Suppr超能文献

纤维化的放射学第三部分:泌尿生殖系统。

Radiology of fibrosis part III: genitourinary system.

机构信息

Department of Biomedical Sciences, Humanitas University, Milan, Italy.

Department of Radiology, Columbia University Irving Medical Center, 630 W 168th Street, New York, NY, 10032, USA.

出版信息

J Transl Med. 2024 Jul 3;22(1):616. doi: 10.1186/s12967-024-05333-1.

Abstract

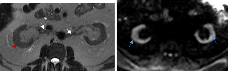
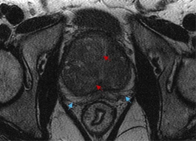
Fibrosis is a pathological process involving the abnormal deposition of connective tissue, resulting from improper tissue repair in response to sustained injury caused by hypoxia, infection, or physical damage. It can impact any organ, leading to their dysfunction and eventual failure. Additionally, tissue fibrosis plays an important role in carcinogenesis and the progression of cancer.Early and accurate diagnosis of organ fibrosis, coupled with regular surveillance, is essential for timely disease-modifying interventions, ultimately reducing mortality and enhancing quality of life. While extensive research has already been carried out on the topics of aberrant wound healing and fibrogenesis, we lack a thorough understanding of how their relationship reveals itself through modern imaging techniques.This paper focuses on fibrosis of the genito-urinary system, detailing relevant imaging technologies used for its detection and exploring future directions.

摘要

纤维化是一种病理过程,涉及结缔组织的异常沉积,是由于缺氧、感染或物理损伤引起的持续损伤导致的组织修复不当引起的。它可以影响任何器官,导致其功能障碍和最终衰竭。此外,组织纤维化在致癌作用和癌症进展中起着重要作用。早期准确诊断器官纤维化,并定期进行监测,对于及时进行疾病修饰干预至关重要,最终可以降低死亡率并提高生活质量。虽然已经对异常伤口愈合和纤维化发生进行了广泛的研究,但我们对它们之间的关系如何通过现代成像技术表现出来仍缺乏全面的了解。本文重点介绍了生殖泌尿系统的纤维化,详细介绍了用于检测的相关成像技术,并探讨了未来的方向。

https://cdn.ncbi.nlm.nih.gov/pmc/blobs/7525/11223291/d063044ebee4/12967_2024_5333_Fig1_HTML.jpg

文献AI研究员

20分钟写一篇综述,助力文献阅读效率提升50倍。

立即体验

用中文搜PubMed

大模型驱动的PubMed中文搜索引擎

马上搜索

文档翻译

学术文献翻译模型,支持多种主流文档格式。

立即体验