Suppr超能文献

黏液性水肿昏迷患者的急性帕金森综合征:一例报告。

Acute parkinsonism in a patient with myxedema crisis: A case report.

作者信息

Gupta Rajat, Chaudhary Shakun, Sood Vivek, Chauhan Narvir Singh, Chauhan Nidhi, Kapoor Dhiraj

机构信息

Department of Medicine, Dr Rajendra Prasad Government Medical College Kangra at Tanda, Kangra, Himachal Pradesh 176001, India.

Department of Endocrinology, Dr Rajendra Prasad Government Medical College Kangra at Tanda, Kangra, Himachal Pradesh 176001, India.

出版信息

Med Int (Lond). 2024 Jul 2;4(5):49. doi: 10.3892/mi.2024.173. eCollection 2024 Sep-Oct.

Abstract

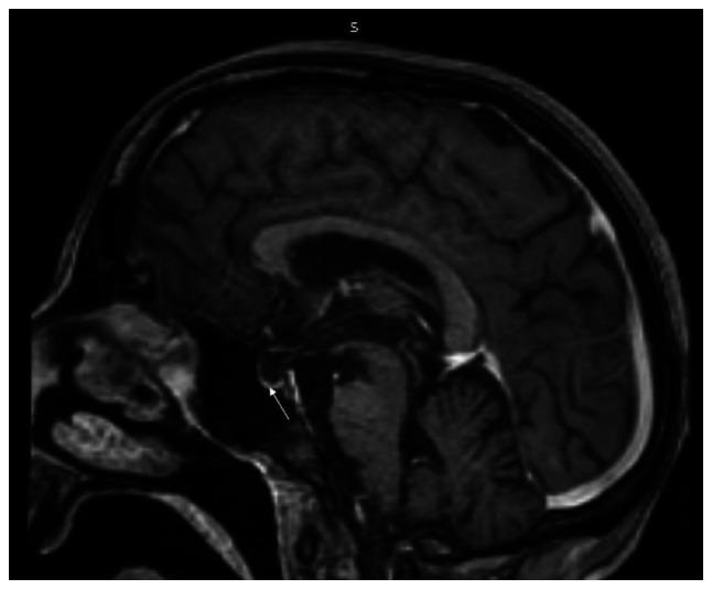
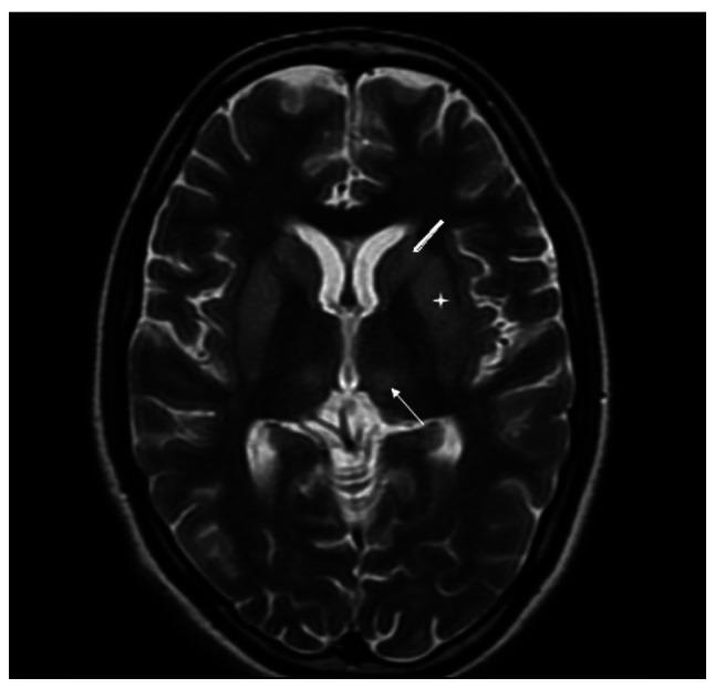
Both myxedema crisis and Sheehan's syndrome are uncommon conditions. The first-time presentation as myxedema crisis is rare in Sheehan's syndrome. The present study describes the case of a 31-year-old female patient who presented with altered sensorium in the emergency room. The patient was not a known case of hypothyroidism, but had a history of secondary amenorrhea and lactation failure following the birth of a child 11 years prior. Upon evaluation, she was found to have hypothermia, hypotension, the delayed relaxation of deep tendon reflexes, bradycardia and hyponatremia, which led to the suspicion of myxedema crisis. Her thyroid function tests were suggestive of secondary hypothyroidism and her pituitary hormonal profile revealed panhypopituitarism. The patient was managed on the lines of myxedema crisis with oral levothyroxine, hydrocortisone infusion, antibiotics and rewarming. Her clinical and biochemical parameters exhibited an improvement; however, her altered sensorium persisted. A repeat neurological examination revealed cogwheel rigidity with paraparesis, which led to the clinical suspicion of acute parkinsonism. Magnetic resonance imaging of the sella and brain was suggestive of an empty sella and extrapontine myelinolysis, substantiating the diagnosis of Sheehan's syndrome with acute parkinsonism. The patient was commenced on levodopa-carbidopa following which there was an improvement in symptoms. The patient improved over the ensuing 6 months and can now perform all household activities. On the whole, the present study indicates that the early suspicion of myxedema crisis, prompt treatment and the recognition of additional aetiology for persistent altered sensorium can result in a successful outcome for the patient.

摘要

黏液水肿危象和希恩综合征均为罕见病症。以黏液水肿危象首次发病在希恩综合征中较为罕见。本研究描述了一名31岁女性患者的病例,该患者在急诊室出现意识改变。患者既往并非已知的甲状腺功能减退病例,但有11年前分娩后继发性闭经和泌乳失败的病史。经评估,发现她体温过低、血压低、深腱反射弛缓延迟、心动过缓和低钠血症,这引发了对黏液水肿危象的怀疑。她的甲状腺功能检查提示继发性甲状腺功能减退,垂体激素检查显示全垂体功能减退。该患者按照黏液水肿危象的治疗方案进行管理,给予口服左甲状腺素、氢化可的松输注、抗生素和复温治疗。她的临床和生化指标有所改善;然而,她意识改变的情况仍然存在。再次进行神经检查发现齿轮样强直伴双侧下肢轻瘫,这导致临床怀疑为急性帕金森病。蝶鞍和脑部的磁共振成像提示空蝶鞍和脑桥外髓鞘溶解,证实了希恩综合征合并急性帕金森病的诊断。患者开始服用左旋多巴 - 卡比多巴,此后症状有所改善。患者在接下来的6个月中逐渐好转,现在能够进行所有家务活动。总体而言,本研究表明,早期怀疑黏液水肿危象并及时治疗,以及识别意识持续改变的其他病因,可为患者带来成功的治疗结果。

https://cdn.ncbi.nlm.nih.gov/pmc/blobs/8c03/11240856/0316b096fd87/mi-04-05-00173-g00.jpg

文献检索

告别复杂PubMed语法,用中文像聊天一样搜索,搜遍4000万医学文献。AI智能推荐,让科研检索更轻松。

立即免费搜索

文件翻译

保留排版,准确专业,支持PDF/Word/PPT等文件格式,支持 12+语言互译。

免费翻译文档

深度研究

AI帮你快速写综述,25分钟生成高质量综述,智能提取关键信息,辅助科研写作。

立即免费体验