Audouard Emilie, Khefif Nicolas, Gillet-Legrand Béatrix, Nobilleau Fanny, Bouazizi Ouafa, Stanga Serena, Despres Gaëtan, Alves Sandro, Lamazière Antonin, Cartier Nathalie, Piguet Françoise
TIDU GENOV, Institut du Cerveau, ICM, F-75013 Paris, France.
Institut du Cerveau, ICM, Inserm U 1127, CNRS UMR 7225, Sorbonne Université, F-75013 Paris, France.
Pharmaceutics. 2024 Jun 3;16(6):756. doi: 10.3390/pharmaceutics16060756.
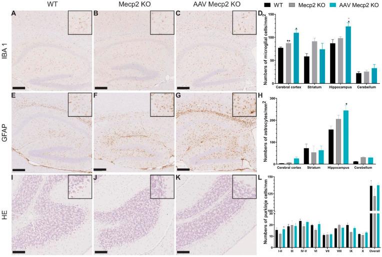
Rett syndrome (RTT) is a rare neurodevelopmental disorder caused by mutation in the X-linked gene methyl-CpG-binding protein 2 (Mecp2), a ubiquitously expressed transcriptional regulator. RTT results in mental retardation and developmental regression that affects approximately 1 in 10,000 females. Currently, there is no curative treatment for RTT. Thus, it is crucial to develop new therapeutic approaches for children suffering from RTT. Several studies suggested that RTT is linked with defects in cholesterol homeostasis, but for the first time, therapeutic evaluation is carried out by modulating this pathway. Moreover, AAV-based CYP46A1 overexpression, the enzyme involved in cholesterol pathway, has been demonstrated to be efficient in several neurodegenerative diseases. Based on these data, we strongly believe that CYP46A1 could be a relevant therapeutic target for RTT. Herein, we evaluated the effects of intravenous AAVPHP.eB-hCYP46A1-HA delivery in male and female -deficient mice. The applied AAVPHP.eB-hCYP46A1 transduced essential neurons of the central nervous system (CNS). CYP46A1 overexpression alleviates behavioral alterations in both male and female mice and extends the lifespan in males. Several parameters related to cholesterol pathway are improved and correction of mitochondrial activity is demonstrated in treated mice, which highlighted the clear therapeutic benefit of CYP46A1 through the neuroprotection effect. IV delivery of AAVPHP.eB-CYP46A1 is perfectly well tolerated with no inflammation observed in the CNS of the treated mice. Altogether, our results strongly suggest that CYP46A1 is a relevant target and overexpression could alleviate the phenotype of Rett patients.
雷特综合征(RTT)是一种罕见的神经发育障碍,由X连锁基因甲基-CpG结合蛋白2(Mecp2)突变引起,Mecp2是一种普遍表达的转录调节因子。RTT导致智力迟钝和发育倒退,约每10000名女性中就有1人受影响。目前,尚无治愈RTT的疗法。因此,为患有RTT的儿童开发新的治疗方法至关重要。多项研究表明RTT与胆固醇稳态缺陷有关,但首次通过调节该途径进行治疗评估。此外,基于腺相关病毒(AAV)的胆固醇途径相关酶CYP46A1过表达已被证明在几种神经退行性疾病中有效。基于这些数据,我们坚信CYP46A1可能是RTT的一个相关治疗靶点。在此,我们评估了静脉注射AAVPHP.eB-hCYP46A1-HA对雄性和雌性Mecp2缺陷小鼠的影响。所应用的AAVPHP.eB-hCYP46A1转导了中枢神经系统(CNS)的关键神经元。CYP46A1过表达减轻了雄性和雌性Mecp2缺陷小鼠的行为改变,并延长了雄性小鼠的寿命。治疗后的小鼠中,与胆固醇途径相关的几个参数得到改善,线粒体活性得到校正,这突出了CYP46A1通过神经保护作用带来的明显治疗益处。静脉注射AAVPHP.eB-CYP46A1耐受性良好,在治疗小鼠的中枢神经系统中未观察到炎症。总之,我们的结果强烈表明CYP46A1是一个相关靶点,过表达可以减轻雷特综合征患者的表型。