• 文献检索
  • 文档翻译
  • 深度研究
  • 学术资讯
  • Suppr Zotero 插件Zotero 插件
  • 邀请有礼
  • 套餐&价格
  • 历史记录
应用&插件
Suppr Zotero 插件Zotero 插件浏览器插件Mac 客户端Windows 客户端微信小程序
定价
高级版会员购买积分包购买API积分包
服务
文献检索文档翻译深度研究API 文档MCP 服务
关于我们
关于 Suppr公司介绍联系我们用户协议隐私条款
关注我们

Suppr 超能文献

核心技术专利:CN118964589B侵权必究
粤ICP备2023148730 号-1Suppr @ 2026

文献检索

告别复杂PubMed语法,用中文像聊天一样搜索,搜遍4000万医学文献。AI智能推荐,让科研检索更轻松。

立即免费搜索

文件翻译

保留排版,准确专业,支持PDF/Word/PPT等文件格式,支持 12+语言互译。

免费翻译文档

深度研究

AI帮你快速写综述,25分钟生成高质量综述,智能提取关键信息,辅助科研写作。

立即免费体验

一名中年包皮环切的HIV阴性患者的原发性经典阴茎卡波西肉瘤:罕见病例报告

Primary Classic Penile Kaposi's Sarcoma in a Middle Age Circumcised HIV-Negative Patient: Presentation of an Unusual Case.

作者信息

Ergul Rifat Burak, Ortac Mazhar, Tonyali Senol, Pehlivan Gizem, Sari Sule Ozturk, Hurdogan Ozge, Kadioglu Ates

机构信息

Department of Urology, Istanbul University, Istanbul Faculty of Medicine, Istanbul, Türkiye.

Department of Dermatology, Istanbul University, Istanbul Faculty of Medicine, Istanbul, Türkiye.

出版信息

Sisli Etfal Hastan Tıp Bul. 2024 Jun 28;58(2):241-243. doi: 10.14744/SEMB.2023.46034. eCollection 2024.

DOI:10.14744/SEMB.2023.46034
PMID:39021691
原文链接:https://pmc.ncbi.nlm.nih.gov/articles/PMC11249993/
Abstract

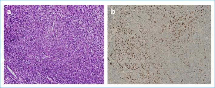
Kaposi's sarcoma should be considered in the differential diagnosis in young patients with penile lesions and no risk factors. A 37-year-old heterosexual man with no other medical history applied presented with a non-itchy and painless penile lesion, for three months. The HIV 1-2 serology was negative via ELISA test. Histopathological analysis of the lesion revealed a tumor composed of atypical spindle cells, below a partially ulcerated surface. There was also an abundance of plasma cells admixed within the neoplastic cells. The patient was diagnosed as HIV-negative, HHV-8 positive Kaposi sarcoma. Although penile Kaposi sarcoma is extremely rare, classical Kaposi sarcoma should be considered in the differential diagnosis of penile lesions.

摘要

对于无危险因素的阴茎病变年轻患者,鉴别诊断时应考虑卡波西肉瘤。一名37岁无其他病史的异性恋男性,出现无痛无痒的阴茎病变3个月。酶联免疫吸附测定(ELISA)检测显示HIV 1-2血清学阴性。病变的组织病理学分析显示,在部分溃疡表面下方有一个由非典型梭形细胞组成的肿瘤。肿瘤细胞内还混有大量浆细胞。该患者被诊断为HIV阴性、HHV-8阳性的卡波西肉瘤。尽管阴茎卡波西肉瘤极为罕见,但在阴茎病变的鉴别诊断中应考虑经典型卡波西肉瘤。

https://cdn.ncbi.nlm.nih.gov/pmc/blobs/03f0/11249993/40c21aff359b/SEMB-58-241-g002.jpg
https://cdn.ncbi.nlm.nih.gov/pmc/blobs/03f0/11249993/d55239132f1c/SEMB-58-241-g001.jpg
https://cdn.ncbi.nlm.nih.gov/pmc/blobs/03f0/11249993/40c21aff359b/SEMB-58-241-g002.jpg
https://cdn.ncbi.nlm.nih.gov/pmc/blobs/03f0/11249993/d55239132f1c/SEMB-58-241-g001.jpg
https://cdn.ncbi.nlm.nih.gov/pmc/blobs/03f0/11249993/40c21aff359b/SEMB-58-241-g002.jpg

相似文献

1
Primary Classic Penile Kaposi's Sarcoma in a Middle Age Circumcised HIV-Negative Patient: Presentation of an Unusual Case.一名中年包皮环切的HIV阴性患者的原发性经典阴茎卡波西肉瘤:罕见病例报告
Sisli Etfal Hastan Tıp Bul. 2024 Jun 28;58(2):241-243. doi: 10.14744/SEMB.2023.46034. eCollection 2024.
2
Herpesvirus 8-associated penile Kaposi's sarcoma in an HIV-negative patient: first report of a solitary lesion.一名HIV阴性患者的8型疱疹病毒相关阴茎卡波西肉瘤:孤立性病变的首例报告
Am J Dermatopathol. 2003 Feb;25(1):28-31. doi: 10.1097/00000372-200302000-00006.
3
Primary classic penile Kaposi's sarcoma in an elderly HIV-negative patient: report of a case and review of the literature.老年HIV阴性患者原发性经典型阴茎卡波西肉瘤:1例报告及文献复习
J BUON. 2007 Jan-Mar;12(1):117-9.
4
Primary classic Kaposi's sarcoma of the penis: report of a case and review.阴茎原发性经典型卡波西肉瘤:1例报告及文献复习
J Eur Acad Dermatol Venereol. 2003 May;17(3):320-3. doi: 10.1046/j.1468-3083.2003.00747.x.
5
Penile Kaposi's sarcomas in a circumcised and HIV-seronegative patient.一名包皮环切且HIV血清学阴性患者的阴茎卡波西肉瘤。
Int J Urol. 2006 Mar;13(3):318-20. doi: 10.1111/j.1442-2042.2006.01282.x.
6
Kaposi's sarcoma: HIV-negative man with isolated penile localization.
Indian J Pathol Microbiol. 2010 Jul-Sep;53(3):535-6. doi: 10.4103/0377-4929.68294.
7
Primary Classic Kaposi's Sarcoma of the Penis in an HIV-Negative Patient.
Korean J Urol. 2010 Nov;51(11):803-6. doi: 10.4111/kju.2010.51.11.803. Epub 2010 Nov 17.
8
Kaposi's sarcoma: An unusual penile lesion in a HIV negative patient.卡波西肉瘤:一名HIV阴性患者阴茎上的罕见病变。
Arch Ital Urol Androl. 2017 Jun 30;89(2):164-165. doi: 10.4081/aiua.2017.2.164.
9
Kaposi's sarcoma-associated herpesvirus-like DNA sequences (KSHV/HHV-8) in oral AIDS-Kaposi's sarcoma: a PCR and clinicopathologic study.口腔艾滋病相关卡波西肉瘤中卡波西肉瘤相关疱疹病毒样DNA序列(KSHV/HHV-8):一项聚合酶链反应及临床病理研究
Oral Surg Oral Med Oral Pathol Oral Radiol Endod. 1997 Feb;83(2):259-64. doi: 10.1016/s1079-2104(97)90014-7.
10
Isolated penile Kaposi's sarcoma in a HIV-positive patient stable on treatment for three years.一名接受治疗三年病情稳定的HIV阳性患者出现孤立性阴茎卡波西肉瘤。
Int J STD AIDS. 2014 Jul;25(8):607-10. doi: 10.1177/0956462413517494. Epub 2014 Feb 3.

本文引用的文献

1
Primary penile Kaposi's sarcoma in HIV-seronegative patient: a case report and literature review.HIV血清阴性患者的原发性阴茎卡波西肉瘤:一例报告及文献综述
Int Braz J Urol. 2020 Sep-Oct;46(5):825-842. doi: 10.1590/S1677-5538.IBJU.2020.05.03.
2
Atypical presentation of classic Kaposi sarcoma in circumcised penis presenting as an ulcerative nodule with human herpesvirus 8 (HHV8) positivity and successfully treated with only local excision.经典型卡波西肉瘤在包皮环切阴茎上的非典型表现,呈现为溃疡性结节,人疱疹病毒8(HHV8)阳性,仅通过局部切除成功治愈。
Infect Agent Cancer. 2019 Dec 2;14:45. doi: 10.1186/s13027-019-0261-6. eCollection 2019.
3
Patient presentation, differential diagnosis, and management of penile lesions.
阴茎病变的患者表现、鉴别诊断及处理
Can Urol Assoc J. 2019 Feb;13(2 Suppl 1):S2-S8. doi: 10.5489/cuaj.5712.
4
Kaposi sarcoma.卡波西肉瘤。
Nat Rev Dis Primers. 2019 Jan 31;5(1):9. doi: 10.1038/s41572-019-0060-9.
5
Penile Kaposi's sarcomas in a circumcised and HIV-seronegative patient.一名包皮环切且HIV血清学阴性患者的阴茎卡波西肉瘤。
Int J Urol. 2006 Mar;13(3):318-20. doi: 10.1111/j.1442-2042.2006.01282.x.
6
Primary classic Kaposi's sarcoma of the penis: report of a case and review.阴茎原发性经典型卡波西肉瘤:1例报告及文献复习
J Eur Acad Dermatol Venereol. 2003 May;17(3):320-3. doi: 10.1046/j.1468-3083.2003.00747.x.
7
Update on Kaposi's sarcoma and other HHV8 associated diseases. Part 1: epidemiology, environmental predispositions, clinical manifestations, and therapy.卡波西肉瘤及其他与人类疱疹病毒8型相关疾病的最新进展。第1部分:流行病学、环境易感性、临床表现及治疗
Lancet Infect Dis. 2002 May;2(5):281-92. doi: 10.1016/s1473-3099(02)00263-3.
8
A case of classical Kaposi's sarcoma of the penis showing a good response to high-energy pulsed carbon dioxide laser therapy.
J Dermatol. 1999 Apr;26(4):240-3. doi: 10.1111/j.1346-8138.1999.tb03464.x.
9
Herpesvirus-like DNA sequences detected in endemic, classic, iatrogenic and epidemic Kaposi's sarcoma (KS) biopsies.
Int J Cancer. 1996 Jan 3;65(1):25-8. doi: 10.1002/(SICI)1097-0215(19960103)65:1<25::AID-IJC5>3.0.CO;2-3.