Suppr超能文献

双能量CT在急性卒中中的应用:虚拟平扫CT能否取代平扫CT?一项可行性研究。

Dual-Energy CT in Acute Stroke: Could Non-Contrast CT Be Replaced by Virtual Non-Contrast CT? A Feasibility Study.

作者信息

Herpe Guillaume, Platon Alexandra, Poletti Pierre-Alexandre, Lövblad Karl O, Machi Paolo, Becker Minerva, Muster Michel, Perneger Thomas, Guillevin Rémy

机构信息

Emergency Radiology Unit, Division of Radiology, University Hospital of Geneva, 4 Rue Gabrielle-Perret-Gentil, 1205 Geneva, Switzerland.

DACTIM-MIS Lab, I3M, Poitiers University, 86021 Poitiers, France.

出版信息

J Clin Med. 2024 Jun 21;13(13):3647. doi: 10.3390/jcm13133647.

Abstract

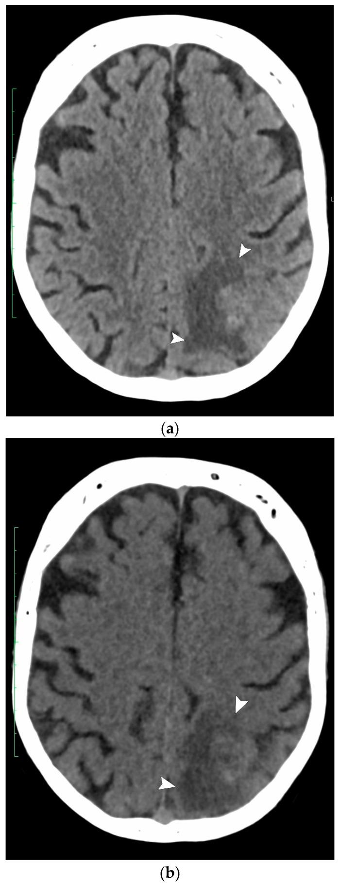
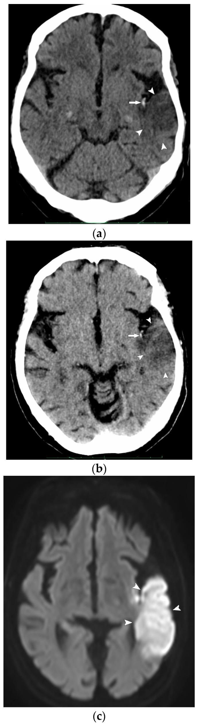
We aimed to evaluate whether virtual non-contrast cerebral computed tomography (VNCCT) reconstructed from intravenous contrast-enhanced dual-energy CT (iv-DECT) could replace non-contrast CT (NCCT) in patients with suspected acute cerebral ischemia. This retrospective study included all consecutive patients in whom NCCT followed by iv-DECT were performed for suspected acute ischemia in our emergency department over a 1-month period. The Alberta Stroke Program Early CT Score (ASPECTS) was used to determine signs of acute ischemia in the anterior and posterior circulation, the presence of hemorrhage, and alternative findings, which were randomly evaluated via the consensus reading of NCCT and VNCCT by two readers blinded to the final diagnosis. An intraclass correlation between VNCCT and NCCT was calculated for the ASPECTS values. Both techniques were evaluated for their ability to detect ischemic lesions (ASPECTS <10) when compared with the final discharge diagnosis (reference standard). Overall, 148 patients (80 men, mean age 64 years) were included, of whom 46 (30%) presented with acute ischemia, 6 (4%) presented with intracerebral hemorrhage, 11 (7%) had an alternative diagnosis, and 85 (59%) had no pathological findings. The intraclass correlation coefficients of the two modalities were 0.97 (0.96-0.98) for the anterior circulation and 0.77 (0.69-0.83) for the posterior circulation. The VNCCT's sensitivity for detecting acute ischemia was higher (41%, 19/46) than that of NCCT (33%, 15/46). Specificity was similar between the two techniques, at 94% (97/103) and 98% (101/103), respectively. Our results show that VNCCT achieved a similar diagnostic performance as NCCT and could, thus, replace NCCT in assessing patients with suspected acute cerebral ischemia.

摘要

我们旨在评估从静脉注射对比剂的双能量CT(iv-DECT)重建的虚拟非增强脑计算机断层扫描(VNCCT)能否替代疑似急性脑缺血患者的非增强CT(NCCT)。这项回顾性研究纳入了在1个月内于我们急诊科因疑似急性缺血而先后进行NCCT和iv-DECT检查的所有连续患者。使用阿尔伯塔卒中项目早期CT评分(ASPECTS)来确定前循环和后循环中急性缺血的征象、出血情况以及其他发现,由两名对最终诊断不知情的读者通过对NCCT和VNCCT的一致性解读进行随机评估。计算VNCCT和NCCT的ASPECTS值之间的组内相关性。将两种技术与最终出院诊断(参考标准)进行比较,评估它们检测缺血性病变(ASPECTS<10)的能力。总体而言,共纳入148例患者(80例男性,平均年龄64岁),其中46例(30%)出现急性缺血,6例(4%)出现脑出血,11例(7%)有其他诊断,85例(59%)无病理发现。两种模式在前循环的组内相关系数为0.97(0.96 - 0.98),后循环为0.77(0.69 - 0.83)。VNCCT检测急性缺血的敏感性高于NCCT,分别为41%(19/46)和33%(15/46)。两种技术的特异性相似,分别为94%(97/103)和98%(101/103)。我们的结果表明,VNCCT在诊断性能上与NCCT相似,因此在评估疑似急性脑缺血患者时可以替代NCCT。

https://cdn.ncbi.nlm.nih.gov/pmc/blobs/8ec7/11242297/772fe848c813/jcm-13-03647-g001.jpg

文献AI研究员

20分钟写一篇综述,助力文献阅读效率提升50倍。

立即体验

用中文搜PubMed

大模型驱动的PubMed中文搜索引擎

马上搜索

文档翻译

学术文献翻译模型,支持多种主流文档格式。

立即体验