Suppr超能文献

神经内分泌肿瘤的进展:影像学与未来前沿

Advancements in Neuroendocrine Neoplasms: Imaging and Future Frontiers.

作者信息

Asmundo Luigi, Rizzetto Francesco, Blake Michael, Anderson Mark, Mojtahed Amirkasra, Bradley William, Shenoy-Bhangle Anuradha, Fernandez-Del Castillo Carlos, Qadan Motaz, Ferrone Cristina, Clark Jeffrey, Ambrosini Valentina, Picchio Maria, Mapelli Paola, Evangelista Laura, Leithner Doris, Nikolaou Konstantin, Ursprung Stephan, Fanti Stefano, Vanzulli Angelo, Catalano Onofrio Antonio

机构信息

Postgraduation School in Radiodiagnostics, Università degli Studi di Milano, Via Festa del Perdono 7, 20122 Milan, Italy.

Department of Radiology, Harvard Medical School, Massachusetts General Hospital, 55 Fruit Street, Boston, MA 02114, USA.

出版信息

J Clin Med. 2024 Jun 2;13(11):3281. doi: 10.3390/jcm13113281.

Abstract

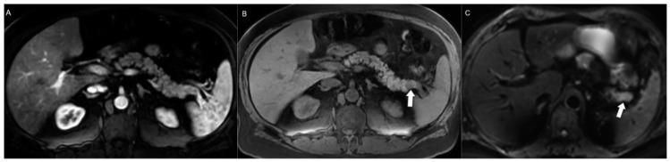
Neuroendocrine neoplasms (NENs) are a diverse group of tumors with varying clinical behaviors. Their incidence has risen due to increased awareness, improved diagnostics, and aging populations. The 2019 World Health Organization classification emphasizes integrating radiology and histopathology to characterize NENs and create personalized treatment plans. Imaging methods like CT, MRI, and PET/CT are crucial for detection, staging, treatment planning, and monitoring, but each of them poses different interpretative challenges and none are immune to pitfalls. Treatment options include surgery, targeted therapies, and chemotherapy, based on the tumor type, stage, and patient-specific factors. This review aims to provide insights into the latest developments and challenges in NEN imaging, diagnosis, and management.

摘要

神经内分泌肿瘤(NENs)是一组具有不同临床行为的肿瘤。由于认识的提高、诊断方法的改进和人口老龄化,其发病率有所上升。2019年世界卫生组织分类强调整合放射学和组织病理学以对NENs进行特征描述并制定个性化治疗方案。CT、MRI和PET/CT等成像方法对于检测、分期、治疗规划和监测至关重要,但每种方法都带来不同的解读挑战,且都难免存在缺陷。治疗选择包括手术、靶向治疗和化疗,具体取决于肿瘤类型、分期和患者特定因素。本综述旨在深入探讨NENs成像、诊断和管理方面的最新进展和挑战。

https://cdn.ncbi.nlm.nih.gov/pmc/blobs/a4cc/11172657/95312190801c/jcm-13-03281-g001.jpg

文献检索

告别复杂PubMed语法,用中文像聊天一样搜索,搜遍4000万医学文献。AI智能推荐,让科研检索更轻松。

立即免费搜索

文件翻译

保留排版,准确专业,支持PDF/Word/PPT等文件格式,支持 12+语言互译。

免费翻译文档

深度研究

AI帮你快速写综述,25分钟生成高质量综述,智能提取关键信息,辅助科研写作。

立即免费体验