Suppr超能文献

大鼠模型中不同位置输尿管手术结扎对肾脏的长期影响。

Effects of the Surgical Ligation of the Ureter in Different Locations on the Kidney over Time in the Rat Model.

作者信息

Mohammadi Abdolreza, Zareian Baghdadabad Leila, Zahmatkesh Parisa, Moradi Tabriz Hedieh, Khajavi Alireza, Mesbah Gholamreza, Nikoofar Parsa, Aghamir Seyed Mohammad Kazem

机构信息

Urology Research Center, Tehran University of Medical Sciences, Tehran, Iran.

Department of Pathology, Sina Hospital, Tehran University of Medical Sciences, Tehran, Iran.

出版信息

Adv Urol. 2024 Jun 6;2024:6611081. doi: 10.1155/2024/6611081. eCollection 2024.

Abstract

PURPOSE

To evaluate the effects of the surgical ligation of the ureter in different locations on the kidney over time in the rat model.

METHODS

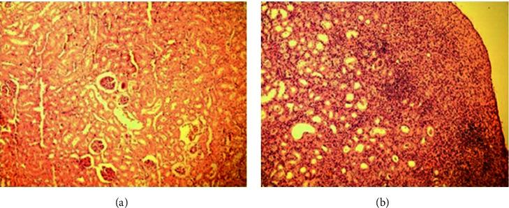
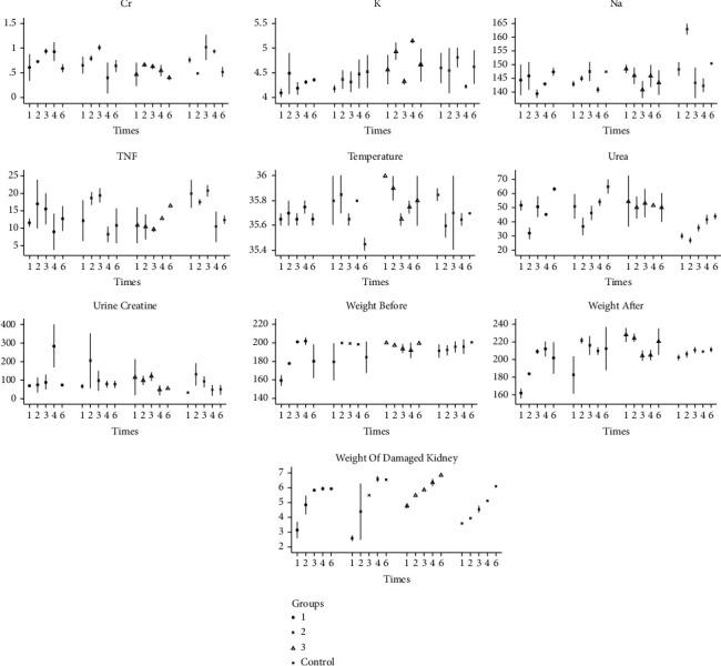
A total of 155 rats were enrolled and randomly divided into the case ( = 150) and control ( = 5) groups. The case group included three separate groups (fifty rats in each group) that underwent surgical ureteral ligation at the proximal, middle, and distal ureter. The laboratory tests, and tumor necrosis factor (TNF-), were measured in groups. The pathological evaluation for glomerular changes, tubular dilation, interstitial fibrosis, and interstitial infiltration of the inflammatory cells following the obstruction was performed (severity of tubular atrophy categorized too mild (+), moderate (++), and severe (+++)). To compare the continuous variables between the groups and between the measurement times, the analysis of variance (ANOVA) was used.

RESULTS

Our results revealed that the creatinine four weeks after the obstruction was significantly higher in the proximal group obstruction ( value: 0.046). The three groups had no significant differences regarding urine creatinine, serum sodium, and serum TNF ( value: 0.261). Obstruction did not change the glomerular morphology in three intervention groups after six weeks. The commencing of severe tubular atrophy in proximal, middle, and distal ureteral obstruction was at weeks three, four, and six, respectively.

CONCLUSION

The location of ureteral obstruction is also crucial in deciding to intervene to relieve the complete ureteral obstruction. Severe tubular damage occurs in weeks three, four, and six in proximal, middle, and distal ureteral obstruction, respectively.

摘要

目的

在大鼠模型中评估输尿管不同部位手术结扎对肾脏的长期影响。

方法

共纳入155只大鼠,随机分为病例组(n = 150)和对照组(n = 5)。病例组包括三个独立的组(每组50只大鼠),分别在输尿管近端、中段和远端进行手术结扎。对各组进行实验室检查,并检测肿瘤坏死因子(TNF-)。对梗阻后肾小球变化、肾小管扩张、间质纤维化和炎性细胞间质浸润进行病理评估(肾小管萎缩严重程度分为轻度(+)、中度(++)和重度(+++))。为比较组间及测量时间点之间的连续变量,采用方差分析(ANOVA)。

结果

我们的结果显示,梗阻后四周近端组梗阻的肌酐水平显著更高(P值:0.046)。三组在尿肌酐、血清钠和血清TNF方面无显著差异(P值:0.261)。六周后,三个干预组的肾小球形态均未改变。近端、中段和远端输尿管梗阻分别在第3周、第4周和第6周开始出现严重肾小管萎缩。

结论

输尿管梗阻的部位对于决定是否进行干预以解除完全性输尿管梗阻也至关重要。近端、中段和远端输尿管梗阻分别在第3周、第4周和第6周出现严重肾小管损伤。

https://cdn.ncbi.nlm.nih.gov/pmc/blobs/a45a/11221982/d0bf73450422/AU2024-6611081.001.jpg

文献AI研究员

20分钟写一篇综述,助力文献阅读效率提升50倍。

立即体验

用中文搜PubMed

大模型驱动的PubMed中文搜索引擎

马上搜索

文档翻译

学术文献翻译模型,支持多种主流文档格式。

立即体验