Suppr超能文献

一名新生儿的无脑回畸形与晚期先天性巨细胞病毒感染

Lissencephaly and Advanced-Stage Congenital Cytomegalovirus Infection in a Neonate.

作者信息

Manalac Ahmira Jade E, Lytle Erika, Khan Liaqat, George Koshy

机构信息

Pediatrics and Neonatology, Edward Via College of Osteopathic Medicine, Monroe, USA.

Pediatrics, Edward Via College of Osteopathic Medicine, Monroe, USA.

出版信息

Cureus. 2024 Jun 3;16(6):e61576. doi: 10.7759/cureus.61576. eCollection 2024 Jun.

Abstract

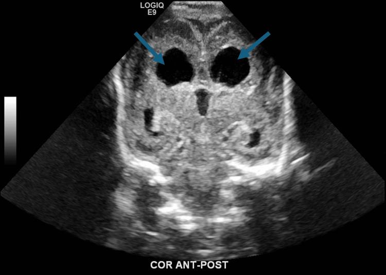
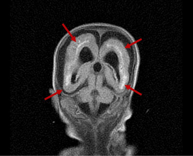
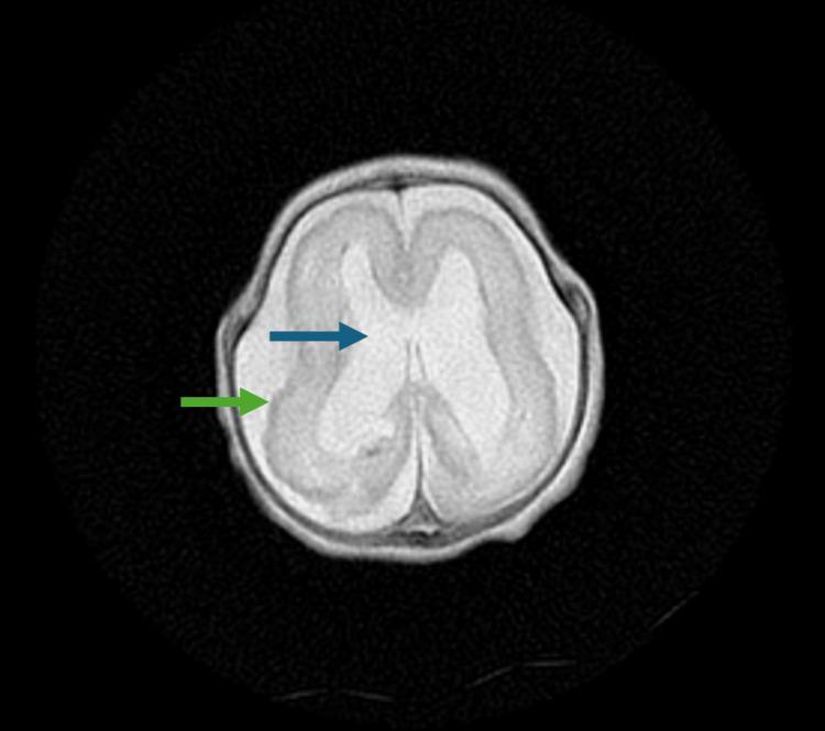
This case report investigates the management of a 24-week-old neonate with congenital cytomegalovirus (CMV) infection and its sequelae, including severe intrauterine growth restriction, thrombocytopenia, and brain anomalies, ultimately progressing to lissencephaly. The diagnostic challenges included delayed clinical suspicion of congenital CMV, which was not identified until after delivery through CMV DNA polymerase chain reaction, and differentiating its symptoms from other potential causes of the neonate's condition. Aggressive interventions included antibiotics, antiviral therapy with ganciclovir, and supportive measures such as intubation, CPR, respiratory support, blood transfusions, and management of coagulopathy. Despite these efforts, the patient deteriorated due to progressive hypoperfusion, hypoxemic cardiorespiratory failure, and disseminated intravascular coagulopathy. Due to the poor prognosis and extent of multiorgan damage, support was withdrawn per parental consent. This case highlights the complications encountered when managing an advanced-stage neonatal CMV infection and emphasizes the importance of a multidisciplinary and holistic approach to guide diagnosis and treatment.

摘要

本病例报告探讨了一名24周大先天性巨细胞病毒(CMV)感染新生儿及其后遗症的治疗情况,这些后遗症包括严重的宫内生长受限、血小板减少症和脑异常,最终发展为无脑回畸形。诊断面临的挑战包括先天性CMV的临床怀疑延迟,直到分娩后通过CMV DNA聚合酶链反应才得以确诊,以及将其症状与新生儿病情的其他潜在病因相区分。积极的干预措施包括使用抗生素、更昔洛韦抗病毒治疗,以及诸如插管、心肺复苏、呼吸支持、输血和凝血病管理等支持措施。尽管采取了这些措施,患者仍因进行性低灌注、低氧性心肺衰竭和弥散性血管内凝血而病情恶化。由于预后不良和多器官损伤程度严重,经家长同意停止了支持治疗。本病例突出了晚期新生儿CMV感染治疗中遇到的并发症,并强调了多学科整体方法在指导诊断和治疗方面的重要性。

https://cdn.ncbi.nlm.nih.gov/pmc/blobs/2de3/11221500/33bf8d0e7a39/cureus-0016-00000061576-i01.jpg

相似文献

1
Lissencephaly and Advanced-Stage Congenital Cytomegalovirus Infection in a Neonate.
Cureus. 2024 Jun 3;16(6):e61576. doi: 10.7759/cureus.61576. eCollection 2024 Jun.
4
Congenital Cytomegalovirus Pneumonitis and Treatment Response Evaluation Using Viral Load during Ganciclovir Therapy: a Case Report.
Jpn J Infect Dis. 2018 Jul 24;71(4):309-311. doi: 10.7883/yoken.JJID.2017.577. Epub 2018 Apr 27.
5
Congenital Cytomegalovirus in a Resource-Limited Setting: A Case Report.
Cureus. 2024 Jun 21;16(6):e62844. doi: 10.7759/cureus.62844. eCollection 2024 Jun.
6
Refractory Ileal Perforations in a Cytomegalovirus-Infected Premature Neonate Resolved After Ganciclovir Therapy.
Front Pediatr. 2020 Jul 14;8:352. doi: 10.3389/fped.2020.00352. eCollection 2020.
7
Prevention and treatment of fetal cytomegalovirus infection with cytomegalovirus hyperimmune globulin: a multicenter study in Madrid.
J Matern Fetal Neonatal Med. 2019 Feb;32(4):617-625. doi: 10.1080/14767058.2017.1387890. Epub 2017 Oct 26.
8
Congenital Cytomegalovirus.
Adv Neonatal Care. 2016 Feb;16(1):60-5. doi: 10.1097/ANC.0000000000000242.
9
Death from human cytomegalovirus infection in a girl with congenital thymic dysplasia.
Virol J. 2022 Nov 8;19(1):179. doi: 10.1186/s12985-022-01915-x.
10
Congenital cytomegalovirus infection in pregnancy: a review of prevalence, clinical features, diagnosis and prevention.
Aust N Z J Obstet Gynaecol. 2016 Feb;56(1):9-18. doi: 10.1111/ajo.12408. Epub 2015 Sep 22.

本文引用的文献

1
Congenital cytomegalovirus infection: the state of the art and future perspectives.
Front Pediatr. 2023 Nov 16;11:1276912. doi: 10.3389/fped.2023.1276912. eCollection 2023.
2
Treatment of congenital cytomegalovirus infection.
Clin Exp Pediatr. 2023 Sep;66(9):384-394. doi: 10.3345/cep.2022.01032. Epub 2022 Dec 28.
3
Congenital cytomegalovirus infection diagnostics and management.
Curr Opin Infect Dis. 2022 Oct 1;35(5):436-441. doi: 10.1097/QCO.0000000000000874. Epub 2022 Aug 19.
5
Congenital Cytomegalovirus Infection: Update on Diagnosis and Treatment.
Microorganisms. 2020 Oct 1;8(10):1516. doi: 10.3390/microorganisms8101516.
6
Congenital cytomegalovirus infection in pregnancy and the neonate: consensus recommendations for prevention, diagnosis, and therapy.
Lancet Infect Dis. 2017 Jun;17(6):e177-e188. doi: 10.1016/S1473-3099(17)30143-3. Epub 2017 Mar 11.
7
A Targeted Approach for Congenital Cytomegalovirus Screening Within Newborn Hearing Screening.
Pediatrics. 2017 Feb;139(2). doi: 10.1542/peds.2016-2128. Epub 2017 Jan 3.
8
Safety and efficacy of a cytomegalovirus glycoprotein B (gB) vaccine in adolescent girls: A randomized clinical trial.
Vaccine. 2016 Jan 12;34(3):313-9. doi: 10.1016/j.vaccine.2015.11.056. Epub 2015 Dec 2.
9
Valganciclovir for symptomatic congenital cytomegalovirus disease.
N Engl J Med. 2015 Mar 5;372(10):933-43. doi: 10.1056/NEJMoa1404599.
10
Systematic review of the birth prevalence of congenital cytomegalovirus infection in developing countries.
Int J Infect Dis. 2014 May;22:44-8. doi: 10.1016/j.ijid.2013.12.010. Epub 2014 Mar 12.

文献AI研究员

20分钟写一篇综述,助力文献阅读效率提升50倍。

立即体验

用中文搜PubMed

大模型驱动的PubMed中文搜索引擎

马上搜索

文档翻译

学术文献翻译模型,支持多种主流文档格式。

立即体验