• 文献检索
  • 文档翻译
  • 深度研究
  • 学术资讯
  • Suppr Zotero 插件Zotero 插件
  • 邀请有礼
  • 套餐&价格
  • 历史记录
应用&插件
Suppr Zotero 插件Zotero 插件浏览器插件Mac 客户端Windows 客户端微信小程序
定价
高级版会员购买积分包购买API积分包
服务
文献检索文档翻译深度研究API 文档MCP 服务
关于我们
关于 Suppr公司介绍联系我们用户协议隐私条款
关注我们

Suppr 超能文献

核心技术专利:CN118964589B侵权必究
粤ICP备2023148730 号-1Suppr @ 2026

文献检索

告别复杂PubMed语法,用中文像聊天一样搜索,搜遍4000万医学文献。AI智能推荐,让科研检索更轻松。

立即免费搜索

文件翻译

保留排版,准确专业,支持PDF/Word/PPT等文件格式,支持 12+语言互译。

免费翻译文档

深度研究

AI帮你快速写综述,25分钟生成高质量综述,智能提取关键信息,辅助科研写作。

立即免费体验

安氏II类错牙合个体髁突形态变化的患病率。

Prevalence of condylar morphological changes in individuals with class II malocclusion.

作者信息

Oliveira Daniela Fernandes Lobo Molica, Fernandes Ellen Eduarda, Lopes Sergio Lúcio Pereira de Castro, Rode Sigmar de Mello, Oliveira Wagner de, Ertty Ertty, Cardoso Mauricio de Almeida, Tien-Li An, Meloti Fernanda

机构信息

Institute of Science and Technology - UNESP, Department of Biosciences and Oral Diagnosis, São José dos Campos, SP, Brazil.

Institute of Science and Technology - UNESP, Department of Diagnostics and Surgery, São José dos Campos, SP, Brazil.

出版信息

Braz Oral Res. 2024 Jul 12;38:e060. doi: 10.1590/1807-3107bor-2024.vol38.0060. eCollection 2024.

DOI:10.1590/1807-3107bor-2024.vol38.0060
PMID:39016367
原文链接:https://pmc.ncbi.nlm.nih.gov/articles/PMC11376684/
Abstract

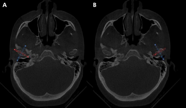
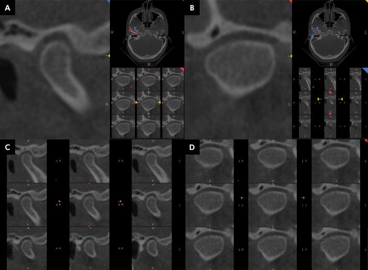
This observational, cross-sectional study with retrospective collection was aimed to evaluate the prevalence of morphological changes in mandibular condyles in individuals with class II malocclusion, classified according to different vertical growth patterns (brachyfacial, mesofacial, and dolichofacial), through cone beam computed tomography (CBCT). Seventy CBCT images (140 mandibular condyles) were selected from individuals without orthodontic treatment, of both sexes, aged between 25 and 50 years. No statistically significant differences were found between facial patterns; however, there was a higher relative prevalence of bone changes in dolichofacial individuals with flattening (62%), sclerosis (44%), and subchondral bone cyst (20%). Erosion and osteophytes prevailed in mesofacial (39%), and brachyfacial individuals (32%), respectively. Thus, there was no statistically significant difference in the prevalence of degenerative changes between the vertical skeletal patterns. Flattening was the most prevalent change, whereas subchondral bone cyst was the least prevalent among the three groups studied. The observational design of this study makes it possible to analyze image banks to verify the correlation of morphological changes in the temporomandibular joint in different facial patterns in patients with class II malocclusion. A limitation of the study is that clinical characteristics were not evaluated.

摘要

这项采用回顾性收集数据的观察性横断面研究旨在通过锥形束计算机断层扫描(CBCT)评估安氏II类错牙合个体中,根据不同垂直生长模式(短面型、平均面型和长面型)分类的下颌髁突形态变化的患病率。从年龄在25至50岁之间、未经正畸治疗的男女个体中选取了70张CBCT图像(140个下颌髁突)。面部模式之间未发现统计学上的显著差异;然而,长面型个体中出现骨质改变(变平占62%、硬化占44%、软骨下骨囊肿占20%)的相对患病率较高。侵蚀和骨赘分别在平均面型个体(占39%)和短面型个体(占32%)中更为常见。因此,垂直骨骼模式之间退行性改变的患病率没有统计学上的显著差异。变平是最常见的改变,而软骨下骨囊肿是所研究的三组中最不常见的。本研究的观察性设计使得分析图像库以验证安氏II类错牙合患者不同面部模式下颞下颌关节形态变化的相关性成为可能。该研究的一个局限性是未评估临床特征。

https://cdn.ncbi.nlm.nih.gov/pmc/blobs/b668/11376684/b80cee325d1c/1807-3107-bor-38-e060-gf07.jpg
https://cdn.ncbi.nlm.nih.gov/pmc/blobs/b668/11376684/9ca644599091/1807-3107-bor-38-e060-gf01.jpg
https://cdn.ncbi.nlm.nih.gov/pmc/blobs/b668/11376684/2f63b470c242/1807-3107-bor-38-e060-gf02.jpg
https://cdn.ncbi.nlm.nih.gov/pmc/blobs/b668/11376684/1656d16588e4/1807-3107-bor-38-e060-gf03.jpg
https://cdn.ncbi.nlm.nih.gov/pmc/blobs/b668/11376684/9f6e08c393eb/1807-3107-bor-38-e060-gf04.jpg
https://cdn.ncbi.nlm.nih.gov/pmc/blobs/b668/11376684/dc6b2cc162b1/1807-3107-bor-38-e060-gf05.jpg
https://cdn.ncbi.nlm.nih.gov/pmc/blobs/b668/11376684/60bae69f37eb/1807-3107-bor-38-e060-gf06.jpg
https://cdn.ncbi.nlm.nih.gov/pmc/blobs/b668/11376684/b80cee325d1c/1807-3107-bor-38-e060-gf07.jpg
https://cdn.ncbi.nlm.nih.gov/pmc/blobs/b668/11376684/9ca644599091/1807-3107-bor-38-e060-gf01.jpg
https://cdn.ncbi.nlm.nih.gov/pmc/blobs/b668/11376684/2f63b470c242/1807-3107-bor-38-e060-gf02.jpg
https://cdn.ncbi.nlm.nih.gov/pmc/blobs/b668/11376684/1656d16588e4/1807-3107-bor-38-e060-gf03.jpg
https://cdn.ncbi.nlm.nih.gov/pmc/blobs/b668/11376684/9f6e08c393eb/1807-3107-bor-38-e060-gf04.jpg
https://cdn.ncbi.nlm.nih.gov/pmc/blobs/b668/11376684/dc6b2cc162b1/1807-3107-bor-38-e060-gf05.jpg
https://cdn.ncbi.nlm.nih.gov/pmc/blobs/b668/11376684/60bae69f37eb/1807-3107-bor-38-e060-gf06.jpg
https://cdn.ncbi.nlm.nih.gov/pmc/blobs/b668/11376684/b80cee325d1c/1807-3107-bor-38-e060-gf07.jpg

相似文献

1
Prevalence of condylar morphological changes in individuals with class II malocclusion.安氏II类错牙合个体髁突形态变化的患病率。
Braz Oral Res. 2024 Jul 12;38:e060. doi: 10.1590/1807-3107bor-2024.vol38.0060. eCollection 2024.
2
[Cone-beam CT evaluation of temporomandibular joint in skeletal class Ⅱ female adolescents with different vertical patterns].[锥形束CT对不同垂直骨面型Ⅱ类女性青少年颞下颌关节的评估]
Beijing Da Xue Xue Bao Yi Xue Ban. 2020 Dec 29;53(1):109-119. doi: 10.19723/j.issn.1671-167X.2021.01.017.
3
[Cone-beam CT analysis of vertical control of mandible and changes of temporomandibular joint in adult patients with skeletal class Ⅱ malocclusion with high angle].[成人骨性Ⅱ类高角错牙合患者下颌垂直向控制及颞下颌关节变化的锥形束CT分析]
Zhonghua Kou Qiang Yi Xue Za Zhi. 2022 Nov 9;57(11):1147-1155. doi: 10.3760/cma.j.cn112144-20220301-00086.
4
Tomographic evaluation of the temporomandibular joint in malocclusion subjects: condylar morphology and position.错颌畸形患者颞下颌关节的断层摄影评估:髁突形态与位置
Braz Oral Res. 2016;30. doi: 10.1590/1807-3107BOR-2016.vol30.0017. Epub 2016 Mar 8.
5
Comprehensive three-dimensional positional and morphological assessment of the temporomandibular joint in skeletal Class II patients with mandibular retrognathism in different vertical skeletal patterns.不同垂直骨面型下颌后缩的骨性 II 类错(牙合)患者颞下颌关节的全面三维位置和形态评估。
BMC Oral Health. 2022 Apr 28;22(1):149. doi: 10.1186/s12903-022-02174-6.
6
Computed tomography evaluation of the temporomandibular joint in Class II Division 1 and Class III malocclusion patients: condylar symmetry and condyle-fossa relationship.安氏II类1分类和安氏III类错牙合患者颞下颌关节的计算机断层扫描评估:髁突对称性及髁突-关节窝关系
Am J Orthod Dentofacial Orthop. 2009 Aug;136(2):199-206. doi: 10.1016/j.ajodo.2007.07.033.
7
Comprehensive positional and morphological assessments of the temporomandibular joint in adolescents with skeletal Class III malocclusion: a retrospective CBCT study.青少年骨性 III 类错颌患者颞下颌关节的全面位置和形态评估:一项回顾性 CBCT 研究。
BMC Oral Health. 2023 Feb 7;23(1):78. doi: 10.1186/s12903-023-02788-4.
8
The effect of myotonic dystrophy type 1 on temporomandibular joint and dentofacial morphology: A CBCT analysis.1 型肌强直性营养不良对颞下颌关节和牙颌面形态的影响:CBCT 分析。
J Oral Rehabil. 2023 Oct;50(10):958-964. doi: 10.1111/joor.13533. Epub 2023 Jun 16.
9
Comparative cone-beam computed tomography evaluation of temporomandibular joint position and morphology in female patients with skeletal class II malocclusion.锥形束计算机断层扫描对骨骼II类错牙合女性患者颞下颌关节位置和形态的对比评估
J Int Med Res. 2020 Feb;48(2):300060519892388. doi: 10.1177/0300060519892388. Epub 2019 Dec 27.
10
Dimensional and Positional Characteristics of the Temporomandibular Joint of Skeletal Class II Malocclusion with and without Temporomandibular Disorders.骨性Ⅱ类错[牙合]伴或不伴颞下颌关节紊乱患者颞下颌关节的维度和位置特征。
J Contemp Dent Pract. 2022 Dec 1;23(12):1203-1210. doi: 10.5005/jp-journals-10024-3441.

引用本文的文献

1
Influence of Maxillofacial Morphology on Temporomandibular Joint Degenerative Alterations and Condyle Position Assessed by CBCT in Class II Malocclusion Adult Patients-A Cross-Sectional Study.CBCT评估成人安氏II类错牙合患者颌面部形态对颞下颌关节退行性改变及髁突位置的影响——一项横断面研究
J Clin Med. 2025 Jun 25;14(13):4499. doi: 10.3390/jcm14134499.
2
Impact of age on degenerative joint disease of the temporomandibular joint: A systematic review and meta-analysis.年龄对颞下颌关节退行性关节病的影响:一项系统评价和荟萃分析。
Medicine (Baltimore). 2025 Apr 25;104(17):e41915. doi: 10.1097/MD.0000000000041915.

本文引用的文献

1
Assessment of the Morphology and Degenerative Changes in the Temporomandibular Joint Using CBCT according to the Orthodontic Approach: A Scoping Review.基于正畸治疗思路的 CBCT 评估颞下颌关节形态和退行性改变:范围综述。
Biomed Res Int. 2022 Feb 1;2022:6863014. doi: 10.1155/2022/6863014. eCollection 2022.
2
Differences in mandibular condyle and glenoid fossa morphology in relation to vertical and sagittal skeletal patterns: A cone-beam computed tomography study.下颌髁突与关节窝形态在垂直和矢状向骨骼类型方面的差异:一项锥形束计算机断层扫描研究。
Korean J Orthod. 2021 Mar 25;51(2):126-134. doi: 10.4041/kjod.2021.51.2.126.
3
Association between degenerative temporomandibular joint disorders, vertical facial growth, and airway dimension.
退行性颞下颌关节紊乱与垂直面型生长和气道维度的相关性。
J World Fed Orthod. 2021 Mar;10(1):20-28. doi: 10.1016/j.ejwf.2021.01.001. Epub 2021 Feb 22.
4
three-dimensional cephalometric landmarks using CBCT for assessment of condylar volume and surface in individuals with Class I, II, and III malocclusions.利用 CBCT 评估 I 类、II 类和 III 类错(牙合)患者髁突体积和表面的三维头影测量标志点。
Cranio. 2023 Jul;41(4):348-353. doi: 10.1080/08869634.2020.1857616. Epub 2020 Dec 9.
5
Comparative cone-beam computed tomography evaluation of temporomandibular joint position and morphology in female patients with skeletal class II malocclusion.锥形束计算机断层扫描对骨骼II类错牙合女性患者颞下颌关节位置和形态的对比评估
J Int Med Res. 2020 Feb;48(2):300060519892388. doi: 10.1177/0300060519892388. Epub 2019 Dec 27.
6
Cone beam computed tomography study of osteoarthritic alterations in the osseous components of temporomandibular joints in asymptomatic patients according to skeletal pattern, gender, and age.根据骨骼形态、性别和年龄,对无症状患者颞下颌关节骨成分的骨关节炎改变进行锥形束计算机断层扫描研究。
Oral Surg Oral Med Oral Pathol Oral Radiol. 2019 Jul;128(1):70-77. doi: 10.1016/j.oooo.2019.01.072. Epub 2019 Feb 6.
7
Comparison of the Bony Changes of TMJ in Patients With and Without TMD Complaints Using CBCT.使用锥形束计算机断层扫描(CBCT)比较有和没有颞下颌关节紊乱症(TMD)主诉患者的颞下颌关节骨质变化
J Dent (Shiraz). 2018 Jun;19(2):142-149.
8
Common pitfalls in statistical analysis: Measures of agreement.统计分析中的常见陷阱:一致性度量
Perspect Clin Res. 2017 Oct-Dec;8(4):187-191. doi: 10.4103/picr.PICR_123_17.
9
Greater mandibular horizontal condylar angle is associated with temporomandibular joint osteoarthritis.下颌骨水平髁突角增大与颞下颌关节骨关节炎相关。
Oral Surg Oral Med Oral Pathol Oral Radiol. 2017 Apr;123(4):502-507. doi: 10.1016/j.oooo.2016.12.008. Epub 2016 Dec 29.
10
Vertical Craniofacial Morphology and its Relation to Temporomandibular Disorders.垂直颅面形态及其与颞下颌关节紊乱病的关系
J Oral Maxillofac Res. 2016 Jun 30;7(2):e6. doi: 10.5037/jomr.2016.7206. eCollection 2016 Apr-Jun.