Suppr超能文献

伴有肉瘤样和肉瘤性壁结节的复发性黏液癌:1例报告及文献复习

Recurrent mucinous carcinoma with sarcomatoid and sarcomatous mural nodules: a case report and literature review.

作者信息

Li Simin, Zhu Jingyu, Jiang Na, Guo Yanping, Hou Meng, Liu Xi, Yang Jin, Yang Xiaofeng

机构信息

Department of Gynecology and Obstetrics, First Affiliated Hospital of Xi 'an Jiaotong University, Xi'an Jiaotong University, Xi'an, Shaanxi, China.

Department of Pathology, First Affiliated Hospital of Xi 'an Jiaotong University, Xi'an Jiaotong University, Xi'an, Shaanxi, China.

出版信息

Front Oncol. 2024 Jun 6;14:1387700. doi: 10.3389/fonc.2024.1387700. eCollection 2024.

Abstract

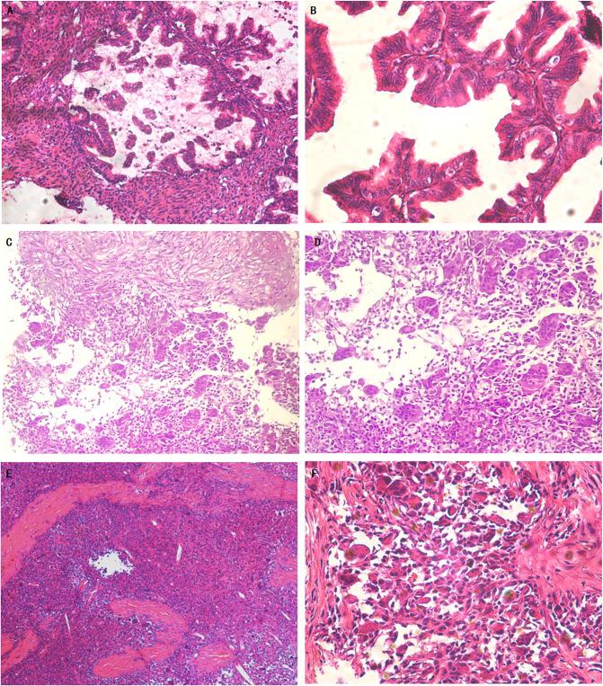
Ovarian mucinous tumors with sarcomatous mural nodules are rare. Sarcomatous nodules have a bad prognosis. Its diagnosis and treatment are controversial.It is still controversial whether malignant mural nodules represent a dedifferentiated form of mucinous tumors or collisional tumors. This is a case report of a 32-year-old female diagnosed with ovarian mucinous tumor recurred as a mucinous carcinoma combined with sarcomatoid and undifferentiated sarcoma mural nodules after surgery and chemotherapy. The primary lesion did not have a sarcomatous component after comprehensive sampling and repeated review, while the recurrent lesion had a predominantly sarcomatous component. The patient received a second operation and postoperative chemotherapy plus Anlotinib with no progression at 16 months of follow-up. Primary mucinous carcinoma and sarcomatous mural nodules revealed the same K-RAS mutation(c.35G>T, pG12V), TP53 mutation (c.817C>T, p.R273C), MLL2 mutation(c.13450C>T, p.R4484) and NF1 mutation(c.7876A>G, p.S2626G). We present a comprehensive analysis on morphologic characteristics, molecular detection results, clinical management, and prognosis of ovarian mucinous tumors with mural nodules of sarcomatoid and undifferentiated sarcoma. Mutation sharing between primary mucinous carcinoma and recurrent sarcomatous nodules supports monoclonal origin of primary and recurrent tumors, suggesting a tendency for sarcomatous differentiation during the progression of epithelial tumors. Malignant mural nodules represent dedifferentiation in mucinous ovarian tumors rather than collision of two different tumor types. Therefore, it is imperative to conduct comprehensive sampling, rigorous clinical examination, and postoperative follow-up in order to thoroughly evaluate all mural nodules of ovarian mucinous tumors due to their potential for malignancy and sarcomatous differentiation.

摘要

伴有肉瘤样壁结节的卵巢黏液性肿瘤较为罕见。肉瘤样结节预后不良。其诊断和治疗存在争议。恶性壁结节是黏液性肿瘤的去分化形式还是碰撞性肿瘤仍存在争议。本文报告一例32岁女性,诊断为卵巢黏液性肿瘤,术后化疗后复发为黏液腺癌合并肉瘤样和未分化肉瘤壁结节。经全面取材及反复阅片,原发灶无肉瘤成分,而复发病灶以肉瘤成分为主。患者接受了二次手术及术后化疗加安罗替尼治疗,随访16个月无进展。原发黏液腺癌和肉瘤样壁结节显示相同的K-RAS突变(c.35G>T,p.G12V)、TP53突变(c.817C>T,p.R273C)、MLL2突变(c.13450C>T,p.R4484)和NF1突变(c.7876A>G,p.S2626G)。我们对伴有肉瘤样和未分化肉瘤壁结节的卵巢黏液性肿瘤的形态学特征、分子检测结果、临床处理及预后进行了综合分析。原发黏液腺癌与复发肉瘤样结节间的突变共享支持原发和复发肿瘤的单克隆起源,提示上皮性肿瘤进展过程中存在肉瘤样分化倾向。恶性壁结节代表黏液性卵巢肿瘤的去分化而非两种不同肿瘤类型的碰撞。因此,鉴于卵巢黏液性肿瘤壁结节有恶变及肉瘤样分化的可能,必须进行全面取材、严格的临床检查及术后随访,以彻底评估所有壁结节。

https://cdn.ncbi.nlm.nih.gov/pmc/blobs/04ec/11187075/a086e7bbb69b/fonc-14-1387700-g001.jpg

文献AI研究员

20分钟写一篇综述,助力文献阅读效率提升50倍。

立即体验

用中文搜PubMed

大模型驱动的PubMed中文搜索引擎

马上搜索

文档翻译

学术文献翻译模型,支持多种主流文档格式。

立即体验