Sharma Vaneet K, Menis Sergey, Brower Evan T, Sayeed Eddy, Ackland Jim, Lombardo Angela, Cottrell Christopher A, Torres Jonathan L, Hassell Thomas, Ward Andrew B, Tsvetnitsky Vadim, Schief William R
IAVI, New York, NY 10004, USA.
Servier Pharmaceuticals, Boston, MA 02210, USA.
Pharmaceutics. 2024 May 30;16(6):742. doi: 10.3390/pharmaceutics16060742.
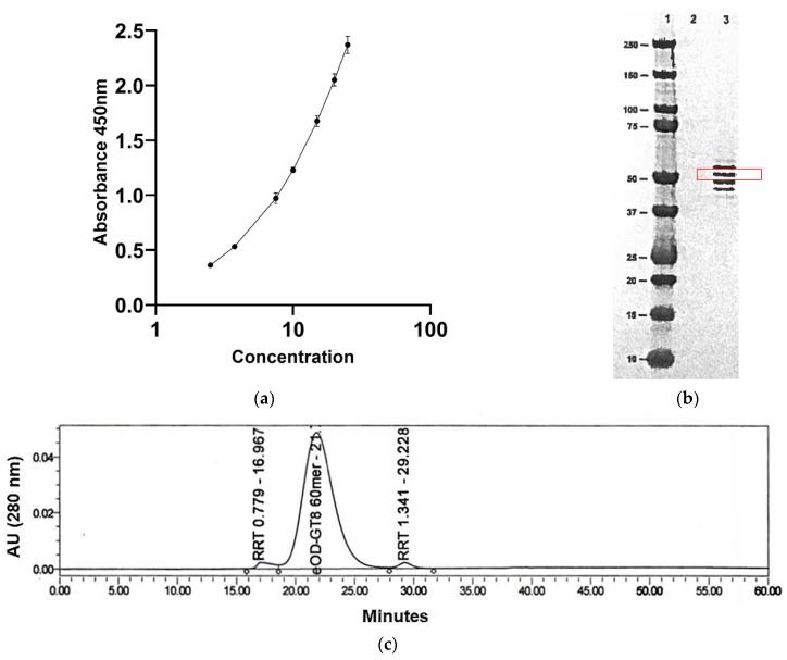
We describe the current Good Manufacturing Practice (cGMP) production and subsequent characterization of eOD-GT8 60mer, a glycosylated self-assembling nanoparticle HIV-1 vaccine candidate and germline targeting priming immunogen. Production was carried out via transient expression in the human embryonic kidney 293 (HEK293) cell line followed by a combination of purification techniques. A large-scale cGMP (200 L) production run yielded 354 mg of the purified eOD-GT8 60mer drug product material, which was formulated at 1 mg/mL in 10% sucrose in phosphate-buffered saline (PBS) at pH 7.2. The clinical trial material was comprehensively characterized for purity, antigenicity, glycan composition, amino acid sequence, and aggregation and by several safety-related tests during cGMP lot release. A comparison of the purified products produced at the 1 L scale and 200 L cGMP scale demonstrated the consistency and robustness of the transient transfection upstream process and the downstream purification strategies. The cGMP clinical trial material was tested in a Phase 1 clinical trial (NCT03547245), is currently being stored at -80 °C, and is on a stability testing program as per regulatory guidelines. The methods described here illustrate the utility of transient transfection for cGMP production of complex products such as glycosylated self-assembling nanoparticles.
我们描述了当前的药品生产质量管理规范(cGMP)生产以及随后对eOD-GT8 60mer的特性表征,eOD-GT8 60mer是一种糖基化自组装纳米颗粒HIV-1疫苗候选物和靶向种系的启动免疫原。生产通过在人胚肾293(HEK293)细胞系中瞬时表达,随后采用多种纯化技术进行。一次大规模的cGMP(200 L)生产运行产生了354 mg纯化的eOD-GT8 60mer药品原料,其在pH 7.2的磷酸盐缓冲盐水(PBS)中以1 mg/mL的浓度与10%蔗糖配制。在cGMP批次放行期间,对临床试验材料进行了纯度、抗原性、聚糖组成、氨基酸序列和聚集情况的全面表征,并通过了多项与安全性相关的测试。对1 L规模和200 L cGMP规模生产的纯化产品进行比较,证明了瞬时转染上游工艺和下游纯化策略的一致性和稳健性。cGMP临床试验材料在一项1期临床试验(NCT03547245)中进行了测试,目前储存在-80°C,并且正在按照监管指南进行稳定性测试程序。本文所述方法说明了瞬时转染在cGMP生产复杂产品(如糖基化自组装纳米颗粒)中的实用性。