Suppr超能文献

酷似神经内分泌肿瘤的肠系膜Castleman病

Mesenteric Castleman Disease Mimicking Neuroendocrine Tumor.

作者信息

K A Manjesh, Kota Sreedhar Rao, Mudigonda Narender, Kumar Gokul, Abuji Kishore

机构信息

General Surgery, ESIC (Employee's State Insurance Corporation) Medical College, Hyderabad, IND.

General Surgery, ESIC (Employee's State Insurance Corporation) Hospital, Hyderabad, IND.

出版信息

Cureus. 2024 Jun 2;16(6):e61549. doi: 10.7759/cureus.61549. eCollection 2024 Jun.

Abstract

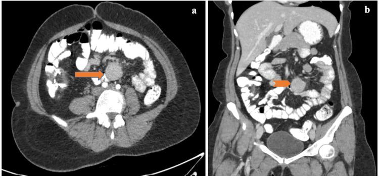
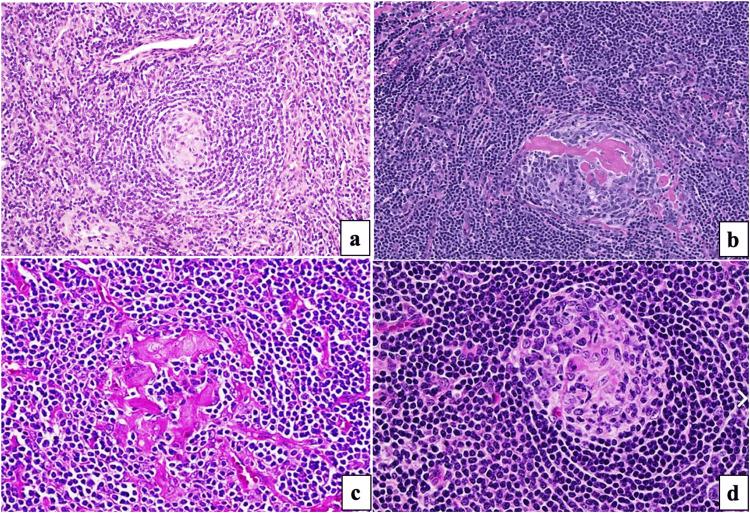
Castleman disease (CD) is a benign lymphoproliferative disorder of unknown etiology, which can involve any part of the body. CD can involve a single lymph node (unicentric) or multiple lymph nodes (multicentric) of which unicentric CD is the most common type. The unicentric CD is usually localized, asymptomatic, and often appears as an incidental mass on radiographs, whereas multicentric CD is characterized by systemic involvement. Mesenteric involvement of CD is very rare. In this article, we present a case of the unicentric CD of small bowel mesentery, which mimicked a neuroendocrine tumor preoperatively.

摘要

Castleman病(CD)是一种病因不明的良性淋巴增生性疾病,可累及身体的任何部位。CD可累及单个淋巴结(单中心型)或多个淋巴结(多中心型),其中单中心型CD最为常见。单中心型CD通常局限、无症状,在X线片上常表现为偶然发现的肿块,而多中心型CD的特点是全身受累。CD累及肠系膜非常罕见。在本文中,我们报告一例小肠系膜单中心型CD病例,该病例术前误诊为神经内分泌肿瘤。

https://cdn.ncbi.nlm.nih.gov/pmc/blobs/f667/11219578/47db57928185/cureus-0016-00000061549-i01.jpg

文献AI研究员

20分钟写一篇综述,助力文献阅读效率提升50倍。

立即体验

用中文搜PubMed

大模型驱动的PubMed中文搜索引擎

马上搜索

文档翻译

学术文献翻译模型,支持多种主流文档格式。

立即体验