Suppr超能文献

腹膜透析患者双侧自发性巨大肾出血:病例报告。

Bilateral spontaneous massive renal hemorrhage in a peritoneal dialysis patient: A case report.

机构信息

Division of General Surgery, Changhua Christian Hospital, Changhua, Taiwan.

Division of Nephrology, Department of Internal Medicine, Changhua Christian Hospital, Changhua, Taiwan.

出版信息

Medicine (Baltimore). 2021 Nov 5;100(44):e27549. doi: 10.1097/MD.0000000000027549.

Abstract

RATIONALE

Non-traumatic bilateral spontaneous massive renal hemorrhage confined to the subcapsular and perirenal space, also known as Wünderlich syndrome, can occur suddenly and insidiously and cause serious consequences if not properly identified and managed. We report a case of bilateral spontaneous massive renal hemorrhage in a series of devastating episodes.

PATIENT CONCERNS

A 38-year-old woman undergoing peritoneal dialysis for 7 years for end-stage renal disease presented with disturbances in consciousness and sudden hypotension.

DIAGNOSIS

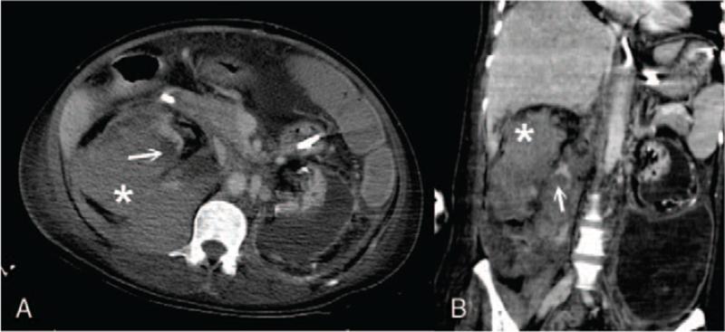
The patient's laboratory results indicated an abrupt drop in hemoglobin level. Emergent abdominal computed tomography (CT) showed a rupture of the lower pore of the left kidney, with massive hemoretroperitoneum. A second sudden reduction in hemoglobin level occurred 2 months later during the same admission course, with poor response to urgent blood transfusion. Contrast extravasation at the lower pole of the right kidney and posterior pararenal space along with a subcapsular hematoma was revealed on abdominal CT.

INTERVENTION

The patient's initial episode was managed with emergent transcatheter arterial embolization (TAE) of the left renal artery and again after the second episode for occlusion of the inferior branches of the right renal artery.

OUTCOMES

After the first episode, immediate postprocedural angiography showed total occlusion of the left renal artery without contrast extravasation. Follow-up CT performed 10 days after the first TAE showed a residual left perirenal hematoma that extended to the left retroperitoneal and left upper pelvic region, without active bleeding. No follow-up imaging was done after the second TAE except for immediate postprocedural angiography, which showed no additional contrast extravasation of the right renal artery.

LESSONS

Bilateral spontaneous massive renal hemorrhage is rare and generally occurs in patients undergoing dialysis. Known studies appear primarily in case reports. Most patients can be treated successfully with TAE when diagnosed early.

摘要

背景

非创伤性双侧自发性肾包膜下和肾周间隙大出血,也称为 Wünderlich 综合征,可突然隐匿发生,如果不能正确识别和处理,可能会导致严重后果。我们报告了一系列灾难性发作中双侧自发性肾大出血的病例。

患者关注

一名 38 岁女性因终末期肾病行腹膜透析 7 年,出现意识障碍和突发性低血压。

诊断

患者的实验室结果表明血红蛋白水平急剧下降。紧急腹部计算机断层扫描(CT)显示左肾下孔破裂,大量血液进入腹膜后间隙。2 个月后在同一入院期间再次发生血红蛋白水平急剧下降,紧急输血反应不佳。腹部 CT 显示右肾下极和后肾旁间隙的对比外渗以及包膜下血肿。

干预

患者的初始发作采用紧急经导管动脉栓塞术(TAE)治疗左肾动脉,第二次发作后再次采用 TAE 治疗右肾动脉下支闭塞。

结果

第一次发作后,即刻血管造影显示左肾动脉完全闭塞,无对比外渗。第一次 TAE 后 10 天进行的随访 CT 显示左肾周血肿残留,延伸至左腹膜后和左盆腔上部,无活动出血。第二次 TAE 后除即刻血管造影外,未进行任何随访影像学检查,显示右肾动脉无额外对比外渗。

教训

双侧自发性肾大出血罕见,一般发生在透析患者中。已知的研究主要以病例报告的形式出现。大多数患者在早期诊断后可通过 TAE 成功治疗。

https://cdn.ncbi.nlm.nih.gov/pmc/blobs/c9af/8568413/54a43e304726/medi-100-e27549-g001.jpg

文献AI研究员

20分钟写一篇综述,助力文献阅读效率提升50倍。

立即体验

用中文搜PubMed

大模型驱动的PubMed中文搜索引擎

马上搜索

文档翻译

学术文献翻译模型,支持多种主流文档格式。

立即体验