• 文献检索
  • 文档翻译
  • 深度研究
  • 学术资讯
  • Suppr Zotero 插件Zotero 插件
  • 邀请有礼
  • 套餐&价格
  • 历史记录
应用&插件
Suppr Zotero 插件Zotero 插件浏览器插件Mac 客户端Windows 客户端微信小程序
定价
高级版会员购买积分包购买API积分包
服务
文献检索文档翻译深度研究API 文档MCP 服务
关于我们
关于 Suppr公司介绍联系我们用户协议隐私条款
关注我们

Suppr 超能文献

核心技术专利:CN118964589B侵权必究
粤ICP备2023148730 号-1Suppr @ 2026

文献检索

告别复杂PubMed语法,用中文像聊天一样搜索,搜遍4000万医学文献。AI智能推荐,让科研检索更轻松。

立即免费搜索

文件翻译

保留排版,准确专业,支持PDF/Word/PPT等文件格式,支持 12+语言互译。

免费翻译文档

深度研究

AI帮你快速写综述,25分钟生成高质量综述,智能提取关键信息,辅助科研写作。

立即免费体验

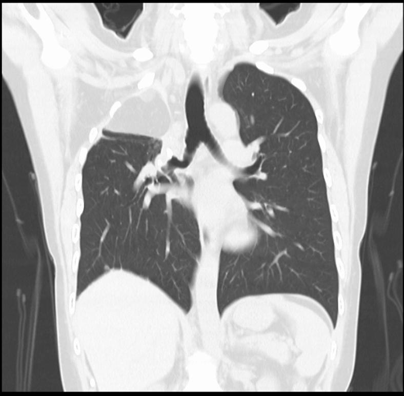
Free omentum filling for bronchopleural fistula after lung resection.

作者信息

Aono Taisei, Takahashi Ayuko, Kobayashi Masashi

机构信息

Division of Thoracic Surgery, Department of Thoracic Surgery, Kurashiki Central Hospital, Kurashiki, Japan.

出版信息

JTCVS Tech. 2024 Apr 10;25:247-249. doi: 10.1016/j.xjtc.2024.03.022. eCollection 2024 Jun.

DOI:10.1016/j.xjtc.2024.03.022
PMID:38899082
原文链接:https://pmc.ncbi.nlm.nih.gov/articles/PMC11184669/
Abstract
摘要
https://cdn.ncbi.nlm.nih.gov/pmc/blobs/76cd/11184669/6b3a0079a218/gr2.jpg
https://cdn.ncbi.nlm.nih.gov/pmc/blobs/76cd/11184669/7b10c41a8a04/fx1.jpg
https://cdn.ncbi.nlm.nih.gov/pmc/blobs/76cd/11184669/de4e37de4298/gr1.jpg
https://cdn.ncbi.nlm.nih.gov/pmc/blobs/76cd/11184669/6b3a0079a218/gr2.jpg
https://cdn.ncbi.nlm.nih.gov/pmc/blobs/76cd/11184669/7b10c41a8a04/fx1.jpg
https://cdn.ncbi.nlm.nih.gov/pmc/blobs/76cd/11184669/de4e37de4298/gr1.jpg
https://cdn.ncbi.nlm.nih.gov/pmc/blobs/76cd/11184669/6b3a0079a218/gr2.jpg

相似文献

1
Free omentum filling for bronchopleural fistula after lung resection.游离大网膜填充术治疗肺切除术后支气管胸膜瘘
JTCVS Tech. 2024 Apr 10;25:247-249. doi: 10.1016/j.xjtc.2024.03.022. eCollection 2024 Jun.
2
[Omentum Transplantation in Thorax to Cover Bronchial Stump as Treatment of 
Bronchopleural Fistula After Pulmonary Resection: Report of 6 Cases' Experience].[胸腔大网膜移植覆盖支气管残端治疗肺切除术后支气管胸膜瘘:6例经验报告]
Zhongguo Fei Ai Za Zhi. 2018 Mar 20;21(3):235-238. doi: 10.3779/j.issn.1009-3419.2018.03.26.
3
[Use of omental pedicle flap for the prevention of bronchopleural fistula after surgery: an unsuccessful case in a management of bronchopleural fistula].带蒂大网膜瓣在预防术后支气管胸膜瘘中的应用:一例支气管胸膜瘘治疗失败病例
Kyobu Geka. 1989 Dec;42(13):1109-13.
4
Surgical treatment for bronchopleural fistula with omentum covering after pulmonary resection for non-small cell lung cancer.非小细胞肺癌肺切除术后带大网膜覆盖的支气管胸膜瘘的外科治疗
Thorac Cancer. 2013 Aug;4(3):249-253. doi: 10.1111/j.1759-7714.2012.00161.x.
5
[An experience with omentopexy for the repair of postoperative bronchopleural fistula].[大网膜固定术修复术后支气管胸膜瘘的经验]
Kyobu Geka. 1997 Mar;50(3):243-6.
6
Treatment strategies for bronchopleural fistula.支气管胸膜瘘的治疗策略。
J Thorac Cardiovasc Surg. 1995 May;109(5):989-95; discussion 995-6. doi: 10.1016/S0022-5223(95)70325-X.
7
Omentoplasty in treatment of early bronchopleural fistulas after pneumonectomy.大网膜成形术治疗肺切除术后早期支气管胸膜瘘
Asian Cardiovasc Thorac Ann. 2005 Sep;13(3):211-6. doi: 10.1177/021849230501300304.
8
Early bronchopleural fistula after lung resection.肺切除术后早期支气管胸膜瘘
Monaldi Arch Chest Dis. 1996 Oct;51(5):421-3.
9
[Clinical experience of omental pedicle flap for bronchopleural fistula].带蒂大网膜瓣治疗支气管胸膜瘘的临床经验
Kyobu Geka. 1989 Dec;42(13):1101-4.
10
[Omentoplasty in bronchopleural fistulas after pneumonectomy].[肺切除术后支气管胸膜瘘的网膜成形术]
Tidsskr Nor Laegeforen. 1995 Nov 30;115(29):3627-8.

本文引用的文献

1
Management of thoracic empyema with broncho-pulmonary fistula in combination with negative-pressure wound therapy.采用负压创面治疗技术治疗合并支气管-肺瘘的胸脓胸。
Gen Thorac Cardiovasc Surg. 2021 May;69(5):843-849. doi: 10.1007/s11748-020-01554-5. Epub 2021 Jan 3.
2
The Omental Free Flap-A Review of Usage and Physiology.网膜游离皮瓣——使用与生理学综述
J Reconstr Microsurg. 2018 Mar;34(3):151-169. doi: 10.1055/s-0037-1608008. Epub 2017 Nov 15.
3
Comprehensive treatment approach is necessary for the closure of open window thoracostomy: an institutional review of 35 cases.
开放性胸廓造口术闭合需要综合治疗方法:35例病例的机构回顾
Surg Today. 2014 Mar;44(3):443-8. doi: 10.1007/s00595-013-0556-y. Epub 2013 Mar 24.
4
Use of pedicled omental flap in treatment of empyema.带蒂大网膜瓣在脓胸治疗中的应用。
Ann Thorac Surg. 1990 Sep;50(3):420-4. doi: 10.1016/0003-4975(90)90487-q.