Suppr超能文献

在一名前列腺癌患者的F-PSMA-1007 PET/MR成像中检测到肝内胆管癌:病例报告及文献综述

Intrahepatic cholangiocarcinoma detected on F-PSMA-1007 PET/MR imaging in a prostate cancer patient: a case report and literature review.

作者信息

Sun Yu, Wang Haiyan, Yang Yihong, You Zhiwen, Zhao Jun

机构信息

Department of Nuclear Medicine, Shanghai East Hospital, Tongji University School of Medicine, Shanghai, China.

出版信息

Front Oncol. 2024 Jun 12;14:1408453. doi: 10.3389/fonc.2024.1408453. eCollection 2024.

Abstract

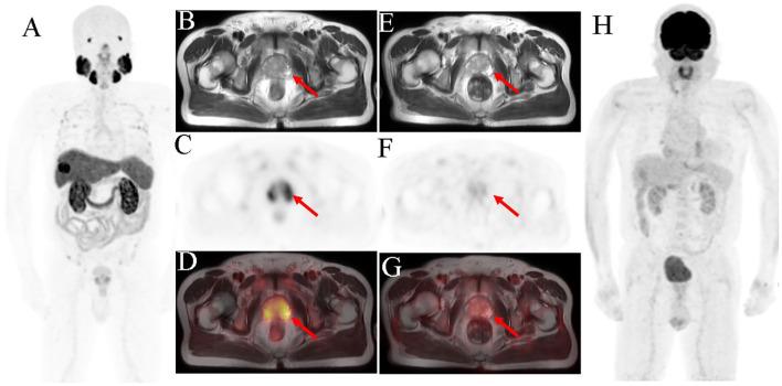
Radionuclide probes-targeted prostate-specific membrane antigen (PSMA) is used in diagnosis and treatment of prostate cancer (PCa). Recent studies have shown that PSMA is expressed in the tumor neovascular endothelium, such as in malignant liver tumors. We report a case of PCa with incidental intrahepatic cholangiocarcinoma (ICC) detection using F-PSMA-1007 and F-fluorodeoxyglucose (FDG) positron emission topography (PET)/MRI.F-PSMA-1007 PET/MRI of our patient with PCa showed that one liver lesion had high PSMA uptake. F-FDG PET/MRI revealed minimal FDG uptake in the liver lesion. Histopathological examination revealed that the liver lesion was moderately to poorly differentiated cholangiocarcinoma. Our studies, along with others, demonstrated that malignant liver tumors, such as ICC, hepatocellular carcinoma (HCC), and combined hepatocellular-cholangiocarcinoma (CHC), and benign lesions, such as benign liver hemangioma, focal nodular hyperplasia, focal inflammation and steatosis, vascular malformation, and fatty sparing, exhibited elevated PSMA uptake. Moreover, PSMA-PET was superior to FDG-PET in detecting ICC and HCC, indicating that PSMA-PET may be used as alternative staging and to identify patients for PSMA-targeted therapy.

摘要

放射性核素探针靶向前列腺特异性膜抗原(PSMA)用于前列腺癌(PCa)的诊断和治疗。最近的研究表明,PSMA在肿瘤新生血管内皮中表达,如在恶性肝肿瘤中。我们报告一例使用F-PSMA-1007和F-氟脱氧葡萄糖(FDG)正电子发射断层扫描(PET)/磁共振成像(MRI)偶然检测到肝内胆管癌(ICC)的PCa病例。我们这位PCa患者的F-PSMA-1007 PET/MRI显示,一个肝脏病灶有高PSMA摄取。F-FDG PET/MRI显示该肝脏病灶有最小限度的FDG摄取。组织病理学检查显示该肝脏病灶为中分化至低分化胆管癌。我们的研究以及其他研究表明,恶性肝肿瘤,如ICC、肝细胞癌(HCC)和肝内胆管混合型肝癌(CHC),以及良性病变,如肝良性血管瘤、局灶性结节性增生、局灶性炎症和脂肪变性、血管畸形和脂肪缺失,均表现出PSMA摄取升高。此外,PSMA-PET在检测ICC和HCC方面优于FDG-PET,表明PSMA-PET可作为替代分期方法,并用于识别适合PSMA靶向治疗的患者。

https://cdn.ncbi.nlm.nih.gov/pmc/blobs/369c/11199518/90c25976daa3/fonc-14-1408453-g001.jpg

文献AI研究员

20分钟写一篇综述,助力文献阅读效率提升50倍。

立即体验

用中文搜PubMed

大模型驱动的PubMed中文搜索引擎

马上搜索

文档翻译

学术文献翻译模型,支持多种主流文档格式。

立即体验