• 文献检索
  • 文档翻译
  • 深度研究
  • 学术资讯
  • Suppr Zotero 插件Zotero 插件
  • 邀请有礼
  • 套餐&价格
  • 历史记录
应用&插件
Suppr Zotero 插件Zotero 插件浏览器插件Mac 客户端Windows 客户端微信小程序
定价
高级版会员购买积分包购买API积分包
服务
文献检索文档翻译深度研究API 文档MCP 服务
关于我们
关于 Suppr公司介绍联系我们用户协议隐私条款
关注我们

Suppr 超能文献

核心技术专利:CN118964589B侵权必究
粤ICP备2023148730 号-1Suppr @ 2026

文献检索

告别复杂PubMed语法,用中文像聊天一样搜索,搜遍4000万医学文献。AI智能推荐,让科研检索更轻松。

立即免费搜索

文件翻译

保留排版,准确专业,支持PDF/Word/PPT等文件格式,支持 12+语言互译。

免费翻译文档

深度研究

AI帮你快速写综述,25分钟生成高质量综述,智能提取关键信息,辅助科研写作。

立即免费体验

“PRUT”——一项尸体研究,旨在通过全面的文献综述来了解这种罕见的小儿肘部损伤的机制。

'PRUT' - A cadaveric study to understand the mechanism of this rare paediatric elbow injury with a comprehensive review of literature.

作者信息

Keny Swapnil, Modi Nihar, Haidermota Murtaza, Gokhale Nikhil, Khambatta Seema, Keny Aryan

机构信息

KB Bhabha Municipal Hospital, Bandra, Mumbai, Maharashtra, India.

Department of Orthopaedics, KB Bhabha Municipal Hospital, Bandra, Mumbai, Maharashtra, India.

出版信息

Trauma Case Rep. 2024 Jun 6;52:101067. doi: 10.1016/j.tcr.2024.101067. eCollection 2024 Aug.

DOI:10.1016/j.tcr.2024.101067
PMID:39021888
原文链接:https://pmc.ncbi.nlm.nih.gov/articles/PMC11252064/
Abstract

INTRODUCTION

Proximal radio-ulnar translocation (PRUT) with elbow dislocation, without a fracture, is an extremely unusual injury.

CASE

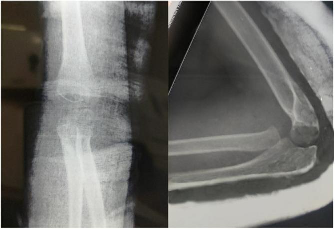
A 6-year-old female child presented to us with posterior elbow dislocation, PRUT and incomplete ulnar nerve palsy. A hematoma aspiration and reduction of the elbow joint were done with a hyper-supination manoeuvre to reverse the translocation. She was managed with an above-elbow cast for 4 weeks and showed good radiological and functional outcomes on subsequent follow-ups until 1 year.

CONCLUSION

Early recognition of PRUT and a thorough clinico-radiological assessment are mandatory when dealing with paediatric elbow injuries. Our cadaveric study with illustrations defines the mechanism of this rare injury for better understanding.

摘要

引言

近端桡尺关节脱位(PRUT)合并肘关节脱位且无骨折,是一种极其罕见的损伤。

病例

一名6岁女童因肘关节后脱位、PRUT和尺神经不完全麻痹前来就诊。进行了血肿抽吸及肘关节复位,并采用过度旋前手法来纠正脱位。她使用上臂石膏固定4周,在随后长达1年的随访中,影像学和功能恢复情况良好。

结论

处理小儿肘部损伤时,必须尽早识别PRUT并进行全面的临床影像学评估。我们的尸体研究及图示明确了这种罕见损伤的机制,以便更好地理解。

https://cdn.ncbi.nlm.nih.gov/pmc/blobs/343a/11252064/8a772ac6c36f/gr7.jpg
https://cdn.ncbi.nlm.nih.gov/pmc/blobs/343a/11252064/44f7a97f2bf6/gr1.jpg
https://cdn.ncbi.nlm.nih.gov/pmc/blobs/343a/11252064/ccd0c89ec361/gr2.jpg
https://cdn.ncbi.nlm.nih.gov/pmc/blobs/343a/11252064/b4c34d2f8769/gr3.jpg
https://cdn.ncbi.nlm.nih.gov/pmc/blobs/343a/11252064/92e936b60481/gr4.jpg
https://cdn.ncbi.nlm.nih.gov/pmc/blobs/343a/11252064/4ead4c511bb7/gr5.jpg
https://cdn.ncbi.nlm.nih.gov/pmc/blobs/343a/11252064/f371cdd733d8/gr6.jpg
https://cdn.ncbi.nlm.nih.gov/pmc/blobs/343a/11252064/8a772ac6c36f/gr7.jpg
https://cdn.ncbi.nlm.nih.gov/pmc/blobs/343a/11252064/44f7a97f2bf6/gr1.jpg
https://cdn.ncbi.nlm.nih.gov/pmc/blobs/343a/11252064/ccd0c89ec361/gr2.jpg
https://cdn.ncbi.nlm.nih.gov/pmc/blobs/343a/11252064/b4c34d2f8769/gr3.jpg
https://cdn.ncbi.nlm.nih.gov/pmc/blobs/343a/11252064/92e936b60481/gr4.jpg
https://cdn.ncbi.nlm.nih.gov/pmc/blobs/343a/11252064/4ead4c511bb7/gr5.jpg
https://cdn.ncbi.nlm.nih.gov/pmc/blobs/343a/11252064/f371cdd733d8/gr6.jpg
https://cdn.ncbi.nlm.nih.gov/pmc/blobs/343a/11252064/8a772ac6c36f/gr7.jpg

相似文献

1
'PRUT' - A cadaveric study to understand the mechanism of this rare paediatric elbow injury with a comprehensive review of literature.“PRUT”——一项尸体研究,旨在通过全面的文献综述来了解这种罕见的小儿肘部损伤的机制。
Trauma Case Rep. 2024 Jun 6;52:101067. doi: 10.1016/j.tcr.2024.101067. eCollection 2024 Aug.
2
Proximal Radioulnar Translocation Associated with Posterior Fracture-Dislocation of Elbow in an Adolescent Girl: A Case Report.青少年女性肘关节后脱位合并近端桡尺关节移位:一例报告
JBJS Case Connect. 2020 Jan-Mar;10(1):e0445. doi: 10.2106/JBJS.CC.18.00445.
3
Paediatric medial epicondyle fracture without elbow dislocation associated with intra-articular ulnar nerve entrapment.小儿无肘关节脱位的内侧髁上骨折伴关节内尺神经卡压
J Surg Case Rep. 2015 Nov 5;2015(11):rjv133. doi: 10.1093/jscr/rjv133.
4
Missed proximal radioulnar joint translocation with ulnar nerve entrapment: an unusual injury in a child.近端桡尺关节脱位伴尺神经卡压漏诊:儿童的一种罕见损伤。
J Pediatr Orthop B. 2019 Jan;28(1):79-84. doi: 10.1097/BPB.0000000000000556.
5
[Indication for Radial Head Resection in Traumatology].[创伤学中桡骨头切除术的适应症]
Acta Chir Orthop Traumatol Cech. 2018;85(3):186-193.
6
[Combined convergent elbow dislocation with posterior luxation of the humeroulnar joint and radial head comminuted fracture in adults].成人合并肘关节前脱位伴肱尺关节后脱位及桡骨头粉碎性骨折
Unfallchirurg. 2019 Sep;122(9):736-743. doi: 10.1007/s00113-019-0662-4.
7
Proximal radioulnar translocation associated with elbow dislocation and radial neck fracture in child: a case report and review of literature.儿童肘关节脱位合并桡骨颈骨折伴桡尺近端骨位移位 1 例报告并文献复习
Arch Orthop Trauma Surg. 2013 Oct;133(10):1425-9. doi: 10.1007/s00402-013-1820-8. Epub 2013 Jul 25.
8
Fractures of the Humeral Ulnar Condyle in Children - a Rare but Complicated Injury.儿童尺骨鹰嘴骨折 - 一种罕见但复杂的损伤。
Z Orthop Unfall. 2022 Apr;160(2):190-197. doi: 10.1055/a-1289-0910. Epub 2020 Nov 25.
9
Combined Posterior and Convergent Elbow Dislocation in Adult: A Rare Case Report.成人后肘部合并后脱位与会聚性脱位:1例罕见病例报告
J Orthop Case Rep. 2023 May;13(5):49-54. doi: 10.13107/jocr.2023.v13.i05.3642.
10
Subacute dislocation of the elbow following Galeazzi fracture-dislocation of the radius: A case report.桡骨盖氏骨折脱位后肘关节亚急性脱位:一例报告。
J Med Case Rep. 2011 Dec 20;5:589. doi: 10.1186/1752-1947-5-589.

引用本文的文献

1
Pediatric Proximal Radioulnar Translocation: A Case Report, Literature Review, and Technique for Successful Closed Reduction.小儿近端桡尺关节脱位:一例报告、文献综述及成功闭合复位技术
J Orthop Case Rep. 2025 Apr;15(4):108-114. doi: 10.13107/jocr.2025.v15.i04.5464.

本文引用的文献

1
A Rare Case of Traumatic Bilateral Elbow Dislocation Without a Fracture in a Seven-Year-Old Female Child.一名7岁女童双侧创伤性肘关节脱位且无骨折的罕见病例。
Cureus. 2021 Nov 11;13(11):e19459. doi: 10.7759/cureus.19459. eCollection 2021 Nov.
2
Trash Lesions Around the Elbow: A Review of Approach to Diagnosis and Management.肘部周围的垃圾病变:诊断与管理方法综述
Indian J Orthop. 2021 Mar 8;55(3):539-548. doi: 10.1007/s43465-020-00333-x. eCollection 2021 Jun.
3
[Isolated elbow dislocation in pediatric patients: non-operative treatment and complications associated with an infrequent pathology. Series of 4 cases].
[小儿肘关节单纯脱位:非手术治疗及与罕见病理相关的并发症。4例系列报道]
Arch Argent Pediatr. 2021 Apr;119(2):e133-e137. doi: 10.5546/aap.2021.e133.
4
Treatment strategy and long-term functional outcome of traumatic elbow dislocation in childhood: a single centre study.儿童创伤性肘关节脱位的治疗策略及长期功能结局:一项单中心研究
J Child Orthop. 2018 Apr 1;12(2):129-135. doi: 10.1302/1863-2548.12.170167.
5
Proximal radioulnar translocation associated with elbow dislocation and radial neck fracture in child: a case report and review of literature.儿童肘关节脱位合并桡骨颈骨折伴桡尺近端骨位移位 1 例报告并文献复习
Arch Orthop Trauma Surg. 2013 Oct;133(10):1425-9. doi: 10.1007/s00402-013-1820-8. Epub 2013 Jul 25.
6
Acute traumatic posterior elbow dislocation in children.儿童急性创伤性肘关节后脱位
J Pediatr Orthop B. 2012 Sep;21(5):474-81. doi: 10.1097/BPB.0b013e328354b08c.
7
Convergent radioulnar translocation with radial head fracture in a child: a case report and review of the literature.儿童桡骨头骨折合并桡尺骨近端同时移位 1 例报告并文献复习
J Orthop Trauma. 2012 Apr;26(4):e36-9. doi: 10.1097/BOT.0b013e31821d7fd5.
8
Pediatric elbow dislocation associated with proximal radioulnar translocation: a report of three cases and a review of the literature.
J Bone Joint Surg Am. 2010 Jul 21;92(8):1780-5. doi: 10.2106/JBJS.I.01694.
9
Isolated posterior elbow dislocation in a one-year-old child: a case report.一名一岁儿童的单纯性肘关节后脱位:病例报告
Acta Orthop Belg. 2009 Feb;75(1):133-5.
10
Elbow dislocation translocation in a child: a case report.儿童肘关节脱位移位:一例报告
J Shoulder Elbow Surg. 2007 Nov-Dec;16(6):e17-9. doi: 10.1016/j.jse.2006.10.008. Epub 2007 Apr 19.