Suppr超能文献

血清素影响大鼠胰岛素瘤 INS-1E 细胞的胰岛素分泌。

Serotonin Influences Insulin Secretion in Rat Insulinoma INS-1E Cells.

机构信息

East Coast Life Sciences Institute, College of Life Science, Gangneung-Wonju National University, Gangneung 25457, Republic of Korea.

Department of Marine Bioscience, College of Life Science, Gangneung-Wonju National University, Gangneung 25457, Republic of Korea.

出版信息

Int J Mol Sci. 2024 Jun 21;25(13):6828. doi: 10.3390/ijms25136828.

Abstract

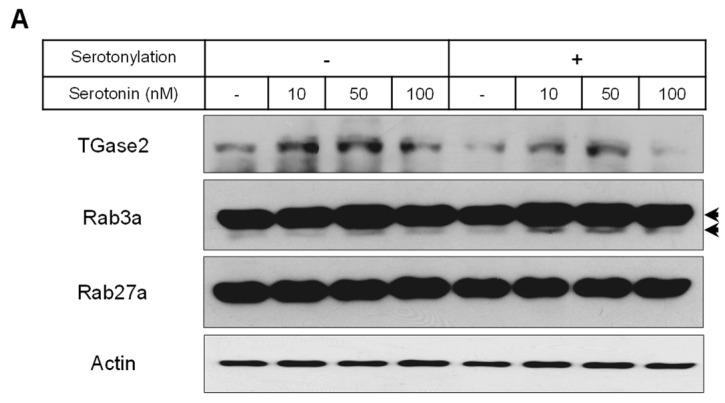
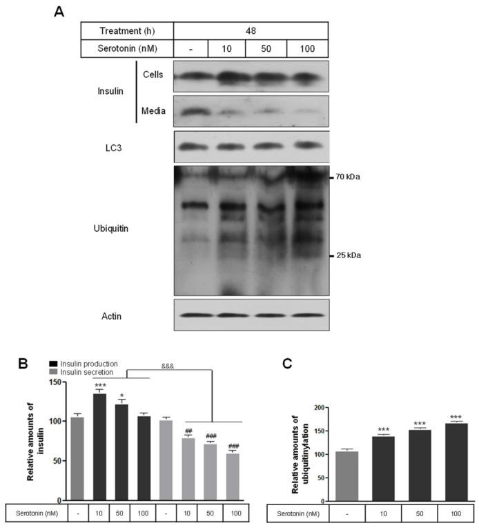
Serotonin or 5-hydroxytryptamine (5-HT) is a monoamine that plays a critical role in insulin secretion, energy metabolism, and mitochondrial biogenesis. However, the action of serotonin in insulin production and secretion by pancreatic β cells has not yet been elucidated. Here, we investigated how exogenous nanomolar serotonin concentrations regulate insulin synthesis and secretion in rat insulinoma INS-1E cells. Nanomolar serotonin concentrations (10 and 50 nM) significantly increased insulin protein expression above the constant levels in untreated control cells and decreased insulin protein levels in the media. The reductions in insulin protein levels in the media may be associated with ubiquitin-mediated protein degradation. The levels of membrane vesicle trafficking-related proteins including Rab5, Rab3A, syntaxin6, clathrin, and EEA1 proteins were significantly decreased by serotonin treatment compared to the untreated control cells, whereas the expressions of Rab27A, GOPC, and p-caveolin-1 proteins were significantly reduced by serotonin treatment. In this condition, serotonin receptors, Gαq-coupled 5-HT2b receptor (Htr2b), and ligand-gated ion channel receptor Htr3a were significantly decreased by serotonin treatment. To confirm the serotonylation of Rab3A and Rab27A during insulin secretion, we investigated the protein levels of Rab3A and Rab27A, in which transglutaminase 2 (TGase2) serotonylated Rab3A but not Rab27A. The increases in ERK phosphorylation levels were consistent with increases in the expression of p-Akt. Also, the expression level of the Bcl-2 protein was significantly increased by 50 and 100 nM serotonin treatment compared to the untreated control cells, whereas the levels of Cu/Zn-SOD and Mn-SOD proteins decreased. These results indicate that nanomolar serotonin treatment regulates the insulin protein level but decreases this level in media through membrane vesicle trafficking-related proteins (Rab5, Rab3A, syntaxin6, clathrin, and EEA1), the Akt/ERK pathway, and Htr2b/Htr3a in INS-1E cells.

摘要

血清素或 5-羟色胺(5-HT)是一种单胺,在胰岛素分泌、能量代谢和线粒体生物发生中起着关键作用。然而,血清素在胰岛β细胞胰岛素产生和分泌中的作用尚未阐明。在这里,我们研究了外源性纳摩尔浓度的血清素如何调节大鼠胰岛素瘤 INS-1E 细胞中的胰岛素合成和分泌。纳摩尔浓度的血清素(10 和 50 nM)显著增加了未处理对照细胞中恒定水平以上的胰岛素蛋白表达,并降低了培养基中的胰岛素蛋白水平。培养基中胰岛素蛋白水平的降低可能与泛素介导的蛋白降解有关。与未处理对照细胞相比,血清素处理后,膜囊泡转运相关蛋白(包括 Rab5、Rab3A、 syntaxin6、网格蛋白和 EEA1 蛋白)的水平显著降低,而 Rab27A、GOPC 和 p-caveolin-1 蛋白的表达则显著降低。在这种情况下,血清素处理后,血清素受体、Gαq 偶联 5-HT2b 受体(Htr2b)和配体门控离子通道受体 Htr3a 显著减少。为了确认胰岛素分泌过程中 Rab3A 和 Rab27A 的血清素化,我们研究了 Rab3A 和 Rab27A 的蛋白水平,其中转谷氨酰胺酶 2(TGase2)血清素化 Rab3A,但不血清素化 Rab27A。ERK 磷酸化水平的增加与 p-Akt 的表达增加一致。此外,与未处理对照细胞相比,50 和 100 nM 血清素处理后 Bcl-2 蛋白的表达水平显著增加,而 Cu/Zn-SOD 和 Mn-SOD 蛋白的水平降低。这些结果表明,纳摩尔浓度的血清素处理通过膜囊泡转运相关蛋白(Rab5、Rab3A、 syntaxin6、网格蛋白和 EEA1)、Akt/ERK 途径和 INS-1E 细胞中的 Htr2b/Htr3a 调节胰岛素蛋白水平,但通过调节胰岛素蛋白水平降低培养基中的胰岛素水平。

https://cdn.ncbi.nlm.nih.gov/pmc/blobs/21cd/11241493/db0ddaba0c97/ijms-25-06828-g001.jpg

文献检索

告别复杂PubMed语法,用中文像聊天一样搜索,搜遍4000万医学文献。AI智能推荐,让科研检索更轻松。

立即免费搜索

文件翻译

保留排版,准确专业,支持PDF/Word/PPT等文件格式,支持 12+语言互译。

免费翻译文档

深度研究

AI帮你快速写综述,25分钟生成高质量综述,智能提取关键信息,辅助科研写作。

立即免费体验