Suppr超能文献

肺结核病例中多例拉斯姆森动脉瘤所致复发性咯血的成功血管内治疗:罕见病例情况

Successful Endovascular Management of Recurrent Hemoptysis due to Multiple Rasmussen Aneurysms in a Case of Pulmonary Tuberculosis: A Rare Case Scenario.

作者信息

Devkota Shritik, Bhujade Harish, Baloji Abhiman, Prabhakar Nidhi, Saroch Atul, Gorsi Ujjwal

机构信息

Department of Radiodiagnosis and Imaging, Post Graduate Institute of Medical Education & Research, Chandigarh, India.

Department of Internal Medicine, Post Graduate Institute of Medical Education & Research, Chandigarh, India.

出版信息

Acta Med Litu. 2024;31(1):194-199. doi: 10.15388/Amed.2024.31.1.25. Epub 2024 Feb 27.

Abstract

BACKGROUND

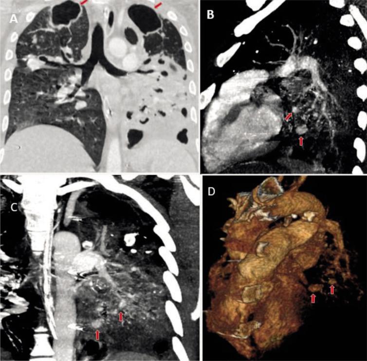
Hemoptysis is defined as coughing out of blood. Pulmonary tuberculosis is the most common cause of hemoptysis in tuberculosis-endemic countries like India. Rasmussen aneurysm is a pseudoaneurysm arising from the pulmonary artery adjacent to or within a tuberculous cavity. Chest radiographs, chest computed tomography angiography (CTA), and digital subtraction angiography (DSA) are the imaging tools for evaluating a case of hemoptysis.

CASE

A 32-year-old man with a history of pulmonary tuberculosis presented with complaints of recurrent hemoptysis. On imaging evaluation, multiple pulmonary artery pseudoaneurysms were seen in the left lung. The patient was shifted to the DSA lab and the pseudoaneurysms were subsequently treated by endovascular coil embolization. Hemoptysis resolved following the procedure and the patient was again started on anti-tubercular therapy.

CONCLUSION

Endovascular coiling is minimally invasive, safe, and effective management of multiple Rasmussen aneurysms for preventing possible torrential blood loss and unfortunate death.

摘要

背景

咯血定义为咳出血液。在印度等结核病流行国家,肺结核是咯血最常见的原因。拉斯穆森动脉瘤是一种起源于结核空洞附近或内部肺动脉的假性动脉瘤。胸部X线片、胸部计算机断层血管造影(CTA)和数字减影血管造影(DSA)是评估咯血病例的影像学工具。

病例

一名有肺结核病史的32岁男性因反复咯血前来就诊。影像学评估显示左肺有多个肺动脉假性动脉瘤。患者被转移至DSA实验室,随后通过血管内弹簧圈栓塞术治疗假性动脉瘤。术后咯血症状消失,患者再次开始抗结核治疗。

结论

血管内弹簧圈栓塞术是一种微创、安全且有效的治疗多发性拉斯穆森动脉瘤的方法,可预防可能的大出血和不幸死亡。

https://cdn.ncbi.nlm.nih.gov/pmc/blobs/927e/11227676/7dbf641eedd5/amed-31-194-g001.jpg

文献检索

告别复杂PubMed语法,用中文像聊天一样搜索,搜遍4000万医学文献。AI智能推荐,让科研检索更轻松。

立即免费搜索

文件翻译

保留排版,准确专业,支持PDF/Word/PPT等文件格式,支持 12+语言互译。

免费翻译文档

深度研究

AI帮你快速写综述,25分钟生成高质量综述,智能提取关键信息,辅助科研写作。

立即免费体验