• 文献检索
  • 文档翻译
  • 深度研究
  • 学术资讯
  • Suppr Zotero 插件Zotero 插件
  • 邀请有礼
  • 套餐&价格
  • 历史记录
应用&插件
Suppr Zotero 插件Zotero 插件浏览器插件Mac 客户端Windows 客户端微信小程序
定价
高级版会员购买积分包购买API积分包
服务
文献检索文档翻译深度研究API 文档MCP 服务
关于我们
关于 Suppr公司介绍联系我们用户协议隐私条款
关注我们

Suppr 超能文献

核心技术专利:CN118964589B侵权必究
粤ICP备2023148730 号-1Suppr @ 2026

文献检索

告别复杂PubMed语法,用中文像聊天一样搜索,搜遍4000万医学文献。AI智能推荐,让科研检索更轻松。

立即免费搜索

文件翻译

保留排版,准确专业,支持PDF/Word/PPT等文件格式,支持 12+语言互译。

免费翻译文档

深度研究

AI帮你快速写综述,25分钟生成高质量综述,智能提取关键信息,辅助科研写作。

立即免费体验

评估和报告子宫内膜癌脉管间隙浸润(LVSI)的实用指南。

Practical guidance for assessing and reporting lymphovascular space invasion (LVSI) in endometrial carcinoma.

作者信息

Peters Elke E M, Nucci Marisa R, Gilks C Blake, McCluggage W Glenn, Bosse Tjalling

机构信息

Department of Pathology, Haaglanden Medical Centre, The Hague, the Netherlands.

Department of Pathology, Leiden University Medical Center, Leiden, the Netherlands.

出版信息

Histopathology. 2025 Jan;86(2):173-182. doi: 10.1111/his.15272. Epub 2024 Jun 27.

DOI:10.1111/his.15272
PMID:38937066
原文链接:https://pmc.ncbi.nlm.nih.gov/articles/PMC11649510/
Abstract

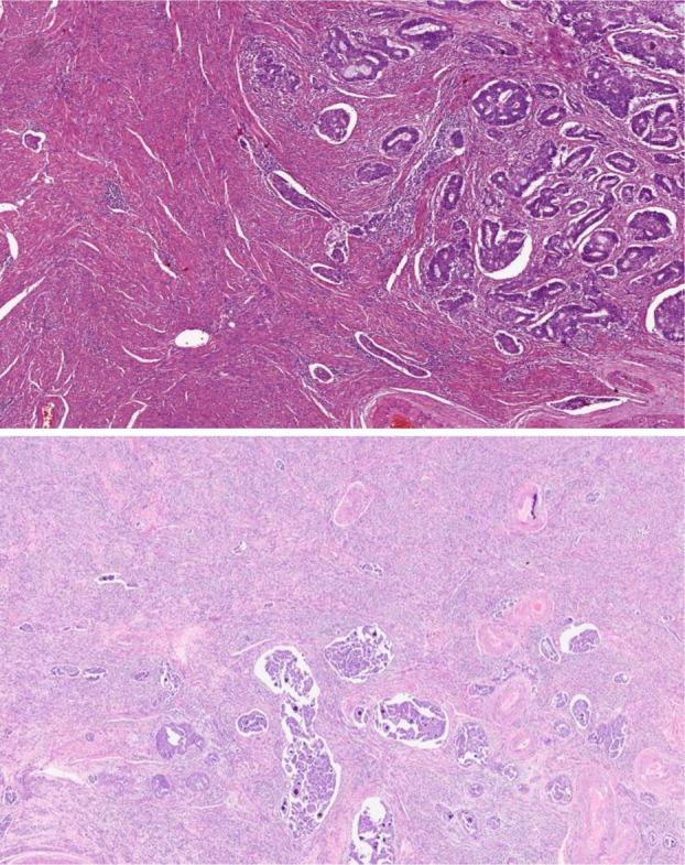
Lymphovascular space invasion (LVSI) is an important prognostic parameter in endometrial carcinoma (EC) and has gained increasing interest in recent years due to an expanding body of evidence of its independent prognostic value, especially when the presence of LVSI is quantified. A key strength of LVSI as a prognostic factor is that it can be detected on routine microscopic examination, without ancillary tests, and thus can be used in low-resource settings. A weakness, however, is the lack of uniformly applied criteria for assessment and quantification of LVSI, resulting in interobserver variation in diagnosis. This is confounded by artefacts and other morphological features that may mimic LVSI (commonly referred to as pseudo-LVSI). Despite these issues, multiple studies have shown that LVSI is strongly associated with lymph node (LN) metastasis and is an independent risk factor for LN recurrence and distant metastasis. Consequently, the presence of substantial/extensive LVSI has become an important consideration in formulating adjuvant treatment recommendations in patients with EC, and this has been incorporated in the recent International Federation of Gynecology and Obstetrics (FIGO) 2023 staging system. Herein, we review the current literature on LVSI in EC and discuss its role as a prognostic marker, the reproducibility of LVSI assessment and distinction between LVSI and its mimics. We provide illustrations of key diagnostic features and discuss the two-tiered (none/focal versus substantial) system of LVSI classification. This work is intended to provide guidance to practising pathologists and unify the approach towards LVSI assessment in EC.

摘要

淋巴管间隙浸润(LVSI)是子宫内膜癌(EC)的一个重要预后参数,近年来,由于越来越多的证据表明其具有独立的预后价值,尤其是在对LVSI的存在进行量化时,它受到了越来越多的关注。LVSI作为一个预后因素的一个关键优势在于,它可以在常规显微镜检查中被检测到,无需辅助检查,因此可用于资源匮乏的环境。然而,一个缺点是缺乏统一应用的LVSI评估和量化标准,导致观察者之间的诊断差异。这被可能模拟LVSI的假象和其他形态学特征(通常称为假LVSI)所混淆。尽管存在这些问题,多项研究表明,LVSI与淋巴结(LN)转移密切相关,是LN复发和远处转移的独立危险因素。因此,大量/广泛LVSI的存在已成为制定EC患者辅助治疗建议时的一个重要考虑因素,这已被纳入最近的国际妇产科联合会(FIGO)2023分期系统。在此,我们回顾了目前关于EC中LVSI的文献,并讨论了其作为预后标志物的作用、LVSI评估的可重复性以及LVSI与其模拟物之间的区别。我们提供了关键诊断特征的图示,并讨论了LVSI分类的两级(无/局灶性与大量)系统。这项工作旨在为执业病理学家提供指导,并统一EC中LVSI评估的方法。

https://cdn.ncbi.nlm.nih.gov/pmc/blobs/c186/11649510/2dadbcbc7c4c/HIS-86-173-g005.jpg
https://cdn.ncbi.nlm.nih.gov/pmc/blobs/c186/11649510/aa8230cfdc6f/HIS-86-173-g007.jpg
https://cdn.ncbi.nlm.nih.gov/pmc/blobs/c186/11649510/5f4c3abf8e3a/HIS-86-173-g003.jpg
https://cdn.ncbi.nlm.nih.gov/pmc/blobs/c186/11649510/53baaf67ab4d/HIS-86-173-g004.jpg
https://cdn.ncbi.nlm.nih.gov/pmc/blobs/c186/11649510/fd55ce57a14b/HIS-86-173-g001.jpg
https://cdn.ncbi.nlm.nih.gov/pmc/blobs/c186/11649510/f2e25aa73dec/HIS-86-173-g002.jpg
https://cdn.ncbi.nlm.nih.gov/pmc/blobs/c186/11649510/5a58e22a7b68/HIS-86-173-g006.jpg
https://cdn.ncbi.nlm.nih.gov/pmc/blobs/c186/11649510/2dadbcbc7c4c/HIS-86-173-g005.jpg
https://cdn.ncbi.nlm.nih.gov/pmc/blobs/c186/11649510/aa8230cfdc6f/HIS-86-173-g007.jpg
https://cdn.ncbi.nlm.nih.gov/pmc/blobs/c186/11649510/5f4c3abf8e3a/HIS-86-173-g003.jpg
https://cdn.ncbi.nlm.nih.gov/pmc/blobs/c186/11649510/53baaf67ab4d/HIS-86-173-g004.jpg
https://cdn.ncbi.nlm.nih.gov/pmc/blobs/c186/11649510/fd55ce57a14b/HIS-86-173-g001.jpg
https://cdn.ncbi.nlm.nih.gov/pmc/blobs/c186/11649510/f2e25aa73dec/HIS-86-173-g002.jpg
https://cdn.ncbi.nlm.nih.gov/pmc/blobs/c186/11649510/5a58e22a7b68/HIS-86-173-g006.jpg
https://cdn.ncbi.nlm.nih.gov/pmc/blobs/c186/11649510/2dadbcbc7c4c/HIS-86-173-g005.jpg

相似文献

1
Practical guidance for assessing and reporting lymphovascular space invasion (LVSI) in endometrial carcinoma.评估和报告子宫内膜癌脉管间隙浸润(LVSI)的实用指南。
Histopathology. 2025 Jan;86(2):173-182. doi: 10.1111/his.15272. Epub 2024 Jun 27.
2
Is Substantial Lymphovascular Space Invasion Prognostic for Clinical Outcomes in Type II Endometrial Cancer?是否存在实质性淋巴管血管侵犯对 II 型子宫内膜癌的临床结局具有预后意义?
Clin Oncol (R Coll Radiol). 2022 Jul;34(7):452-458. doi: 10.1016/j.clon.2022.02.018. Epub 2022 Mar 6.
3
Is the risk of substantial LVSI in stage I endometrial cancer similar to PORTEC in the North American population? - A single-institution study.Ⅰ期子宫内膜癌中大量 LVSI 的风险是否与北美人群中的 PORTEC 相似?——一项单机构研究。
Gynecol Oncol. 2020 Oct;159(1):23-29. doi: 10.1016/j.ygyno.2020.07.024. Epub 2020 Jul 25.
4
Reproducibility of lymphovascular space invasion (LVSI) assessment in endometrial cancer.子宫内膜癌中淋巴管血管间隙浸润(LVSI)评估的可重复性。
Histopathology. 2019 Jul;75(1):128-136. doi: 10.1111/his.13871. Epub 2019 Jun 10.
5
The prognostic impact of substantial lymphovascular space invasion in women with node negative FIGO stage I uterine carcinoma.淋巴结阴性 FIGO Ⅰ期子宫体癌中大量淋巴管血管间隙浸润的预后影响。
Gynecol Oncol. 2024 Sep;188:44-51. doi: 10.1016/j.ygyno.2024.06.009. Epub 2024 Jun 26.
6
The prognostic and clinical significance of substantial lymphovascular space invasion in early-stage endometrial carcinoma.早期子宫内膜癌中显著淋巴管间隙浸润的预后及临床意义。
Eur J Cancer. 2025 Mar 11;218:115258. doi: 10.1016/j.ejca.2025.115258. Epub 2025 Jan 27.
7
Defining Substantial Lymphovascular Space Invasion in Endometrial Cancer.定义子宫内膜癌中的显著淋巴管间隙浸润
Int J Gynecol Pathol. 2022 May 1;41(3):220-226. doi: 10.1097/PGP.0000000000000806. Epub 2021 Jul 13.
8
Prognostic value of three-tiered scoring system for lymph-vascular space invasion in endometrial cancer: A systematic review and meta-analysis.三分层评分系统对子宫内膜癌淋巴管脉管间隙浸润的预后价值:系统评价和荟萃分析。
Gynecol Oncol. 2024 May;184:198-205. doi: 10.1016/j.ygyno.2024.01.046. Epub 2024 Feb 9.
9
The impact of Substantial LYMphovascular space invasion on sentinel lymph nodes status and recurrence in Endometrial Cancer patients: SLYM-EC a multicenter retrospective study.大量淋巴管血管空间浸润对子宫内膜癌患者前哨淋巴结状态和复发的影响:SLYM-EC 多中心回顾性研究。
Eur J Surg Oncol. 2024 Dec;50(12):108731. doi: 10.1016/j.ejso.2024.108731. Epub 2024 Oct 3.
10
Substantial lymph-vascular space invasion (LVSI) is a significant risk factor for recurrence in endometrial cancer--A pooled analysis of PORTEC 1 and 2 trials.大量的淋巴管血管间隙浸润(LVSI)是子宫内膜癌复发的一个重要危险因素——PORTEC1 和 2 试验的汇总分析。
Eur J Cancer. 2015 Sep;51(13):1742-50. doi: 10.1016/j.ejca.2015.05.015. Epub 2015 Jun 3.

引用本文的文献

1
Radiomics nomogram from multiparametric magnetic resonance imaging for preoperative prediction of substantial lymphovascular space invasion in endometrial cancer.基于多参数磁共振成像的影像组学列线图用于术前预测子宫内膜癌的显著淋巴管间隙浸润
Abdom Radiol (NY). 2025 Sep 8. doi: 10.1007/s00261-025-05182-6.
2
Outcomes and prognostic factors in patients with synchronous endometrial and ovarian cancer.同时性子宫内膜癌和卵巢癌患者的治疗结果及预后因素
Arch Gynecol Obstet. 2025 Sep 4. doi: 10.1007/s00404-025-08164-7.
3
New histopathological and molecular findings in gynecological cancers.

本文引用的文献

1
Macroscopic examination of gynaecological specimens: a critial and often underemphasised aspect of pathological reporting.妇科标本的肉眼检查:病理报告中一个重要但常被低估的方面。
J Clin Pathol. 2024 Feb 19;77(3):190-203. doi: 10.1136/jcp-2023-208832.
2
Perceptions of Controversies and Unresolved Issues in the 2014 FIGO Staging System for Endometrial Cancer: Survey Results From Members of the International Society of Gynecological Pathologists and International Gynecologic Cancer Society.2014 年 FIGO 子宫内膜癌分期系统中的争议和未解决问题的认知:国际妇科病理学会和国际妇科癌症学会成员的调查结果。
Int J Gynecol Pathol. 2024 May 1;43(3):242-252. doi: 10.1097/PGP.0000000000000977. Epub 2023 Aug 18.
3
妇科癌症的新组织病理学和分子学发现。
Int J Gynaecol Obstet. 2025 Sep;171 Suppl 1(Suppl 1):109-119. doi: 10.1002/ijgo.70283. Epub 2025 Jul 30.
4
Cancer of the corpus uteri: A 2025 update.子宫体癌:2025年最新进展
Int J Gynaecol Obstet. 2025 Sep;171 Suppl 1:60-77. doi: 10.1002/ijgo.70326. Epub 2025 Jul 7.
5
The past, present, and future of FIGO staging of endometrial cancer.子宫内膜癌国际妇产科联盟(FIGO)分期的过去、现在与未来
J Gynecol Oncol. 2025 Jul;36(4):e105. doi: 10.3802/jgo.2025.36.e105. Epub 2025 Apr 14.
Prognostic value of lymphovascular space invasion according to the molecular subgroups in endometrial cancer.
根据分子亚群评估子宫内膜癌中淋巴管血管侵犯的预后价值。
Int J Gynecol Cancer. 2023 Nov 6;33(11):1702-1707. doi: 10.1136/ijgc-2023-004606.
4
FIGO staging of endometrial cancer: 2023.国际妇产科联盟(FIGO)子宫内膜癌分期:2023 年。
J Gynecol Oncol. 2023 Sep;34(5):e85. doi: 10.3802/jgo.2023.34.e85. Epub 2023 Aug 8.
5
FIGO staging of endometrial cancer: 2023.国际妇产科联盟(FIGO)子宫内膜癌分期:2023 年。
Int J Gynaecol Obstet. 2023 Aug;162(2):383-394. doi: 10.1002/ijgo.14923. Epub 2023 Jun 20.
6
Data Set for the Reporting of Endometrial Cancer: Recommendations From the International Collaboration on Cancer Reporting (ICCR).子宫内膜癌报告数据集:国际癌症报告合作组织(ICCR)的建议。
Int J Gynecol Pathol. 2022 Nov 1;41(Suppl 1):S90-S118. doi: 10.1097/PGP.0000000000000901. Epub 2022 Oct 24.
7
Substantial Lymphovascular Space Invasion Is an Adverse Prognostic Factor in High-Risk Endometrial Cancer.大量淋巴管间隙浸润是高危子宫内膜癌的不良预后因素。
Int J Gynecol Pathol. 2022 May 1;41(3):227-234. doi: 10.1097/PGP.0000000000000805. Epub 2021 Aug 16.
8
Defining Substantial Lymphovascular Space Invasion in Endometrial Cancer.定义子宫内膜癌中的显著淋巴管间隙浸润
Int J Gynecol Pathol. 2022 May 1;41(3):220-226. doi: 10.1097/PGP.0000000000000806. Epub 2021 Jul 13.
9
ESGO/ESTRO/ESP Guidelines for the management of patients with endometrial carcinoma.欧洲妇科肿瘤学会/欧洲放射肿瘤学会/西班牙妇科肿瘤学会子宫内膜癌患者管理指南
Virchows Arch. 2021 Feb;478(2):153-190. doi: 10.1007/s00428-020-03007-z.
10
Substantial lymphovascular space invasion predicts worse outcomes in early-stage endometrioid endometrial cancer.大量的淋巴管血管侵犯预测早期子宫内膜样型子宫内膜癌的预后更差。
Brachytherapy. 2021 May-Jun;20(3):527-535. doi: 10.1016/j.brachy.2020.12.006. Epub 2021 Jan 21.