Hunter Jacqueline E, Molony Caitlyn M, Bagel Jessica H, O'Donnell Patricia, Vite Charles H, Chawla Sanjeev, Poptani Harish, Wolfe John H
Research Institute of Children's Hospital of Philadelphia, Philadelphia, PA 19104, USA.
W.F. Goodman Center for Comparative Medical Genetics, School of Veterinary Medicine, University of Pennsylvania, Philadelphia, PA 19104, USA.
Mol Ther Methods Clin Dev. 2024 May 23;32(2):101272. doi: 10.1016/j.omtm.2024.101272. eCollection 2024 Jun 13.
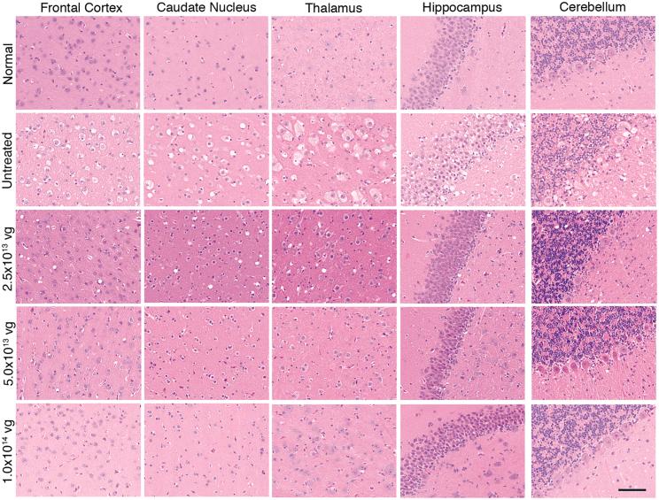
Alpha-mannosidosis is caused by a genetic deficiency of lysosomal alpha-mannosidase, leading to the widespread presence of storage lesions in the brain and other tissues. Enzyme replacement therapy is available but is not approved for treating the CNS, since the enzyme does not penetrate the blood-brain barrier. However, intellectual disability is a major manifestation of the disease; thus, a complimentary treatment is needed. While enzyme replacement therapy into the brain is technically feasible, it requires ports and frequent administration over time that are difficult to manage medically. Infusion of adeno-associated viral vectors into the cerebrospinal fluid is an attractive route for broadly targeting brain cells. We demonstrate here the widespread post-symptomatic correction of the globally distributed storage lesions by infusion of a high dose of AAV1-feline alpha-mannosidase (fMANB) into the CSF via the cisterna magna in the gyrencephalic alpha-mannosidosis cat brain. Significant improvements in clinical parameters occurred, and widespread global correction was documented pre-mortem by non-invasive magnetic resonance imaging. Postmortem analysis demonstrated high levels of MANB activity and reversal of lysosomal storage lesions throughout the brain. Thus, CSF treatment by adeno-associated viral vector gene therapy appears to be a suitable complement to systemic enzyme replacement therapy to potentially treat the whole patient.
α-甘露糖苷贮积症是由溶酶体α-甘露糖苷酶的基因缺陷引起的,导致大脑和其他组织中广泛存在贮积性病变。酶替代疗法虽已可用,但未被批准用于治疗中枢神经系统,因为该酶无法穿透血脑屏障。然而,智力残疾是该疾病的主要表现;因此,需要一种辅助治疗方法。虽然将酶替代疗法应用于大脑在技术上是可行的,但它需要端口以及随着时间推移进行频繁给药,这在医学上难以管理。将腺相关病毒载体注入脑脊液是一种广泛靶向脑细胞的有吸引力的途径。我们在此证明,通过在回脑型α-甘露糖苷贮积症猫脑的枕大池将高剂量的AAV1-猫α-甘露糖苷酶(fMANB)注入脑脊液,可对全球分布的贮积性病变进行广泛的症状后纠正。临床参数有显著改善,并且在死前通过非侵入性磁共振成像记录了广泛的整体纠正情况。死后分析显示大脑中MANB活性水平很高,并且溶酶体贮积性病变得到逆转。因此,腺相关病毒载体基因疗法通过脑脊液治疗似乎是全身酶替代疗法的合适补充,有可能治疗整个患者。