Suppr超能文献

无线路由器电磁辐射对成年雄性白化大鼠甲状腺的影响及维生素C与锌联合给药的可能保护作用

Effect of Electromagnetic Radiation of Wi-Fi Router on Thyroid Gland and the Possible Protective Role of Combined Vitamin C and Zinc Administration in Adult Male Albino Rats.

作者信息

Ibrahim Nancy Nagy Abd El-Hady, Estfanous Remon S, Abo-Alala Aml M, Elkattan Amal K, Amer Rabab Mohamed

机构信息

Department of Anatomy, Faculty of Medicine, Tanta University, Tanta, Egypt.

出版信息

J Microsc Ultrastruct. 2024 Apr 10;12(2):51-61. doi: 10.4103/jmau.jmau_121_23. eCollection 2024 Apr-Jun.

Abstract

INTRODUCTION

Electromagnetic radiation (EMR) is widely used nowadays in various fields due to rapid expansion of technology and affects different organs such as endocrine glands. Antioxidants protect the cells and act as a free radical scavenger.

AIM OF WORK

The aim of the study was to clarify the effect of EMR emitted from Wi-Fi router on the thyroid gland of adult male albino rats and the possible protective role of combined Vitamin C and zinc.

MATERIALS AND METHODS

Thirty adult male albino rats were divided into three groups: Group I (control group), Group II (received combined Vitamin C and Zinc in one tablet called IMMUNO-MASH), and Group III (experimental groups). Group III was divided into two subgroups (A and B) according to the duration of exposure: 6 h and 24 h/day. Each of these groups was divided into two equal subgroups. One was exposed only to EMR while the other was exposed to EMR and received combined Vitamin C and zinc. All rats were weighed at the beginning and at the end of the experiment. The thyroid gland was prepared for general histological, anti-calcitonin immunostaining, and ultrastructural study. Furthermore, measurement of total serum T3, T4, and thyroid-stimulating hormone (TSH) hormone levels and quantitative analysis of immunoreactive C-cells were done. Then, statistical analysis was done on the number of immunoreactive C-cells, data of the body weight, and the hormonal levels.

RESULTS

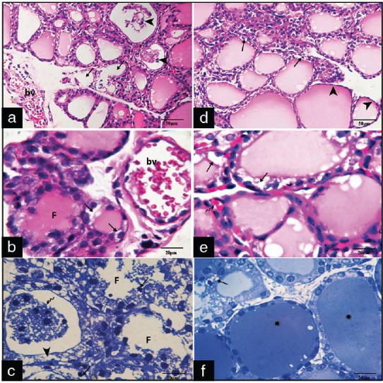
A highly significant increase in the body weight in subgroups exposed to EMR for 24 h/day was observed. Furthermore, they showed a highly significant decline in T3 and T4 levels together with a highly significant increase in TSH level. With increasing period of exposure, there was a variable degree of deterioration in the form of congestion and dilatation of blood vessels, cellular infiltration, follicular disintegration, vacuolar degeneration, and desquamated follicular cells in the colloid. The C-cells showed a significant increase in the mean number compared with the control group. Ultrastructural analysis of follicular cells revealed colloid droplets, deteriorations in rough endoplasmic reticulum, degenerating nuclei, and swollen mitochondria according to the dose of exposure. There was apparent improvement with the use of combined Vitamin C and zinc.

CONCLUSION

Wi-Fi radiation has a very serious effect on thyroid gland morphology and activity. Moreover, experimentally induced hypothyroidism by radiation resulted in increased C-cell number. Combined Vitamin C and zinc could have a protective role against this tissue damage.

摘要

引言

由于技术的迅速发展,电磁辐射(EMR)如今在各个领域得到广泛应用,并影响不同器官,如内分泌腺。抗氧化剂可保护细胞并充当自由基清除剂。

研究目的

本研究的目的是阐明无线路由器发出的电磁辐射对成年雄性白化大鼠甲状腺的影响以及维生素C和锌联合使用可能起到的保护作用。

材料与方法

30只成年雄性白化大鼠被分为三组:第一组(对照组),第二组(接受名为IMMUNO - MASH的一片剂形式的维生素C和锌联合制剂),第三组(实验组)。第三组根据暴露时长分为两个亚组(A和B):每天6小时和24小时。这些组中的每一组又被分为两个相等的亚组。一组仅暴露于电磁辐射,另一组暴露于电磁辐射并接受维生素C和锌联合制剂。所有大鼠在实验开始和结束时称重。制备甲状腺用于一般组织学、抗降钙素免疫染色和超微结构研究。此外,进行血清总T3、T4和促甲状腺激素(TSH)激素水平的测定以及免疫反应性C细胞的定量分析。然后,对免疫反应性C细胞数量、体重数据和激素水平进行统计分析。

结果

观察到每天暴露于电磁辐射24小时的亚组大鼠体重显著增加。此外,它们的T3和T4水平显著下降,TSH水平显著升高。随着暴露时间的增加,出现了不同程度的病变,表现为血管充血和扩张、细胞浸润、滤泡崩解、空泡变性以及胶体中滤泡细胞脱落。与对照组相比,C细胞的平均数量显著增加。滤泡细胞的超微结构分析显示,根据暴露剂量不同,出现胶体滴、粗面内质网退化、细胞核变性和线粒体肿胀。使用维生素C和锌联合制剂后有明显改善。

结论

Wi-Fi辐射对甲状腺的形态和活性有非常严重的影响。此外,辐射实验诱导的甲状腺功能减退导致C细胞数量增加。维生素C和锌联合使用可能对这种组织损伤起到保护作用。

https://cdn.ncbi.nlm.nih.gov/pmc/blobs/fa8d/11245130/e313c43e70c1/JMAU-12-51-g001.jpg

文献检索

告别复杂PubMed语法,用中文像聊天一样搜索,搜遍4000万医学文献。AI智能推荐,让科研检索更轻松。

立即免费搜索

文件翻译

保留排版,准确专业,支持PDF/Word/PPT等文件格式,支持 12+语言互译。

免费翻译文档

深度研究

AI帮你快速写综述,25分钟生成高质量综述,智能提取关键信息,辅助科研写作。

立即免费体验