Suppr超能文献

一例影像学正常的抗富含亮氨酸胶质瘤失活蛋白1(抗LGI1)边缘叶脑炎病例。

A Case of Anti-Leucine-Rich Glioma-Inactivated Protein 1 (Anti-LGI1) Limbic Encephalitis With Normal Imaging.

作者信息

Zatyko Kyle, Kim Yohan, Abdullah Muhammad S, Saenz Andres

机构信息

Neurology, University of Texas (UT) Health San Antonio, San Antonio, USA.

出版信息

Cureus. 2024 Jun 14;16(6):e62387. doi: 10.7759/cureus.62387. eCollection 2024 Jun.

Abstract

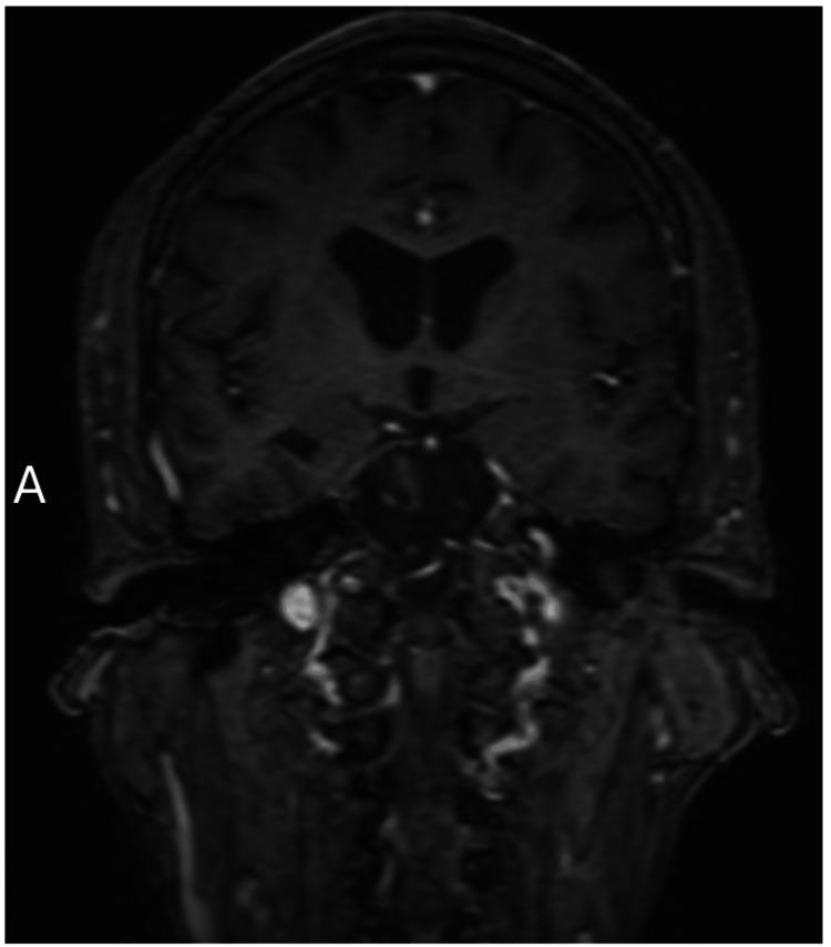
Anti-leucine-rich glioma-inactivated 1 limbic encephalitis (anti-LGI1 LE) is a rare autoimmune limbic encephalitis with a potentially misleading presentation that can delay diagnosis and treatment. The incremental progression of widely variable symptoms with a prominent behavioral disturbance can conceal the disease and prompt an initial psychiatric diagnosis. Although specific MRI findings ought to be evident by the time the disease progresses to frank limbic encephalitis, it appears inconsistent and ill-defined and is thus unreliable. Nevertheless, brain imaging remains prominent in the discussion, even included in some guidelines for diagnosing anti-LGI1 LE. Here, we present a case of a patient who presented after a suicide attempt with a long history of psychiatric issues, aberrant "spasms," and subsequently encephalopathy, who was eventually diagnosed with anti-LGI1 LE only after delayed CSF antibodies studies. In this patient, symptoms emerged over two years, with multiple brain MRIs being negative, including the one completed during the hospital admission in focus. The purpose of this case report is to encourage maintaining a broad differential when patients present with bizarre symptoms. This report underlies the importance of thorough clinical evaluation, utilization of multiple diagnostic resources, and the need for heightened awareness among healthcare providers about the subtleties of autoimmune encephalitis presentations. With anti-LGI1 LE already being severely underdiagnosed, it is important to continue reviewing various cases of patients who are diagnosed with anti-LGI1 LE and further review to understand its pathophysiology and common clinical presentation. This case also underscores the ongoing evolution in understanding anti-LGI1 LE and highlights that patients may present with unfamiliar symptoms or diagnostic challenges. The overall objective is to help providers recognize anti-LGI1 LE earlier, so treatment can be initiated sooner, leading to a better prognosis for patients.

摘要

抗富含亮氨酸胶质瘤失活1边缘性脑炎(抗LGI1边缘性脑炎)是一种罕见的自身免疫性边缘性脑炎,其临床表现可能具有误导性,会延迟诊断和治疗。症状广泛多样且渐进发展,伴有明显的行为障碍,可能掩盖病情并促使最初作出精神科诊断。尽管在疾病发展为明显的边缘性脑炎时,特定的磁共振成像(MRI)表现应该很明显,但它看起来并不一致且定义不明确,因此不可靠。然而,脑成像在讨论中仍然很突出,甚至被纳入了一些抗LGI1边缘性脑炎的诊断指南。在此,我们报告一例患者,该患者在有长期精神问题、异常“痉挛”病史后自杀未遂,随后出现脑病,最终仅在脑脊液抗体研究延迟后才被诊断为抗LGI1边缘性脑炎。在该患者中,症状出现超过两年,多次脑部MRI检查均为阴性,包括住院期间重点检查的那次。本病例报告的目的是鼓励在患者出现奇异症状时保持广泛的鉴别诊断。本报告强调了全面临床评估、利用多种诊断资源的重要性,以及医疗服务提供者提高对自身免疫性脑炎表现细微之处认识的必要性。鉴于抗LGI1边缘性脑炎的诊断严重不足,继续回顾已诊断为抗LGI1边缘性脑炎的各种病例并进一步研究以了解其病理生理学和常见临床表现非常重要。 本病例还强调了对抗LGI1边缘性脑炎认识的不断演变,并突出表明患者可能出现不常见的症状或诊断挑战。总体目标是帮助医疗服务提供者更早地识别抗LGI1边缘性脑炎,以便能更早开始治疗,从而为患者带来更好的预后。

https://cdn.ncbi.nlm.nih.gov/pmc/blobs/4feb/11246706/266708abf2ad/cureus-0016-00000062387-i01.jpg

文献检索

告别复杂PubMed语法,用中文像聊天一样搜索,搜遍4000万医学文献。AI智能推荐,让科研检索更轻松。

立即免费搜索

文件翻译

保留排版,准确专业,支持PDF/Word/PPT等文件格式,支持 12+语言互译。

免费翻译文档

深度研究

AI帮你快速写综述,25分钟生成高质量综述,智能提取关键信息,辅助科研写作。

立即免费体验