Department of Pharmacology; The Key Laboratory of Neural and Vascular Biology, Ministry of Education; The Key Laboratory of New Drug Pharmacology and Toxicology, Hebei Medical University, Shijiazhuang, Hebei, China.
Pain Research Center, Department of Anesthesiology, University of Cincinnati Medical Center, Cincinnati, Ohio, USA.
J Clin Invest. 2024 Jun 18;134(16):e176227. doi: 10.1172/JCI176227.
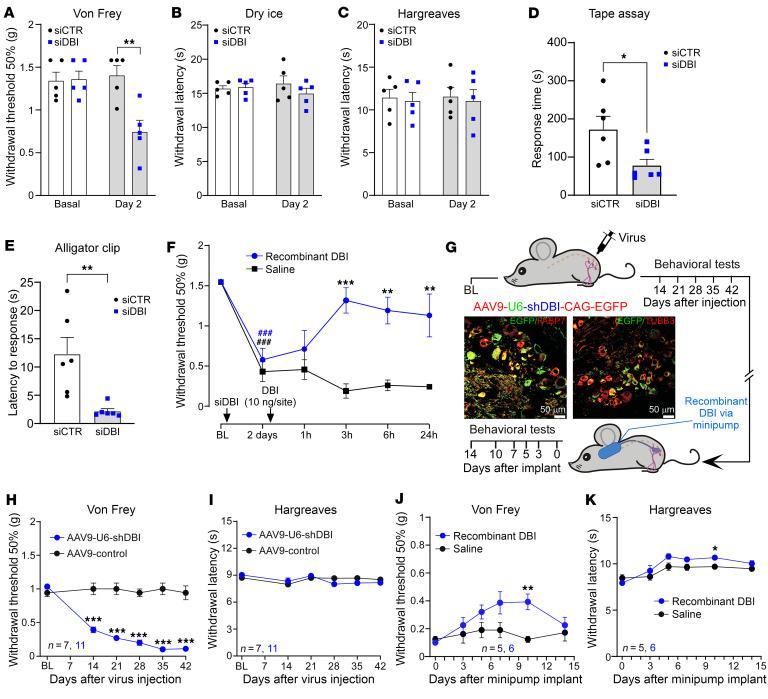
We report that diazepam binding inhibitor (DBI) is a glial messenger mediating crosstalk between satellite glial cells (SGCs) and sensory neurons in the dorsal root ganglion (DRG). DBI is highly expressed in SGCs of mice, rats, and humans, but not in sensory neurons or most other DRG-resident cells. Knockdown of DBI results in a robust mechanical hypersensitivity without major effects on other sensory modalities. In vivo overexpression of DBI in SGCs reduces sensitivity to mechanical stimulation and alleviates mechanical allodynia in neuropathic and inflammatory pain models. We further show that DBI acts as an unconventional agonist and positive allosteric modulator at the neuronal GABAA receptors, particularly strongly affecting those with a high-affinity benzodiazepine binding site. Such receptors are selectively expressed by a subpopulation of mechanosensitive DRG neurons, and these are also more enwrapped with DBI-expressing glia, as compared with other DRG neurons, suggesting a mechanism for a specific effect of DBI on mechanosensation. These findings identified a communication mechanism between peripheral neurons and SGCs. This communication modulates pain signaling and can be targeted therapeutically.
我们报告称,苯二氮䓬结合抑制剂(DBI)是一种神经胶质信使,介导卫星胶质细胞(SGC)与背根神经节(DRG)中的感觉神经元之间的串扰。DBI 在小鼠、大鼠和人类的 SGC 中高度表达,但不在感觉神经元或大多数其他 DRG 常驻细胞中表达。DBI 的敲低导致强烈的机械性超敏反应,而对其他感觉模态没有主要影响。体内 SGC 中 DBI 的过表达可降低对机械刺激的敏感性,并减轻神经病理性和炎性疼痛模型中的机械性痛觉过敏。我们进一步表明,DBI 作为一种非传统的激动剂和正变构调节剂作用于神经元 GABA A 受体,特别是强烈影响那些具有高亲和力苯二氮䓬结合位点的受体。这些受体选择性地由机械敏感性 DRG 神经元的亚群表达,并且与其他 DRG 神经元相比,它们也更多地被表达 DBI 的神经胶质细胞包裹,这表明 DBI 对机械感觉具有特定作用的机制。这些发现确定了外周神经元和 SGC 之间的一种通讯机制。这种通讯调节疼痛信号,可以作为治疗靶点。