• 文献检索
  • 文档翻译
  • 深度研究
  • 学术资讯
  • Suppr Zotero 插件Zotero 插件
  • 邀请有礼
  • 套餐&价格
  • 历史记录
应用&插件
Suppr Zotero 插件Zotero 插件浏览器插件Mac 客户端Windows 客户端微信小程序
定价
高级版会员购买积分包购买API积分包
服务
文献检索文档翻译深度研究API 文档MCP 服务
关于我们
关于 Suppr公司介绍联系我们用户协议隐私条款
关注我们

Suppr 超能文献

核心技术专利:CN118964589B侵权必究
粤ICP备2023148730 号-1Suppr @ 2026

文献检索

告别复杂PubMed语法,用中文像聊天一样搜索,搜遍4000万医学文献。AI智能推荐,让科研检索更轻松。

立即免费搜索

文件翻译

保留排版,准确专业,支持PDF/Word/PPT等文件格式,支持 12+语言互译。

免费翻译文档

深度研究

AI帮你快速写综述,25分钟生成高质量综述,智能提取关键信息,辅助科研写作。

立即免费体验

胸主动脉腔内修复术后持续性 II 型内漏的成功开放手术治疗:1 例报告。

Successful open surgical treatment for persistent type II endoleak following thoracic endovascular aortic repair: a case report.

机构信息

Department of Thoracic and Cardiovascular Surgery, Uijeongbu Eulji Medical Center, Eulji University, Uijeongbu-si, Republic of Korea.

Department of Thoracic and Cardiovascular Surgery, Seoul St. Mary's Hospital, College of Medicine, The Catholic University of Korea, 222 Banpo-daero, Seocho-gu, Seoul, 06591, Republic of Korea.

出版信息

J Cardiothorac Surg. 2024 Jul 3;19(1):416. doi: 10.1186/s13019-024-02843-3.

DOI:10.1186/s13019-024-02843-3
PMID:38961402
原文链接:https://pmc.ncbi.nlm.nih.gov/articles/PMC11221121/
Abstract

BACKGROUND

The occurrence of type II endoleaks after endovascular repair of aortic aneurysm has gradually gained increasing attention. We present a case of a patient with an expanding aneurysm after thoracic endovascular aortic repair (TEVAR) for a type II endoleak, in which successful direct ligations of the intercostal artery were performed using a sac incision without cardiopulmonary bypass (CPB) or graft replacement.

CASE PRESENTATION

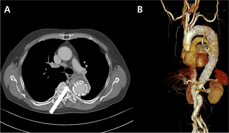
A 62-year-old male patient, previously treated with TEVAR for a descending thoracic aortic aneurysm, presented with ongoing chest discomfort. Based on the diagnosis of a growing aneurysm and type II endoleak, the patient was prepared for CPB and aortic cross-clamping, as a precautions against the possibility of a type I endoleak. A longitudinal opening of the thoracic aortic aneurysm sac was performed following left thoracotomy. Visual confirmation identified the T5 level intercostal artery as the source of the endoleak, and after confirming the absence of a type I endoleak, multiple ligations were applied to the intercostal artery. Follow-up computed tomography confirmed the absence of endoleaks or sac growth.

CONCLUSION

In a case involving TEVAR for a thoracic aortic aneurysm, open suture ligations were used to treat type II endoleaks without having to resort to CPB, resulting in successful outcomes.

摘要

背景

主动脉瘤血管内修复后 II 型内漏的发生逐渐受到越来越多的关注。我们报告了一例 II 型内漏导致胸主动脉血管内修复(TEVAR)后扩张性动脉瘤的患者,通过在不使用体外循环(CPB)或移植物置换的情况下对血管囊进行切口,成功地对肋间动脉进行了直接结扎。

病例介绍

一名 62 岁男性患者,先前因降主动脉胸主动脉瘤接受 TEVAR 治疗,现出现持续胸痛。根据不断增大的动脉瘤和 II 型内漏的诊断,为预防 I 型内漏的可能性,患者准备接受 CPB 和主动脉阻断。在左开胸手术后,对胸主动脉瘤囊进行了纵向切开。直视下确认 T5 水平肋间动脉为内漏来源,在确认无 I 型内漏后,对肋间动脉进行了多次结扎。随访 CT 证实无内漏或囊腔增大。

结论

在一例 TEVAR 治疗胸主动脉瘤的病例中,采用开放缝合结扎治疗 II 型内漏,无需使用 CPB,取得了成功的结果。

https://cdn.ncbi.nlm.nih.gov/pmc/blobs/1fe6/11221121/941198e06640/13019_2024_2843_Fig4_HTML.jpg
https://cdn.ncbi.nlm.nih.gov/pmc/blobs/1fe6/11221121/88835152263f/13019_2024_2843_Fig1_HTML.jpg
https://cdn.ncbi.nlm.nih.gov/pmc/blobs/1fe6/11221121/d6f8008a0403/13019_2024_2843_Fig2_HTML.jpg
https://cdn.ncbi.nlm.nih.gov/pmc/blobs/1fe6/11221121/912124eca89e/13019_2024_2843_Fig3_HTML.jpg
https://cdn.ncbi.nlm.nih.gov/pmc/blobs/1fe6/11221121/941198e06640/13019_2024_2843_Fig4_HTML.jpg
https://cdn.ncbi.nlm.nih.gov/pmc/blobs/1fe6/11221121/88835152263f/13019_2024_2843_Fig1_HTML.jpg
https://cdn.ncbi.nlm.nih.gov/pmc/blobs/1fe6/11221121/d6f8008a0403/13019_2024_2843_Fig2_HTML.jpg
https://cdn.ncbi.nlm.nih.gov/pmc/blobs/1fe6/11221121/912124eca89e/13019_2024_2843_Fig3_HTML.jpg
https://cdn.ncbi.nlm.nih.gov/pmc/blobs/1fe6/11221121/941198e06640/13019_2024_2843_Fig4_HTML.jpg

相似文献

1
Successful open surgical treatment for persistent type II endoleak following thoracic endovascular aortic repair: a case report.胸主动脉腔内修复术后持续性 II 型内漏的成功开放手术治疗:1 例报告。
J Cardiothorac Surg. 2024 Jul 3;19(1):416. doi: 10.1186/s13019-024-02843-3.
2
[Delayed Type Ⅲb Endoleak After Thoracic Endovascular Aortic Repair for Thoracic Aortic Aneurysm: Report of a Case].[胸主动脉瘤腔内修复术后Ⅲb型迟发性内漏1例报告]
Kyobu Geka. 2023 Oct;76(11):941-944.
3
The surgical management of type IA endoleak after thoracic endovascular aortic repair.胸主动脉腔内修复术后ⅠA型内漏的手术处理。
Interact Cardiovasc Thorac Surg. 2020 Sep 1;31(3):346-353. doi: 10.1093/icvts/ivaa124.
4
The significance of endoleaks in thoracic endovascular aneurysm repair.胸主动脉腔内修复术中内漏的意义
Ann Vasc Surg. 2011 Apr;25(3):345-51. doi: 10.1016/j.avsg.2010.08.002. Epub 2010 Oct 6.
5
Analysis of Risk Factors for Early Type I Endoleaks After Thoracic Endovascular Aneurysm Repair.胸主动脉腔内修复术后早期Ⅰ型内漏的危险因素分析
J Endovasc Ther. 2017 Feb;24(1):89-96. doi: 10.1177/1526602816673326. Epub 2016 Oct 22.
6
Open aortic surgery after thoracic endovascular aortic repair.胸主动脉腔内修复术后的开放性主动脉手术。
Gen Thorac Cardiovasc Surg. 2016 Aug;64(8):441-9. doi: 10.1007/s11748-016-0658-8. Epub 2016 Jun 17.
7
[Elimination of late endoleak after endovascular repair of a dissecting thoracoabdominal aortic aneurysm].[胸主动脉夹层动脉瘤血管腔内修复术后晚期内漏的消除]
Angiol Sosud Khir. 2019;25(4):173-180. doi: 10.33529/ANGIO2019413.
8
Stent graft repair of paraanastomotic aneurysms after open descending thoracic and thoracoabdominal aortic aneurysm repair.开放性降胸段和胸腹主动脉瘤修复术后吻合口旁动脉瘤的支架移植物修复术。
Ann Vasc Surg. 2013 Aug;27(6):693-8. doi: 10.1016/j.avsg.2012.07.023. Epub 2013 Mar 26.
9
Long-term results of total endovascular repair of arch-involving aortic pathologies using parallel grafts for supra-aortic debranching.使用平行移植物进行主动脉弓去分支术治疗累及主动脉弓的主动脉病变的全腔内修复的长期结果。
J Vasc Surg. 2022 Mar;75(3):813-823.e1. doi: 10.1016/j.jvs.2021.09.020. Epub 2021 Oct 2.
10
Thoracic aortic remodeling with endografting after a decade of thoracic endovascular aortic repair experience.胸主动脉瘤腔内修复术后 10 年的胸主动脉重塑。
J Vasc Surg. 2021 Mar;73(3):844-849. doi: 10.1016/j.jvs.2020.06.120. Epub 2020 Jul 21.

本文引用的文献

1
Surgical Treatment of Sac Enlargement Due to Type II Endoleaks Following Endovascular Aneurysm Repair.血管内动脉瘤修复术后Ⅱ型内漏所致囊袋扩大的外科治疗
Ann Vasc Dis. 2023 Mar 25;16(1):1-7. doi: 10.3400/avd.ra.22-00115.
2
Long-Term Outcomes and Risk Factors Analysis for Patients Undergoing Thoracic Endovascular Aorta Repair (TEVAR), According to the Aortic Pathologies.根据主动脉病变分析,接受胸主动脉腔内修复术(TEVAR)治疗的患者的长期预后和风险因素分析。
Ann Vasc Surg. 2023 Aug;94:362-368. doi: 10.1016/j.avsg.2023.02.012. Epub 2023 Mar 11.
3
Nationwide Analysis of Persistent Type II Endoleak and Late Outcomes of Endovascular Abdominal Aortic Aneurysm Repair in Japan: A Propensity-Matched Analysis.
日本腹主动脉瘤腔内修复术后持续性 II 型内漏的全国性分析:倾向性匹配分析。
Circulation. 2022 Apr 5;145(14):1056-1066. doi: 10.1161/CIRCULATIONAHA.121.056581. Epub 2022 Feb 25.
4
Mid-term outcomes of hybrid debranching endovascular aortic arch repair in landing zones 0-2.杂交腔内主动脉弓修复术在 0-2 区着陆区的中期结果。
Vascular. 2023 Jun;31(3):447-454. doi: 10.1177/17085381211068230. Epub 2022 Jan 31.
5
Type 2 Endoleak With or Without Intervention and Survival After Endovascular Aneurysm Repair.2 型内漏伴或不伴干预治疗与血管内动脉瘤修复术后生存情况。
Eur J Vasc Endovasc Surg. 2021 May;61(5):779-786. doi: 10.1016/j.ejvs.2021.01.017. Epub 2021 Feb 23.
6
Type 2 Endoleak Management.2型内漏的处理
Semin Intervent Radiol. 2020 Oct;37(4):365-370. doi: 10.1055/s-0040-1715873. Epub 2020 Oct 1.
7
Aortic Remodeling and Clinical Outcomes in Type B Aortic Dissection According to the Timing of Thoracic Endovascular Aortic Repair.根据胸主动脉腔内修复时机的B型主动脉夹层的主动脉重塑和临床结果
Ann Vasc Surg. 2020 Aug;67:322-331. doi: 10.1016/j.avsg.2020.03.022. Epub 2020 Mar 28.
8
Complete Thoracic Aorta Remodeling After Endovascular Aortic Repair: A New Therapeutic Goal for Chronic DeBakey IIIb Aneurysms.胸主动脉重构完成:慢性 Debakey Ⅲb 型动脉瘤的新治疗目标。
Semin Thorac Cardiovasc Surg. 2019 Autumn;31(3):444-450. doi: 10.1053/j.semtcvs.2019.05.016. Epub 2019 May 28.
9
Editor's Choice - European Society for Vascular Surgery (ESVS) 2019 Clinical Practice Guidelines on the Management of Abdominal Aorto-iliac Artery Aneurysms.编辑推荐——欧洲血管外科学会(ESVS)2019年腹主动脉-髂动脉瘤管理临床实践指南
Eur J Vasc Endovasc Surg. 2019 Jan;57(1):8-93. doi: 10.1016/j.ejvs.2018.09.020. Epub 2018 Dec 5.
10
Endovascular versus open elephant trunk completion for extensive aortic disease.血管内与开放象鼻技术在广泛主动脉疾病中的应用比较。
J Thorac Cardiovasc Surg. 2013 Dec;146(6):1408-16; discussion 1416-7. doi: 10.1016/j.jtcvs.2013.07.070. Epub 2013 Sep 24.