Suppr超能文献

伪装成肌炎的转移性膀胱尿路上皮癌

Metastatic Bladder Urothelial Carcinoma Masquerading as Myositis.

作者信息

Dilli Christopher, Mi William, Guzman Miguel A

机构信息

Department of Pathology, Saint Louis University, St. Louis, MO, USA.

出版信息

J Med Cases. 2024 Jul;15(7):130-135. doi: 10.14740/jmc4236. Epub 2024 Jun 19.

Abstract

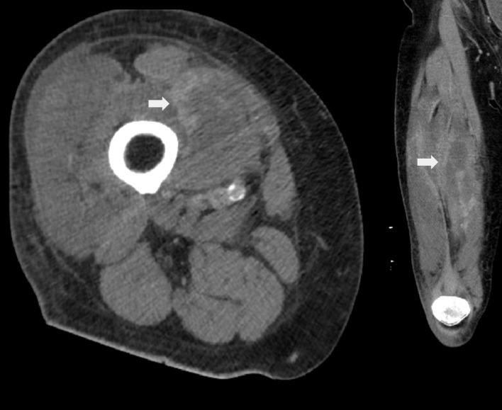
Skeletal muscle metastases are uncommon, and metastases of urothelial carcinoma to the skeletal muscle are particularly rare. The most common presentation of skeletal muscle metastases is a focal mass, but their clinical and radiographic findings can be diverse. We present an unusual case of a 71-year-old male without prior known history of malignancy who presented with skeletal muscle pain with imaging most consistent with an inflammatory or infectious process but was ultimately determined to be metastatic urothelial carcinoma from the bladder. This case demonstrates the need to keep an expanded differential for muscular pain, particularly when initial treatments are ineffective.

摘要

骨骼肌转移瘤并不常见,而尿路上皮癌转移至骨骼肌则尤为罕见。骨骼肌转移瘤最常见的表现是局灶性肿块,但其临床和影像学表现可能多种多样。我们报告一例罕见病例,一名71岁男性,既往无恶性肿瘤病史,因骨骼肌疼痛就诊,影像学检查结果最符合炎症或感染性病变,但最终确诊为膀胱尿路上皮癌转移。该病例表明,对于肌肉疼痛需要考虑更广泛的鉴别诊断,尤其是在初始治疗无效时。

https://cdn.ncbi.nlm.nih.gov/pmc/blobs/cbd1/11236334/6debae136457/jmc-15-130-g001.jpg

文献AI研究员

20分钟写一篇综述,助力文献阅读效率提升50倍。

立即体验

用中文搜PubMed

大模型驱动的PubMed中文搜索引擎

马上搜索

文档翻译

学术文献翻译模型,支持多种主流文档格式。

立即体验