• 文献检索
  • 文档翻译
  • 深度研究
  • 学术资讯
  • Suppr Zotero 插件Zotero 插件
  • 邀请有礼
  • 套餐&价格
  • 历史记录
应用&插件
Suppr Zotero 插件Zotero 插件浏览器插件Mac 客户端Windows 客户端微信小程序
定价
高级版会员购买积分包购买API积分包
服务
文献检索文档翻译深度研究API 文档MCP 服务
关于我们
关于 Suppr公司介绍联系我们用户协议隐私条款
关注我们

Suppr 超能文献

核心技术专利:CN118964589B侵权必究
粤ICP备2023148730 号-1Suppr @ 2026

文献检索

告别复杂PubMed语法,用中文像聊天一样搜索,搜遍4000万医学文献。AI智能推荐,让科研检索更轻松。

立即免费搜索

文件翻译

保留排版,准确专业,支持PDF/Word/PPT等文件格式,支持 12+语言互译。

免费翻译文档

深度研究

AI帮你快速写综述,25分钟生成高质量综述,智能提取关键信息,辅助科研写作。

立即免费体验

隐匿性胰腺神经内分泌肿瘤表现为类癌综合征。

Occult Pancreatic Neuroendocrine Tumor Presenting as Carcinoid Syndrome.

作者信息

Phung Don, Khizer Umair, Farhan Mutahir, Saad Bashar

机构信息

Internal Medicine, University of California Riverside School of Medicine, Riverside, USA.

Internal Medicine, University of California Riverside, Riverside, USA.

出版信息

Cureus. 2024 Jun 12;16(6):e62234. doi: 10.7759/cureus.62234. eCollection 2024 Jun.

DOI:10.7759/cureus.62234
PMID:39006730
原文链接:https://pmc.ncbi.nlm.nih.gov/articles/PMC11242740/
Abstract

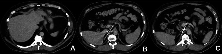
We present a case of a 50-year-old male who initially presented to the clinic with complaints of palpitations, shortness of breath, dizziness, night sweats, headaches with associated intermittent episodes of diarrhea, episodes of flushing, and rash on the upper body. Laboratory testing revealed elevated chromogranin A levels. Initial imaging with computed tomography (CT) of the abdomen and pelvis with contrast was negative for any lesions. However, due to his clinical presentation and high suspicion of a neuroendocrine tumor (NET), a positron emission tomography-CT (PET-CT) scan with Gallium 68-DOTATATE was obtained, confirming and localizing his NET in the neck of the pancreas and the liver. Following confirmation and localization of his tumor, he was referred for surgical evaluation and treatment. Pancreatic neuroendocrine tumors are rare and difficult to diagnose, highlighted by unsuccessful initial efforts to localize and confirm the tumor. This case underscores the importance of clinical suspicion and acumen in diagnosing neuroendocrine tumors. Upcoming imaging modalities of PET-CT scans provide promising avenues to uncover neuroendocrine tumors.

摘要

我们报告一例50岁男性患者,其最初因心悸、气短、头晕、盗汗、头痛伴间歇性腹泻、潮红发作及上身皮疹前来诊所就诊。实验室检查显示嗜铬粒蛋白A水平升高。最初的腹部和盆腔增强计算机断层扫描(CT)未发现任何病变。然而,鉴于其临床表现及高度怀疑神经内分泌肿瘤(NET),遂进行了68镓-奥曲肽正电子发射断层扫描-CT(PET-CT),证实其NET位于胰腺颈部和肝脏,并确定了位置。在肿瘤得到确诊和定位后,他被转诊进行手术评估和治疗。胰腺神经内分泌肿瘤罕见且难以诊断,最初定位和确诊肿瘤的努力未成功就凸显了这一点。该病例强调了临床怀疑和敏锐洞察力在诊断神经内分泌肿瘤中的重要性。PET-CT扫描等新兴成像方式为发现神经内分泌肿瘤提供了有前景的途径。

https://cdn.ncbi.nlm.nih.gov/pmc/blobs/0664/11242740/e29816717898/cureus-0016-00000062234-i03.jpg
https://cdn.ncbi.nlm.nih.gov/pmc/blobs/0664/11242740/b0cfd58c6a6c/cureus-0016-00000062234-i01.jpg
https://cdn.ncbi.nlm.nih.gov/pmc/blobs/0664/11242740/89682b6e540e/cureus-0016-00000062234-i02.jpg
https://cdn.ncbi.nlm.nih.gov/pmc/blobs/0664/11242740/e29816717898/cureus-0016-00000062234-i03.jpg
https://cdn.ncbi.nlm.nih.gov/pmc/blobs/0664/11242740/b0cfd58c6a6c/cureus-0016-00000062234-i01.jpg
https://cdn.ncbi.nlm.nih.gov/pmc/blobs/0664/11242740/89682b6e540e/cureus-0016-00000062234-i02.jpg
https://cdn.ncbi.nlm.nih.gov/pmc/blobs/0664/11242740/e29816717898/cureus-0016-00000062234-i03.jpg

相似文献

1
Occult Pancreatic Neuroendocrine Tumor Presenting as Carcinoid Syndrome.隐匿性胰腺神经内分泌肿瘤表现为类癌综合征。
Cureus. 2024 Jun 12;16(6):e62234. doi: 10.7759/cureus.62234. eCollection 2024 Jun.
2
Incidental 68Ga-DOTATATE uptake in the pancreatic head: A case report and a unique opportunity to improve clinical care.胰腺头部偶然出现的68Ga-DOTATATE摄取:一例病例报告及改善临床护理的独特契机。
Medicine (Baltimore). 2020 May 29;99(22):e20197. doi: 10.1097/MD.0000000000020197.
3
Prospective Study of 68Ga-DOTATATE Positron Emission Tomography/Computed Tomography for Detecting Gastro-Entero-Pancreatic Neuroendocrine Tumors and Unknown Primary Sites.68Ga-DOTATATE正电子发射断层扫描/计算机断层扫描用于检测胃肠胰神经内分泌肿瘤及未知原发部位的前瞻性研究
J Clin Oncol. 2016 Feb 20;34(6):588-96. doi: 10.1200/JCO.2015.64.0987. Epub 2015 Dec 28.
4
More advantages in detecting bone and soft tissue metastases from prostate cancer using F-PSMA PET/CT.使用F-PSMA PET/CT检测前列腺癌骨和软组织转移方面有更多优势。
Hell J Nucl Med. 2019 Jan-Apr;22(1):6-9. doi: 10.1967/s002449910952. Epub 2019 Mar 7.
5
Misleading clinical presentation of carcinoid syndrome.类癌综合征的误导性临床表现。
Acta Gastroenterol Belg. 2021 Jul-Sep;84(3):501-503. doi: 10.51821/84.3.016.
6
The value of somatostatin receptor imaging with In-111 Octreotide and/or Ga-68 DOTATATE in localizing Ectopic ACTH producing tumors.使用铟 - 111奥曲肽和/或镓 - 68 DOTATATE进行生长抑素受体显像在定位异位促肾上腺皮质激素分泌肿瘤中的价值。
Mol Imaging Radionucl Ther. 2013 Aug;22(2):49-55. doi: 10.4274/Mirt.69775. Epub 2013 Aug 1.
7
The utility of Gallium-DOTATATE PET/CT in the detection of von Hippel-Lindau disease associated tumors.镓-DOTATATE PET/CT 在检测 von Hippel-Lindau 病相关肿瘤中的应用。
Eur J Radiol. 2019 Mar;112:130-135. doi: 10.1016/j.ejrad.2018.11.023. Epub 2018 Nov 22.
8
Gallium-DOTATATE positron emission tomography-computed tomography (PET CT) changes management in a majority of patients with neuroendocrine tumors.镓-DOTATATE 正电子发射断层扫描-计算机断层扫描(PET CT)改变了大多数神经内分泌肿瘤患者的治疗方式。
Surgery. 2019 Jan;165(1):178-185. doi: 10.1016/j.surg.2018.03.030. Epub 2018 Nov 8.
9
68 Ga-DOTATATE PET/CT in the Initial Diagnosis of Patients With Clinical, Imaging, and/or Biochemical Suspicion of a Neuroendocrine Tumor.68Ga-DOTATATE PET/CT 在疑似神经内分泌肿瘤的患者的临床、影像和/或生化诊断中的应用。
Clin Nucl Med. 2023 Nov 1;48(11):933-936. doi: 10.1097/RLU.0000000000004829. Epub 2023 Sep 7.
10
68Ga-DOTATATE PET/CT, 99mTc-HYNIC-octreotide SPECT/CT, and whole-body MR imaging in detection of neuroendocrine tumors: a prospective trial.68Ga-DOTATATE PET/CT、99mTc-HYNIC-奥曲肽SPECT/CT及全身磁共振成像在神经内分泌肿瘤检测中的应用:一项前瞻性试验
J Nucl Med. 2014 Oct;55(10):1598-604. doi: 10.2967/jnumed.114.144543. Epub 2014 Aug 28.

本文引用的文献

1
Impact of initial imaging with gallium-68 dotatate PET/CT on diagnosis and management of patients with neuroendocrine tumors.镓-68 生长抑素 PET/CT 初始显像对神经内分泌肿瘤患者诊断和治疗的影响。
J Surg Oncol. 2020 Mar;121(3):480-485. doi: 10.1002/jso.25812. Epub 2019 Dec 18.
2
Trends in the Incidence, Prevalence, and Survival Outcomes in Patients With Neuroendocrine Tumors in the United States.美国神经内分泌肿瘤患者的发病率、患病率和生存结局趋势。
JAMA Oncol. 2017 Oct 1;3(10):1335-1342. doi: 10.1001/jamaoncol.2017.0589.
3
Principles of diagnosis and management of neuroendocrine tumours.
神经内分泌肿瘤的诊断与管理原则
CMAJ. 2017 Mar 13;189(10):E398-E404. doi: 10.1503/cmaj.160771.
4
Prospective Study of 68Ga-DOTATATE Positron Emission Tomography/Computed Tomography for Detecting Gastro-Entero-Pancreatic Neuroendocrine Tumors and Unknown Primary Sites.68Ga-DOTATATE正电子发射断层扫描/计算机断层扫描用于检测胃肠胰神经内分泌肿瘤及未知原发部位的前瞻性研究
J Clin Oncol. 2016 Feb 20;34(6):588-96. doi: 10.1200/JCO.2015.64.0987. Epub 2015 Dec 28.
5
Exploring the rising incidence of neuroendocrine tumors: a population-based analysis of epidemiology, metastatic presentation, and outcomes.探讨神经内分泌肿瘤发病率的上升:基于人群的流行病学、转移表现和结局分析。
Cancer. 2015 Feb 15;121(4):589-97. doi: 10.1002/cncr.29099. Epub 2014 Oct 13.
6
Clinicopathological features of pancreatic endocrine tumors: a prospective multicenter study in Italy of 297 sporadic cases.意大利一项 297 例散发性病例的前瞻性多中心研究:胰腺内分泌肿瘤的临床病理特征。
Am J Gastroenterol. 2010 Jun;105(6):1421-9. doi: 10.1038/ajg.2009.747. Epub 2010 Jan 19.
7
ENETS Consensus Guidelines for the Standards of Care in Neuroendocrine Tumors: biochemical markers.神经内分泌肿瘤护理标准的ENETS共识指南:生化标志物
Neuroendocrinology. 2009;90(2):194-202. doi: 10.1159/000225948. Epub 2009 Aug 28.
8
Gastrointestinal neuroendocrine tumors: pancreatic endocrine tumors.胃肠道神经内分泌肿瘤:胰腺内分泌肿瘤
Gastroenterology. 2008 Nov;135(5):1469-92. doi: 10.1053/j.gastro.2008.05.047. Epub 2008 Aug 12.
9
MR imaging of hepatic metastases caused by neuroendocrine tumors: comparing four techniques.神经内分泌肿瘤所致肝转移的磁共振成像:四种技术比较
AJR Am J Roentgenol. 2003 Jan;180(1):121-8. doi: 10.2214/ajr.180.1.1800121.
10
Pancreatic tumors: comparison of dual-phase helical CT and endoscopic sonography.胰腺肿瘤:双期螺旋CT与内镜超声检查的比较
AJR Am J Roentgenol. 1998 May;170(5):1315-22. doi: 10.2214/ajr.170.5.9574609.