• 文献检索
  • 文档翻译
  • 深度研究
  • 学术资讯
  • Suppr Zotero 插件Zotero 插件
  • 邀请有礼
  • 套餐&价格
  • 历史记录
应用&插件
Suppr Zotero 插件Zotero 插件浏览器插件Mac 客户端Windows 客户端微信小程序
定价
高级版会员购买积分包购买API积分包
服务
文献检索文档翻译深度研究API 文档MCP 服务
关于我们
关于 Suppr公司介绍联系我们用户协议隐私条款
关注我们

Suppr 超能文献

核心技术专利:CN118964589B侵权必究
粤ICP备2023148730 号-1Suppr @ 2026

文献检索

告别复杂PubMed语法,用中文像聊天一样搜索,搜遍4000万医学文献。AI智能推荐,让科研检索更轻松。

立即免费搜索

文件翻译

保留排版,准确专业,支持PDF/Word/PPT等文件格式,支持 12+语言互译。

免费翻译文档

深度研究

AI帮你快速写综述,25分钟生成高质量综述,智能提取关键信息,辅助科研写作。

立即免费体验

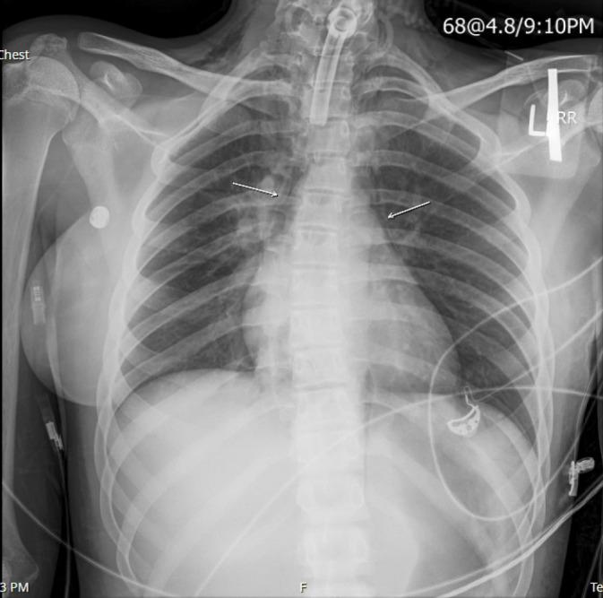
胸部X光在儿科患者气管切开置管中的应用价值。

Utility of chest x-ray for tracheostomy tube placement in pediatric patients.

作者信息

Zhao Oliver S, Peterson April, Patel Kalpnaben, Wilcox Lyndy

机构信息

Department of Otolaryngology: Head and Neck Surgery Vanderbilt University Medical Center Nashville Tennessee USA.

出版信息

Laryngoscope Investig Otolaryngol. 2024 Jul 9;9(4):e1302. doi: 10.1002/lio2.1302. eCollection 2024 Aug.

DOI:10.1002/lio2.1302
PMID:38984073
原文链接:https://pmc.ncbi.nlm.nih.gov/articles/PMC11231926/
Abstract

OBJECTIVE

To evaluate the utility of ordering chest x-rays after pediatric tracheostomy tube placement in identifying acute, post-operative complications and how it impacts clinical decision-making.

METHODS

In this retrospective cohort study, we identified tracheostomies performed in 139 pediatric patients through CPT codes over a 5-year period from 2013 to 2018. Manual chart review was performed for demographic and clinical characteristics, pre-procedure and post-procedure chest x-ray interpretations, and the presence of complications. Each complication was reviewed to see if action was taken due to post-procedure chest x-ray findings. Multivariable logistic regression was performed to determine associations with changes in pre-procedure versus post-procedure chest x-rays.

RESULTS

In a cohort of 139 pediatric patients with pre-procedure and post-procedure chest x-rays, 40 (28.8%) of patients had new significant post-procedure chest x-ray findings compared to pre-procedure chest x-ray findings. Of these 40 instances of changes in pre-procedure versus post-procedure chest x-ray findings, only eight resulted in action being taken due to the observed findings. Among these eight instances of action being taken, only one instance involved in invasive action being taken with a bronchoscopy. With multivariable regression analysis, patient age, race, gender, and the presences of genetic syndromes, were not found to be significant risk factors in predicting changes in pre-procedure versus post-procedure chest x-ray.

CONCLUSION

In our study, post-procedure chest x-ray after tracheostomy tube placement did not significantly impact clinical decision making. It may be worth reconsidering the value in routine chest x-rays after tracheostomy tube placement in pediatric patients.

摘要

目的

评估小儿气管切开术后进行胸部X光检查在识别急性术后并发症方面的效用,以及其如何影响临床决策。

方法

在这项回顾性队列研究中,我们通过CPT编码确定了2013年至2018年5年间139例小儿患者所进行的气管切开术。对人口统计学和临床特征、术前和术后胸部X光检查结果以及并发症的存在情况进行了人工病历审查。对每种并发症进行审查,以查看是否因术后胸部X光检查结果而采取了行动。进行多变量逻辑回归以确定术前与术后胸部X光变化之间的关联。

结果

在一组有术前和术后胸部X光检查的139例小儿患者中,与术前胸部X光检查结果相比,40例(28.8%)患者术后胸部X光检查有新的显著发现。在这40例术前与术后胸部X光检查结果变化的情况中,只有8例因观察到的结果而采取了行动。在这8例采取行动的情况中,只有1例涉及通过支气管镜进行的侵入性操作。通过多变量回归分析,未发现患者年龄、种族、性别和遗传综合征的存在是预测术前与术后胸部X光变化的显著风险因素。

结论

在我们的研究中,气管切开术后的胸部X光检查对临床决策没有显著影响。可能值得重新考虑小儿患者气管切开术后常规胸部X光检查的价值。

https://cdn.ncbi.nlm.nih.gov/pmc/blobs/1a6e/11231926/1f8b307a7563/LIO2-9-e1302-g002.jpg
https://cdn.ncbi.nlm.nih.gov/pmc/blobs/1a6e/11231926/1f8b307a7563/LIO2-9-e1302-g002.jpg
https://cdn.ncbi.nlm.nih.gov/pmc/blobs/1a6e/11231926/1f8b307a7563/LIO2-9-e1302-g002.jpg

相似文献

1
Utility of chest x-ray for tracheostomy tube placement in pediatric patients.胸部X光在儿科患者气管切开置管中的应用价值。
Laryngoscope Investig Otolaryngol. 2024 Jul 9;9(4):e1302. doi: 10.1002/lio2.1302. eCollection 2024 Aug.
2
Is routine chest X-ray after surgical and percutaneous tracheostomy necessary in adults: a systemic review of the current literature.成人外科和经皮气切术后常规胸部 X 光检查是否必要:对当前文献的系统回顾。
Clin Otolaryngol. 2014 Apr;39(2):79-88. doi: 10.1111/coa.12233.
3
The role of postoperative chest radiography in pediatric tracheotomy.术后胸部X线摄影在小儿气管切开术中的作用。
Int J Pediatr Otorhinolaryngol. 2001 Jul 30;60(1):41-7. doi: 10.1016/s0165-5876(01)00505-5.
4
Comparison of tracheoscopy and portable chest X-Ray in the evaluation of infant tracheostomy tube position.经支气管镜与便携式胸部 X 光在评估婴儿气管造口管位置中的比较。
Int J Pediatr Otorhinolaryngol. 2021 Feb;141:110566. doi: 10.1016/j.ijporl.2020.110566. Epub 2020 Dec 15.
5
Routine chest X-ray after percutaneous tracheostomy is unnecessary.经皮气管切开术后无需常规进行胸部X光检查。
Am Surg. 2005 Jan;71(1):51-3. doi: 10.1177/000313480507100109.
6
Do X-rays after chest tube removal change patient management?拔除胸管后进行的X光检查会改变患者的治疗方案吗?
J Pediatr Surg. 2017 May;52(5):813-815. doi: 10.1016/j.jpedsurg.2017.01.047. Epub 2017 Jan 30.
7
The diagnostic yield and clinical impact of a chest X-ray after percutaneous dilatational tracheostomy: a prospective cohort study.经皮扩张气管切开术后胸部X线检查的诊断收益及临床影响:一项前瞻性队列研究
Anaesth Intensive Care. 2007 Jun;35(3):393-7. doi: 10.1177/0310057X0703500313.
8
Evaluation of the Clinical Utility of Routine Daily Chest Radiography in Intensive Care Unit Patients With Tracheostomy Tubes: A Retrospective Review.重症监护病房中带气管造口管患者常规每日胸部X线摄影的临床效用评估:一项回顾性研究。
J Intensive Care Med. 2016 Jun;31(5):333-7. doi: 10.1177/0885066614538393. Epub 2014 Jun 10.
9
Chest X-ray after tracheostomy is not necessary unless clinically indicated.除非临床需要,否则气管切开术后无需进行胸部 X 光检查。
World J Surg. 2012 Feb;36(2):266-9. doi: 10.1007/s00268-011-1380-4.
10
The efficacy of X-rays after chest tube removal.
Am J Surg. 2000 Jan;179(1):13-6. doi: 10.1016/s0002-9610(99)00260-3.

本文引用的文献

1
Complications of tracheostomy in children: a systematic review.儿童气管切开术的并发症:一项系统评价。
Braz J Otorhinolaryngol. 2022 Nov-Dec;88(6):882-890. doi: 10.1016/j.bjorl.2020.12.006. Epub 2020 Dec 30.
2
Indications and outcomes of paediatric tracheotomy: a descriptive study using a Japanese claims database.小儿气管切开术的适应症与结局:一项使用日本索赔数据库的描述性研究。
BMJ Open. 2019 Dec 17;9(12):e031816. doi: 10.1136/bmjopen-2019-031816.
3
Tracheostomy in Infants and Children.婴幼儿气管切开术
Respir Care. 2017 Jun;62(6):799-825. doi: 10.4187/respcare.05366.
4
Characterizing mortality in pediatric tracheostomy patients.儿科气管造口术患者死亡率特征分析。
Laryngoscope. 2017 Jul;127(7):1701-1706. doi: 10.1002/lary.26361. Epub 2016 Nov 3.
5
Pediatric tracheostomy: Survival and long-term outcomes.
Int J Pediatr Otorhinolaryngol. 2016 Oct;89:81-5. doi: 10.1016/j.ijporl.2016.07.033. Epub 2016 Jul 28.
6
Two-year mortality, complications, and healthcare use in children with medicaid following tracheostomy.医疗补助计划覆盖的儿童气管切开术后的两年死亡率、并发症及医疗保健利用情况
Laryngoscope. 2016 Nov;126(11):2611-2617. doi: 10.1002/lary.25972. Epub 2016 Apr 5.
7
Evaluation of the Clinical Utility of Routine Daily Chest Radiography in Intensive Care Unit Patients With Tracheostomy Tubes: A Retrospective Review.重症监护病房中带气管造口管患者常规每日胸部X线摄影的临床效用评估:一项回顾性研究。
J Intensive Care Med. 2016 Jun;31(5):333-7. doi: 10.1177/0885066614538393. Epub 2014 Jun 10.
8
Is routine chest X-ray after surgical and percutaneous tracheostomy necessary in adults: a systemic review of the current literature.成人外科和经皮气切术后常规胸部 X 光检查是否必要:对当前文献的系统回顾。
Clin Otolaryngol. 2014 Apr;39(2):79-88. doi: 10.1111/coa.12233.
9
Chest X-ray after tracheostomy is not necessary unless clinically indicated.除非临床需要,否则气管切开术后无需进行胸部 X 光检查。
World J Surg. 2012 Feb;36(2):266-9. doi: 10.1007/s00268-011-1380-4.
10
Utility of routine postoperative chest radiography in pediatric tracheostomy.小儿气管切开术后常规胸部X线摄影的效用
Int J Pediatr Otorhinolaryngol. 2010 Dec;74(12):1397-400. doi: 10.1016/j.ijporl.2010.09.017. Epub 2010 Oct 16.