Suppr超能文献

类人重组明胶的表达、表征及应用

Expression, characterization, and application of human-like recombinant gelatin.

作者信息

Song Xiaoping, Chu Tao, Shi Wanru, He Jingyan

机构信息

Department of Pharmacy, Anhui Medical College, Hefei, Anhui, 230061, China.

Anhui Engineering Research Center of Recombinant Protein Pharmaceutical Biotechnology, Hefei, Anhui, 230022, China.

出版信息

Bioresour Bioprocess. 2024 Jul 17;11(1):69. doi: 10.1186/s40643-024-00785-1.

Abstract

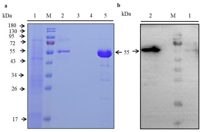
Gelatin is a product obtained through partial hydrolysis and thermal denaturation of collagen, belonging to natural biopeptides. With irreplaceable biological functions in the field of biomedical science and tissue engineering, it has been widely applied. The amino acid sequence of recombinant human-like gelatin was constructed through a newly designed hexamer composed of six protein monomer sequences in series, with the minimum repeating unit being the characteristic Gly-X-Y sequence found in type III human collagen α1 chain. The nucleotide sequence was subsequently inserted into the genome of Pichia pastoris to enable soluble secretion expression of recombinant gelatin. At the shake flask fermentation level, the yield of recombinant gelatin is up to 0.057 g/L, and its purity can rise up to 95% through affinity purification. It was confirmed in the molecular weight determination and amino acid analysis that the amino acid composition of the obtained recombinant gelatin is identical to that of the theoretically designed. Furthermore, scanning electron microscopy revealed that the freeze-dried recombinant gelatin hydrogel exhibited a porous structure. After culturing cells continuously within these gelatin microspheres for two days followed by fluorescence staining and observation through confocal laser scanning microscopy, it was observed that cells clustered together within the gelatin matrix, exhibiting three-dimensional growth characteristics while maintaining good viability. This research presents promising prospects for developing recombinant gelatin as a biomedical material.

摘要

明胶是通过胶原蛋白的部分水解和热变性获得的产物,属于天然生物肽。由于其在生物医学和组织工程领域具有不可替代的生物学功能,已得到广泛应用。重组类人明胶的氨基酸序列是通过新设计的由六个蛋白质单体序列串联组成的六聚体构建而成的,其最小重复单元是在人Ⅲ型胶原蛋白α1链中发现的特征性Gly-X-Y序列。随后将该核苷酸序列插入毕赤酵母基因组中,以实现重组明胶的可溶性分泌表达。在摇瓶发酵水平下,重组明胶的产量可达0.057 g/L,通过亲和纯化其纯度可提高至95%。在分子量测定和氨基酸分析中证实,所得重组明胶的氨基酸组成与理论设计的一致。此外,扫描电子显微镜显示冻干的重组明胶水凝胶呈现多孔结构。在这些明胶微球中连续培养细胞两天后,通过共聚焦激光扫描显微镜进行荧光染色和观察,发现细胞聚集在明胶基质中,呈现三维生长特征,同时保持良好的活力。本研究为开发重组明胶作为生物医学材料提供了广阔前景。

https://cdn.ncbi.nlm.nih.gov/pmc/blobs/31d6/11252100/c3ef8f121317/40643_2024_785_Fig1_HTML.jpg

文献检索

告别复杂PubMed语法,用中文像聊天一样搜索,搜遍4000万医学文献。AI智能推荐,让科研检索更轻松。

立即免费搜索

文件翻译

保留排版,准确专业,支持PDF/Word/PPT等文件格式,支持 12+语言互译。

免费翻译文档

深度研究

AI帮你快速写综述,25分钟生成高质量综述,智能提取关键信息,辅助科研写作。

立即免费体验