• 文献检索
  • 文档翻译
  • 深度研究
  • 学术资讯
  • Suppr Zotero 插件Zotero 插件
  • 邀请有礼
  • 套餐&价格
  • 历史记录
应用&插件
Suppr Zotero 插件Zotero 插件浏览器插件Mac 客户端Windows 客户端微信小程序
定价
高级版会员购买积分包购买API积分包
服务
文献检索文档翻译深度研究API 文档MCP 服务
关于我们
关于 Suppr公司介绍联系我们用户协议隐私条款
关注我们

Suppr 超能文献

核心技术专利:CN118964589B侵权必究
粤ICP备2023148730 号-1Suppr @ 2026

文献检索

告别复杂PubMed语法,用中文像聊天一样搜索,搜遍4000万医学文献。AI智能推荐,让科研检索更轻松。

立即免费搜索

文件翻译

保留排版,准确专业,支持PDF/Word/PPT等文件格式,支持 12+语言互译。

免费翻译文档

深度研究

AI帮你快速写综述,25分钟生成高质量综述,智能提取关键信息,辅助科研写作。

立即免费体验

误诊为梅克尔憩室伴内疝酷似阑尾炎:一例报告。

Misdiagnosed Meckel's diverticulum with internal hernia mimicking appendicitis: A case report.

作者信息

Zhang Qi, Xu Xiu-Juan, Ma Jun, Zhang Ya-Ming

机构信息

Department of General Surgery, Anqing Municipal Hospital, Anqing 246000, Anhui Province, China.

Department of Critical Medicine, Anqing Municipal Hospital, Anqing 246000, Anhui Province, China.

出版信息

World J Clin Cases. 2024 Jul 16;12(20):4391-4396. doi: 10.12998/wjcc.v12.i20.4391.

DOI:10.12998/wjcc.v12.i20.4391
PMID:39015903
原文链接:https://pmc.ncbi.nlm.nih.gov/articles/PMC11235555/
Abstract

BACKGROUND

Meckel's diverticulum is a common congenital anomaly of the gastrointestinal tract, with a higher incidence rate in children under 7 years old. The condition is characteristically asymptomatic but may become a clinical concern when complications such as intestinal obstruction, bleeding, perforation, or diverticulitis precipitate acute abdominal presentations.

CASE SUMMARY

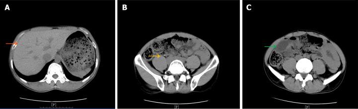
This report describes the case of a middle-aged man initially suspected of having acute appendicitis, which rapidly progressed to acute peritonitis with concomitant intestinal obstruction observed during preoperative assessment. Surgical exploration confirmed the diagnosis of Meckel's diverticulum-induced internal hernia, accompanied by intestinal obstruction and necrosis. In addition, the hernial ring base exhibited entrapment resembling a surgical knot.

CONCLUSION

Meckel's diverticulum is a rare cause of small bowel obstruction in adults, and it should be considered in a differential diagnosis.

摘要

背景

梅克尔憩室是一种常见的胃肠道先天性异常,在7岁以下儿童中发病率较高。该病症通常无症状,但当出现肠梗阻、出血、穿孔或憩室炎等并发症引发急性腹部症状时,可能会引起临床关注。

病例摘要

本报告描述了一名中年男性的病例,该患者最初被怀疑患有急性阑尾炎,在术前评估中迅速发展为急性腹膜炎,并伴有肠梗阻。手术探查证实诊断为梅克尔憩室引起的内疝,伴有肠梗阻和坏死。此外,疝环底部出现类似手术结的卡压。

结论

梅克尔憩室是成人小肠梗阻的罕见原因,在鉴别诊断时应予以考虑。

https://cdn.ncbi.nlm.nih.gov/pmc/blobs/fdda/11235555/77849615896d/WJCC-12-4391-g003.jpg
https://cdn.ncbi.nlm.nih.gov/pmc/blobs/fdda/11235555/c5635c15648b/WJCC-12-4391-g001.jpg
https://cdn.ncbi.nlm.nih.gov/pmc/blobs/fdda/11235555/dca32ab61b4a/WJCC-12-4391-g002.jpg
https://cdn.ncbi.nlm.nih.gov/pmc/blobs/fdda/11235555/77849615896d/WJCC-12-4391-g003.jpg
https://cdn.ncbi.nlm.nih.gov/pmc/blobs/fdda/11235555/c5635c15648b/WJCC-12-4391-g001.jpg
https://cdn.ncbi.nlm.nih.gov/pmc/blobs/fdda/11235555/dca32ab61b4a/WJCC-12-4391-g002.jpg
https://cdn.ncbi.nlm.nih.gov/pmc/blobs/fdda/11235555/77849615896d/WJCC-12-4391-g003.jpg

相似文献

1
Misdiagnosed Meckel's diverticulum with internal hernia mimicking appendicitis: A case report.误诊为梅克尔憩室伴内疝酷似阑尾炎:一例报告。
World J Clin Cases. 2024 Jul 16;12(20):4391-4396. doi: 10.12998/wjcc.v12.i20.4391.
2
Meckel's diverticulum with small bowel obstruction presenting as appendicitis in a pediatric patient.一名儿科患者中表现为阑尾炎的伴有小肠梗阻的梅克尔憩室。
JSLS. 2011 Oct-Dec;15(4):558-61. doi: 10.4293/108680811X13176785204553.
3
A Rare Case of Small Bowel Obstruction in a 15-Year-Old Girl: Internal Hernia Associated with Meckel's Diverticulum.15 岁女孩罕见小肠梗阻:梅克尔憩室相关的内疝。
Am J Case Rep. 2024 Apr 5;25:e943071. doi: 10.12659/AJCR.943071.
4
Post-appendicectomy small bowel obstruction due to internal hernia involving Meckel's diverticulum.阑尾切除术后因 Meckel 憩室引起的内疝导致的小肠梗阻。
BMJ Case Rep. 2024 Feb 5;17(2):e257717. doi: 10.1136/bcr-2023-257717.
5
Appendicitis combined with Meckel's diverticulum obstruction, perforation, and inflammation in children: Three case reports.小儿阑尾炎合并梅克尔憩室梗阻、穿孔及炎症:三例报告
World J Clin Cases. 2024 Feb 6;12(4):865-871. doi: 10.12998/wjcc.v12.i4.865.
6
Meckel's diverticulum mesentery along with its band forming a hernial sac: A rare case of internal herniation.梅克尔憩室系膜连同其系带形成疝囊:一例罕见的内疝病例。
Int J Surg Case Rep. 2015;10:17-9. doi: 10.1016/j.ijscr.2015.03.005. Epub 2015 Mar 7.
7
Acute intestinal obstruction due to meckel's diverticulum: A case report and literature review.梅克尔憩室所致急性肠梗阻:一例报告及文献复习
Heliyon. 2024 Apr 30;10(9):e30514. doi: 10.1016/j.heliyon.2024.e30514. eCollection 2024 May 15.
8
Spontaneous perforation of Meckel's diverticulum: a case report and review of literature.梅克尔憩室自发性穿孔:一例病例报告及文献综述
Pan Afr Med J. 2015 Apr 1;20:319. doi: 10.11604/pamj.2015.20.319.5980. eCollection 2015.
9
An internal hernia caused by Meckel's diverticulum: a case report.由 Meckel 憩室引起的内疝:一例报告。
BMC Gastroenterol. 2020 Mar 12;20(1):69. doi: 10.1186/s12876-020-01211-4.
10
Encountering Meckel's diverticulum in emergency surgery for ascaridial intestinal obstruction.在治疗蛔虫性肠梗阻的急诊手术中遇到 Meckel 憩室。
World J Emerg Surg. 2010 Jun 9;5:15. doi: 10.1186/1749-7922-5-15.

本文引用的文献

1
Increased Attenuation of Intestinal Contents at CT Indicates Bowel Necrosis in Closed-Loop Small Bowel Obstruction.CT 示肠内容物衰减增加提示闭袢性小肠梗阻肠坏死。
Radiology. 2024 Feb;310(2):e231710. doi: 10.1148/radiol.231710.
2
Meckel's diverticulum mimicking acute appendicitis in children: a retrospective cohort study. Meckel's 憩室在儿童中表现为急性阑尾炎:一项回顾性队列研究。
BMC Surg. 2024 Jan 30;24(1):40. doi: 10.1186/s12893-024-02323-4.
3
Clinical characteristics and treatment outcomes of symptomatic Meckel diverticulum: a comparative study among children, adolescent, and adult patients.
有症状的梅克尔憩室的临床特征及治疗结果:儿童、青少年和成年患者的比较研究
Ann Surg Treat Res. 2023 Aug;105(2):107-113. doi: 10.4174/astr.2023.105.2.107. Epub 2023 Aug 1.
4
Internal Hernia after Laparoscopic Roux-en-Y Gastric Bypass: Optimal CT Signs for Diagnosis and Clinical Decision Making.腹腔镜 Roux-en-Y 胃旁路术后内疝:诊断的最佳 CT 征象和临床决策。
Radiology. 2017 Mar;282(3):752-760. doi: 10.1148/radiol.2016160956. Epub 2016 Sep 30.
5
Clinics in diagnostic imaging (162). Meckel's diverticulum.诊断成像临床(第162期)。梅克尔憩室。
Singapore Med J. 2015 Sep;56(9):523-6; quiz 527. doi: 10.11622/smedj.2015138.