Suppr超能文献

主动脉瓣环扩张症心脏手术后出现临床明显的房间隔缺损:一例报告

Atrial septal defect becoming clinically evident after cardiac surgery for annuloaortic ectasia: a case report.

作者信息

Meguro Kentaro, Koitabashi Toshimi, Fujita Teppei, Ako Junya

机构信息

Department of Cardiovascular Medicine, Kitasato University, 1-15-1 Kitasato, Minami-ku, Sagamihara, Kanagawa 252-0374, Japan.

出版信息

Eur Heart J Case Rep. 2024 Jun 18;8(7):ytae299. doi: 10.1093/ehjcr/ytae299. eCollection 2024 Jul.

Abstract

BACKGROUND

Right ventricular volume overload is the key finding in a patient with previously undiagnosed atrial septal defect (ASD).

CASE SUMMARY

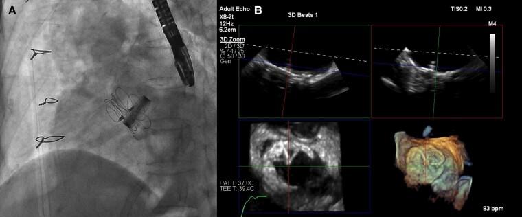
A 68-year-old female was referred to our hospital due to progressive pulmonary artery dilatation observed on her chest X-ray. Echocardiography revealed a secundum ASD with right ventricular dilatation. She had undergone aortic root replacement and aortic valve replacement for annuloaortic ectasia and aortic insufficiency 12 years prior to the diagnosis. She was also diagnosed with Marfan syndrome, which was supported by family histories. Computed tomography did not show a secundum ASD before the surgery. We finally closed the secundum ASD with catheter closure device.

DISCUSSION

Ascending aneurysm might mask the presence of secundum ASD. Monitoring the change in pulmonary artery dilatation overtime is useful for the diagnosing secundum ASD.

摘要

背景

右心室容量负荷过重是既往未诊断出的房间隔缺损(ASD)患者的关键表现。

病例摘要

一名68岁女性因胸部X线检查发现肺动脉进行性扩张而转诊至我院。超声心动图显示继发孔型ASD伴右心室扩张。她在诊断前12年因主动脉根部扩张和主动脉瓣关闭不全接受了主动脉根部置换和主动脉瓣置换术。她还被诊断出患有马凡综合征,家族史支持这一诊断。术前计算机断层扫描未显示继发孔型ASD。我们最终使用导管封堵装置闭合了继发孔型ASD。

讨论

升主动脉瘤可能掩盖继发孔型ASD的存在。长期监测肺动脉扩张的变化对诊断继发孔型ASD很有用。

https://cdn.ncbi.nlm.nih.gov/pmc/blobs/a36f/11220655/18ef7efb439d/ytae299f1.jpg

文献AI研究员

20分钟写一篇综述,助力文献阅读效率提升50倍。

立即体验

用中文搜PubMed

大模型驱动的PubMed中文搜索引擎

马上搜索

文档翻译

学术文献翻译模型,支持多种主流文档格式。

立即体验