Suppr超能文献

颅内双灶性生殖细胞瘤一例独特病例。

A Unique Case of Intracranial Bifocal Germinoma.

作者信息

Chetana Naga Sai Tarani, Narayanan Ramakrishna, Uppin Megha S, Kanala Ramanadha Reddy

机构信息

Radiology, Nizam's Institute of Medical Sciences, Hyderabad, IND.

Pathology, Nizam's Institute of Medical Sciences, Hyderabad, IND.

出版信息

Cureus. 2024 Jun 11;16(6):e62167. doi: 10.7759/cureus.62167. eCollection 2024 Jun.

Abstract

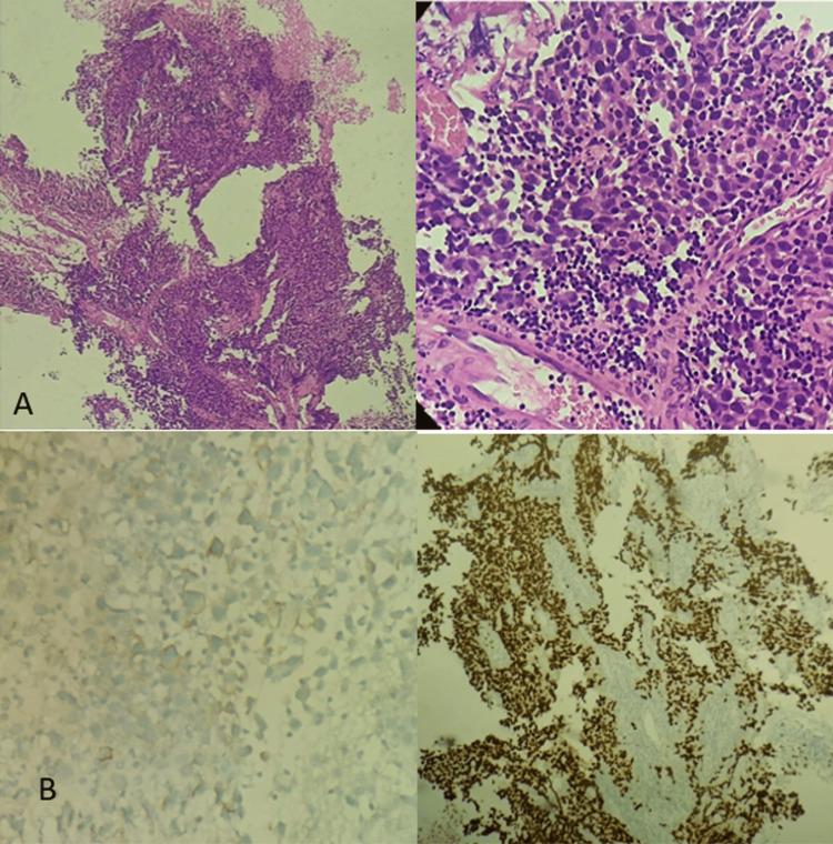
Primary intracranial germ cell tumors are rare tumors that often occur in children and young adults. We report a case of a 17-year-old male, who presented with vomiting, headache, and blurring of vision of the left eye on the temporal aspect for two months. His biological assessment showed panhypopituitarism. Serum markers showed elevated beta human chorionic gonadotropin and lactate dehydrogenase. A solid cystic lesion was noted on imaging, involving the sella, parasellar region, and pineal region with calcifications within. Diagnosis of bifocal germinoma was confirmed by tumor biopsy. The treatment protocol for the patient involved four cycles of chemotherapy using etoposide and carboplatin, followed by a course of radiotherapy.

摘要

原发性颅内生殖细胞肿瘤是罕见肿瘤,常发生于儿童和青年。我们报告一例17岁男性患者,其出现呕吐、头痛及左眼颞侧视力模糊症状达两个月。他的生物学评估显示全垂体功能减退。血清标志物显示β-人绒毛膜促性腺激素和乳酸脱氢酶升高。影像学检查发现一个实性囊性病变,累及鞍区、鞍旁区域及松果体区,内部有钙化。肿瘤活检确诊为双灶性生殖细胞瘤。该患者的治疗方案包括使用依托泊苷和顺铂进行四个周期的化疗,随后进行一个疗程的放疗。

https://cdn.ncbi.nlm.nih.gov/pmc/blobs/7bbf/11238755/140a2bb4a7fb/cureus-0016-00000062167-i01.jpg

文献检索

告别复杂PubMed语法,用中文像聊天一样搜索,搜遍4000万医学文献。AI智能推荐,让科研检索更轻松。

立即免费搜索

文件翻译

保留排版,准确专业,支持PDF/Word/PPT等文件格式,支持 12+语言互译。

免费翻译文档

深度研究

AI帮你快速写综述,25分钟生成高质量综述,智能提取关键信息,辅助科研写作。

立即免费体验