Suppr超能文献

恶性肿瘤与心内膜炎的相互作用:一例转移性肺腺癌并发消耗性心内膜炎罕见病例报告

The Interplay of Malignancy and Endocarditis: A Report of a Rare Case of Marantic Endocarditis in Metastatic Lung Adenocarcinoma.

作者信息

Guevara Nehemias, Sanchez Jorge, Chapiolkina Volha, Perez Rosario Esmirna M, Tole Maria C, Mekonen Yemesrach, Coreas Noemy, Fulger Ilmana

机构信息

Internal Medicine, St. Barnabas Hospital Health System, New York, USA.

Gynecologic Oncology, National University of El Salvador, San Salvador, SLV.

出版信息

Cureus. 2024 Jun 29;16(6):e63456. doi: 10.7759/cureus.63456. eCollection 2024 Jun.

Abstract

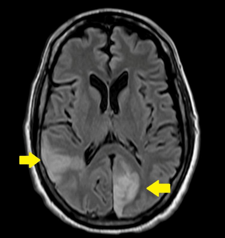
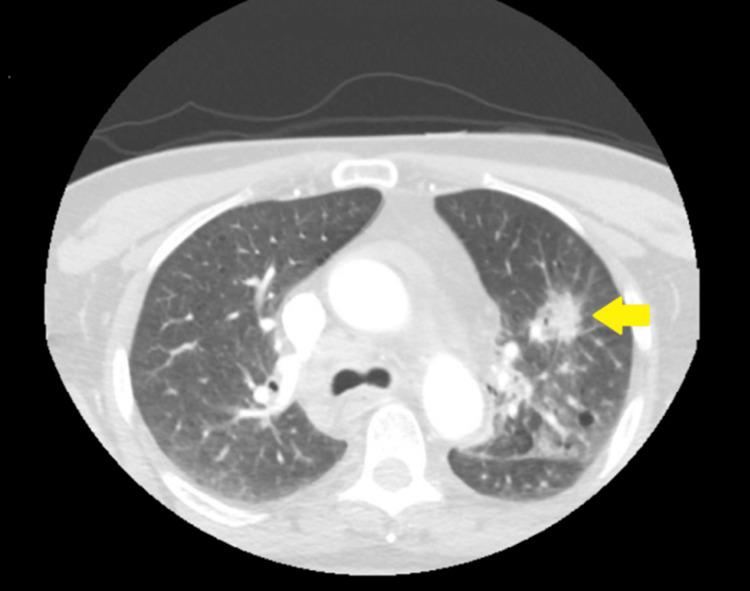
Endocarditis involves inflammation of the inner layer of the heart, known as the endocardium. This condition typically presents with vegetation, with bacteria and fungi usually being the primary culprits. It is divided into two main categories based on its cause: infectious endocarditis and noninfectious endocarditis (NIE). Most cases of NIE are associated with malignancies, most of which are adenocarcinomas of the pancreas and lungs. We present the case of a 63-year-old man with recently diagnosed stage 3 non-small cell lung cancer and a previous history of thrombosis to the renal and popliteal arteries alongside an extensive cardiovascular history who presented with blurry vision secondary to multiple acute ischemic strokes, initially thought to be a consequence of septic emboli due to bacterial endocarditis; however, further workup revealed otherwise, illustrating the complex relationship between malignancy and endocarditis and its ramification.

摘要

心内膜炎累及心脏内层,即心内膜的炎症。这种病症通常表现为赘生物,细菌和真菌通常是主要病因。根据病因,它主要分为两类:感染性心内膜炎和非感染性心内膜炎(NIE)。大多数NIE病例与恶性肿瘤相关,其中大多数是胰腺和肺部的腺癌。我们报告了一例63岁男性患者,最近被诊断为3期非小细胞肺癌,既往有肾动脉和腘动脉血栓形成史以及广泛的心血管病史,因多发性急性缺血性中风出现视力模糊,最初认为是细菌性心内膜炎导致的脓毒性栓子所致;然而,进一步检查结果并非如此,这说明了恶性肿瘤与心内膜炎之间的复杂关系及其后果。

https://cdn.ncbi.nlm.nih.gov/pmc/blobs/914a/11214888/f37e1b4eda0a/cureus-0016-00000063456-i01.jpg

文献AI研究员

20分钟写一篇综述,助力文献阅读效率提升50倍。

立即体验

用中文搜PubMed

大模型驱动的PubMed中文搜索引擎

马上搜索

文档翻译

学术文献翻译模型,支持多种主流文档格式。

立即体验