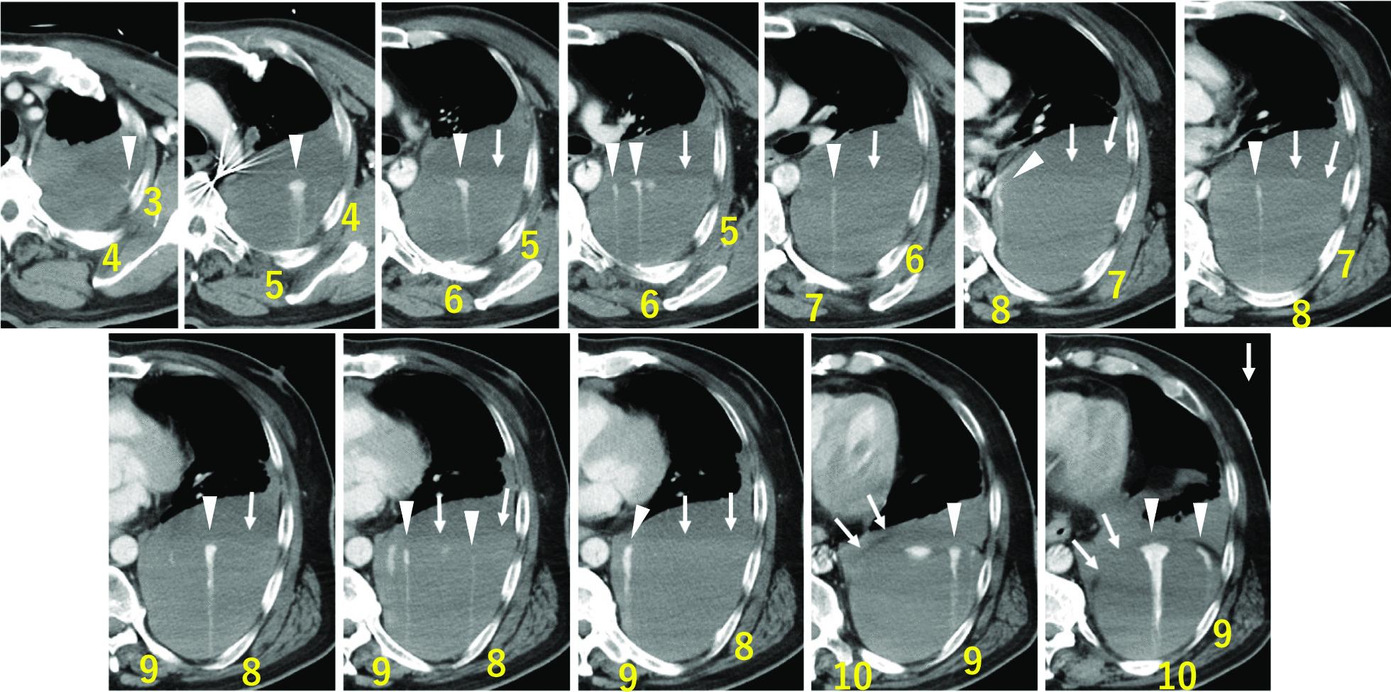
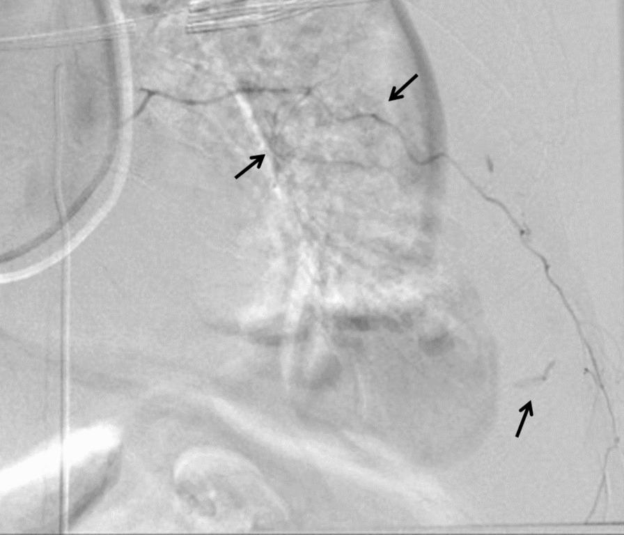
A 63-year-old Japanese man was admitted to the emergency department owing to sudden chest and back pain, dizziness, and nausea. Emergency coronary angiography revealed myocardial infarction secondary to right coronary artery occlusion. After intra-aortic balloon pumping, percutaneous coronary intervention was performed in the right coronary artery. At 12 hours following percutaneous coronary intervention, the patient developed new-onset left anterior chest pain and hypotension. Contrast-enhanced computed tomography revealed 15 sites of contrast extravasation within a massive left extrapleural hematoma. Emergency angiography revealed contrast leakage in the left 6th to 11th intercostal arteries; hence, transcatheter arterial embolization was performed. At 2 days after transcatheter arterial embolization, his blood pressure subsequently decreased, and contrast-enhanced computed tomography revealed the re-enlargement of extrapleural hematoma with multiple sites of contrast extravasation. Emergency surgery was performed owing to persistent bleeding. No active arterial hemorrhage was observed intraoperatively. Bleeding was observed in various areas of the chest wall, and an oxidized cellulose membrane was applied following ablation and hemostasis. The postoperative course was uneventful.

CONCLUSION

We report a case of spontaneous intercostal artery bleeding occurring simultaneously in numerous vessels during antithrombotic therapy with mechanical circulatory support that was difficult to manage. As bleeding from numerous vessels may occur during antithrombotic therapy, even without trauma, appropriate treatments, such as transcatheter arterial embolization and surgery, should be selected in patients with such cases.

摘要

背景

肋间动脉出血通常发生在单一血管中;在极少数情况下,它可能发生在多个血管中,这使得处理更加困难。

病例介绍

一名 63 岁的日本男性因突发胸痛、背痛、头晕和恶心而被收入急诊部。紧急冠状动脉造影显示右冠状动脉闭塞引起的心肌梗死。在主动脉内球囊泵后,对右冠状动脉进行了经皮冠状动脉介入治疗。在经皮冠状动脉介入治疗后 12 小时,患者出现新发左前胸疼痛和低血压。增强 CT 显示巨大左胸外血肿内有 15 个造影剂外渗部位。紧急血管造影显示左第 6 至 11 肋间动脉有造影剂渗漏;因此,进行了经导管动脉栓塞术。在经导管动脉栓塞术后 2 天,他的血压随后下降,增强 CT 显示胸外血肿再次扩大,有多个造影剂外渗部位。由于持续出血,进行了紧急手术。术中未观察到活跃的动脉出血。在胸腔壁的各个部位观察到出血,并在消融和止血后应用氧化纤维素膜。术后过程平稳。

结论

我们报告了一例在机械循环支持的抗栓治疗期间同时发生在多个血管的自发性肋间动脉出血的病例,处理困难。由于在抗栓治疗期间即使没有外伤也可能发生多支血管出血,对于此类病例应选择适当的治疗方法,如经导管动脉栓塞术和手术。

https://cdn.ncbi.nlm.nih.gov/pmc/blobs/7d97/11180386/11e46ad8d0f9/13256_2024_4602_Fig3_HTML.jpg
https://cdn.ncbi.nlm.nih.gov/pmc/blobs/7d97/11180386/f5a2de7f2ec0/13256_2024_4602_Fig1_HTML.jpg
https://cdn.ncbi.nlm.nih.gov/pmc/blobs/7d97/11180386/ed2e899739a7/13256_2024_4602_Fig2_HTML.jpg
https://cdn.ncbi.nlm.nih.gov/pmc/blobs/7d97/11180386/11e46ad8d0f9/13256_2024_4602_Fig3_HTML.jpg
https://cdn.ncbi.nlm.nih.gov/pmc/blobs/7d97/11180386/f5a2de7f2ec0/13256_2024_4602_Fig1_HTML.jpg
https://cdn.ncbi.nlm.nih.gov/pmc/blobs/7d97/11180386/ed2e899739a7/13256_2024_4602_Fig2_HTML.jpg
https://cdn.ncbi.nlm.nih.gov/pmc/blobs/7d97/11180386/11e46ad8d0f9/13256_2024_4602_Fig3_HTML.jpg

相似文献

1
Spontaneous intercostal artery bleeding occurring simultaneously in numerous vessels during antithrombotic therapy with mechanical circulatory support: a case report.机械循环支持抗凝治疗中同时发生多支自发性肋间动脉出血:病例报告。
J Med Case Rep. 2024 Jun 16;18(1):280. doi: 10.1186/s13256-024-04602-3.
2
A 48-Year-Old Man Presenting as an Emergency with Severe Back Pain, a Large Anterior Paravertebral Hematoma, and Spontaneous Rupture of the Right 9th Intercostal Artery Successfully Managed by Transcatheter Arterial Embolization: A Case Report.一位 48 岁男性因剧烈背痛、巨大前椎旁血肿和右侧第 9 肋动脉自发性破裂急诊就诊,经导管动脉栓塞治疗成功:病例报告。
Am J Case Rep. 2022 Feb 16;23:e934173. doi: 10.12659/AJCR.934173.
3
Massive retroperitoneal hematoma caused by intercostal artery bleeding after blunt trauma: a case report.钝性创伤后肋间动脉出血导致巨大腹膜后血肿:一例报告。
J Cardiothorac Surg. 2024 Apr 18;19(1):248. doi: 10.1186/s13019-024-02739-2.
4
Bilateral spontaneous massive renal hemorrhage in a peritoneal dialysis patient: A case report.腹膜透析患者双侧自发性巨大肾出血:病例报告。
Medicine (Baltimore). 2021 Nov 5;100(44):e27549. doi: 10.1097/MD.0000000000027549.
5
Usefulness of transcatheter arterial embolization for intercostal arterial bleeding in a patient with burst fractures of the thoracic vertebrae.经导管动脉栓塞术在胸椎爆裂骨折患者肋间动脉出血治疗中的应用价值
Emerg Radiol. 2009 Nov;16(6):489-91. doi: 10.1007/s10140-008-0780-8. Epub 2008 Nov 21.
6
Transcatheter Arterial Embolization with N-Butyl-2-Cyanoacrylate in the Management of Spontaneous Hematomas.用氰基丙烯酸正丁酯进行经导管动脉栓塞治疗自发性血肿
Cardiovasc Intervent Radiol. 2017 Jan;40(1):41-49. doi: 10.1007/s00270-016-1463-6. Epub 2016 Sep 19.
7
Massive hemorrhage from the posterior intercostal artery following lower partial sternotomy.低位部分胸骨切开术后肋间后动脉大出血。
J Cardiothorac Surg. 2021 Nov 21;16(1):335. doi: 10.1186/s13019-021-01718-1.
8
Successful treatment of massive hemothorax with class IV shock using aortography with transcatheter embolization of actively bleeding posterior left intercostal arteries after penetrating left chest trauma: A case for the hybrid OR.穿透性左胸外伤后,采用主动脉造影术经导管栓塞活动性出血的左后肋间动脉成功治疗伴有IV级休克的大量血胸:杂交手术室的一个病例。
Int J Surg Case Rep. 2018;48:109-112. doi: 10.1016/j.ijscr.2018.04.023. Epub 2018 May 3.
9
Transcatheter arterial embolization for spontaneous rupture of the omental artery.经导管动脉栓塞治疗自发性网膜动脉破裂。
Cardiovasc Intervent Radiol. 2011 Feb;34 Suppl 2:S142-5. doi: 10.1007/s00270-010-9956-1. Epub 2010 Aug 6.
10
Minimal invasive treatment of life-threatening bleeding caused by cardiopulmonary resuscitation-associated liver injury: a case report.心肺复苏相关肝损伤所致危及生命出血的微创治疗:一例报告
J Med Case Rep. 2016 May 29;10(1):132. doi: 10.1186/s13256-016-0926-3.

本文引用的文献

1
A 48-Year-Old Man Presenting as an Emergency with Severe Back Pain, a Large Anterior Paravertebral Hematoma, and Spontaneous Rupture of the Right 9th Intercostal Artery Successfully Managed by Transcatheter Arterial Embolization: A Case Report.一位 48 岁男性因剧烈背痛、巨大前椎旁血肿和右侧第 9 肋动脉自发性破裂急诊就诊,经导管动脉栓塞治疗成功:病例报告。
Am J Case Rep. 2022 Feb 16;23:e934173. doi: 10.12659/AJCR.934173.
2
Spontaneous intercostal artery bleeding in a patient with alcohol-induced liver cirrhosis.一名酒精性肝硬化患者出现自发性肋间动脉出血。
Clin Case Rep. 2021 Aug 16;9(8):e04613. doi: 10.1002/ccr3.4613. eCollection 2021 Aug.
3
Massive hemothorax caused by intercostal artery pseudoaneurysm:a case report.
巨大血胸由肋间动脉假性动脉瘤引起:一例报告。
J Cardiothorac Surg. 2021 May 31;16(1):156. doi: 10.1186/s13019-021-01548-1.
4
Spontaneous hemopneumothorax with a ruptured aneurysm in the second intercostal artery: report of a case.自发性血气胸伴第二肋间隙动脉破裂性动脉瘤:病例报告。
Gen Thorac Cardiovasc Surg. 2021 Jul;69(7):1133-1136. doi: 10.1007/s11748-021-01620-6. Epub 2021 May 27.
5
Hemothorax: A Review of the Literature.血胸:文献综述
Clin Pulm Med. 2020 Jan;27(1):1-12. doi: 10.1097/CPM.0000000000000343. Epub 2020 Jan 10.
6
Iliopsoas Hematoma in Patients Undergoing Venovenous ECMO.行静脉-静脉体外膜肺氧合的患者的腰大肌血肿。
Am J Crit Care. 2021 Jan 1;30(1):55-63. doi: 10.4037/ajcc2021351.
7
Spontaneous Bleeding From Multiple Intercostal Arteries in a Patient With Coarctation of the Aorta.患者伴有主动脉缩窄,出现多处肋间动脉自发性出血。
Ann Thorac Surg. 2020 Aug;110(2):e95-e97. doi: 10.1016/j.athoracsur.2019.12.042. Epub 2020 Feb 6.
8
Spontaneous intercostal artery bleeding in a hemodialysis patient.一名血液透析患者的自发性肋间动脉出血。
Hemodial Int. 2017 Oct;21(4):E76-E78. doi: 10.1111/hdi.12576. Epub 2017 Jun 19.
9
Etiology and management of spontaneous haemothorax.自发性血胸的病因及处理
J Thorac Dis. 2015 Mar;7(3):520-6. doi: 10.3978/j.issn.2072-1439.2014.12.50.
10
Intercostal artery pseudoaneurysm after ultrasound-guided liver biopsy: a case report and review of the literature.超声引导下肝活检术后肋间动脉假性动脉瘤:一例报告并文献复习
Ultrasound Q. 2015 Mar;31(1):63-5. doi: 10.1097/RUQ.0000000000000074.