• 文献检索
  • 文档翻译
  • 深度研究
  • 学术资讯
  • Suppr Zotero 插件Zotero 插件
  • 邀请有礼
  • 套餐&价格
  • 历史记录
应用&插件
Suppr Zotero 插件Zotero 插件浏览器插件Mac 客户端Windows 客户端微信小程序
定价
高级版会员购买积分包购买API积分包
服务
文献检索文档翻译深度研究API 文档MCP 服务
关于我们
关于 Suppr公司介绍联系我们用户协议隐私条款
关注我们

Suppr 超能文献

核心技术专利:CN118964589B侵权必究
粤ICP备2023148730 号-1Suppr @ 2026

文献检索

告别复杂PubMed语法,用中文像聊天一样搜索,搜遍4000万医学文献。AI智能推荐,让科研检索更轻松。

立即免费搜索

文件翻译

保留排版,准确专业,支持PDF/Word/PPT等文件格式,支持 12+语言互译。

免费翻译文档

深度研究

AI帮你快速写综述,25分钟生成高质量综述,智能提取关键信息,辅助科研写作。

立即免费体验

METTL1调节的LSM14A通过稳定DDX5促进胶质母细胞瘤的增殖和迁移。

METTL1-modulated LSM14A facilitates proliferation and migration in glioblastoma via the stabilization of DDX5.

作者信息

Wang Changyu, He Yan, Fang Xiang, Zhang Danyang, Huang Jinhai, Zhao Shuxin, Li Lun, Li Guangyu

机构信息

Department of Neurosurgery, The First Hospital of China Medical University, NO. 155 Nanjing North Street, Heping District, Shenyang 110002, China.

Department of Laboratory Animal Science, China Medical University, 110122, No. 77 Puhe Road, Shenyang North New Area, Shenyang, Liaoning Province, P.R. China.

出版信息

iScience. 2024 Jun 8;27(7):110225. doi: 10.1016/j.isci.2024.110225. eCollection 2024 Jul 19.

DOI:10.1016/j.isci.2024.110225
PMID:39040050
原文链接:https://pmc.ncbi.nlm.nih.gov/articles/PMC11261005/
Abstract

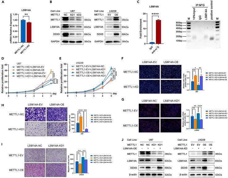
Glioblastoma (GBM) is characterized by aggressive growth, invasiveness, and poor prognosis. Elucidating the molecular mechanisms underlying GBM is crucial. This study explores the role of Sm-like protein 14 homolog A (LSM14A) in GBM. Bioinformatics and clinical tissue samples analysis demonstrated that overexpression of LSM14A in GBM correlates with poorer prognosis. CCK8, EdU, colony formation, and transwell assays revealed that LSM14A promotes proliferation, migration, and invasion in GBM . mouse xenograft models confirmed the results of the experiments. The mechanism of LSM14A modulating GBM cell proliferation was investigated using mass spectrometry, co-immunoprecipitation (coIP), protein half-life, and methylated RNA immunoprecipitation (MeRIP) analyses. The findings indicate that during the G1/S phase, LSM14A stabilizes DDX5 in the cytoplasm, regulating CDK4 and P21 levels. Furthermore, METTL1 modulates LSM14A expression via mRNA mG methylation. Altogether, our work highlights the METTL1-LSM14A-DDX5 pathway as a potential therapeutic target in GBM.

摘要

胶质母细胞瘤(GBM)具有生长侵袭性强和预后差的特点。阐明GBM潜在的分子机制至关重要。本研究探讨了类Sm蛋白14同源物A(LSM14A)在GBM中的作用。生物信息学和临床组织样本分析表明,GBM中LSM14A的过表达与较差的预后相关。CCK8、EdU、集落形成和Transwell实验表明,LSM14A促进GBM的增殖、迁移和侵袭。小鼠异种移植模型证实了实验结果。使用质谱、免疫共沉淀(coIP)、蛋白质半衰期和甲基化RNA免疫沉淀(MeRIP)分析研究了LSM14A调节GBM细胞增殖的机制。研究结果表明,在G1/S期,LSM14A在细胞质中稳定DDX5,调节CDK4和P21水平。此外,METTL1通过mRNA mG甲基化调节LSM14A的表达。总之,我们的研究突出了METTL1-LSM14A-DDX5通路作为GBM潜在治疗靶点的作用。

https://cdn.ncbi.nlm.nih.gov/pmc/blobs/3032/11261005/3f86853e9fbe/gr7.jpg
https://cdn.ncbi.nlm.nih.gov/pmc/blobs/3032/11261005/425528ae3ef5/fx1.jpg
https://cdn.ncbi.nlm.nih.gov/pmc/blobs/3032/11261005/7357a0192ea3/gr1.jpg
https://cdn.ncbi.nlm.nih.gov/pmc/blobs/3032/11261005/6970530b26a2/gr2.jpg
https://cdn.ncbi.nlm.nih.gov/pmc/blobs/3032/11261005/5fc00bb0e898/gr3.jpg
https://cdn.ncbi.nlm.nih.gov/pmc/blobs/3032/11261005/2cd0fc893b94/gr4.jpg
https://cdn.ncbi.nlm.nih.gov/pmc/blobs/3032/11261005/d6aa6af530e3/gr5.jpg
https://cdn.ncbi.nlm.nih.gov/pmc/blobs/3032/11261005/10be8fc00d97/gr6.jpg
https://cdn.ncbi.nlm.nih.gov/pmc/blobs/3032/11261005/3f86853e9fbe/gr7.jpg
https://cdn.ncbi.nlm.nih.gov/pmc/blobs/3032/11261005/425528ae3ef5/fx1.jpg
https://cdn.ncbi.nlm.nih.gov/pmc/blobs/3032/11261005/7357a0192ea3/gr1.jpg
https://cdn.ncbi.nlm.nih.gov/pmc/blobs/3032/11261005/6970530b26a2/gr2.jpg
https://cdn.ncbi.nlm.nih.gov/pmc/blobs/3032/11261005/5fc00bb0e898/gr3.jpg
https://cdn.ncbi.nlm.nih.gov/pmc/blobs/3032/11261005/2cd0fc893b94/gr4.jpg
https://cdn.ncbi.nlm.nih.gov/pmc/blobs/3032/11261005/d6aa6af530e3/gr5.jpg
https://cdn.ncbi.nlm.nih.gov/pmc/blobs/3032/11261005/10be8fc00d97/gr6.jpg
https://cdn.ncbi.nlm.nih.gov/pmc/blobs/3032/11261005/3f86853e9fbe/gr7.jpg

相似文献

1
METTL1-modulated LSM14A facilitates proliferation and migration in glioblastoma via the stabilization of DDX5.METTL1调节的LSM14A通过稳定DDX5促进胶质母细胞瘤的增殖和迁移。
iScience. 2024 Jun 8;27(7):110225. doi: 10.1016/j.isci.2024.110225. eCollection 2024 Jul 19.
2
UBE2T promotes glioblastoma invasion and migration via stabilizing GRP78 and regulating EMT.UBE2T 通过稳定 GRP78 和调节 EMT 促进脑胶质母细胞瘤的侵袭和迁移。
Aging (Albany NY). 2020 Jun 3;12(11):10275-10289. doi: 10.18632/aging.103239.
3
METTL1-mediated tRNA mG methylation and translational dysfunction restricts breast cancer tumorigenesis by fueling cell cycle blockade.METTL1 介导的 tRNA mG 甲基化和翻译功能障碍通过促进细胞周期阻滞来限制乳腺癌的肿瘤发生。
J Exp Clin Cancer Res. 2024 May 31;43(1):154. doi: 10.1186/s13046-024-03076-x.
4
Ubiquitination of p21 by E3 ligase RNF135 promotes the proliferation of human glioblastoma cells.E3 连接酶 RNF135 介导的 p21 泛素化促进人胶质母细胞瘤细胞的增殖。
Oncol Lett. 2024 Jun 27;28(3):406. doi: 10.3892/ol.2024.14539. eCollection 2024 Sep.
5
Mir-758-5p Suppresses Glioblastoma Proliferation, Migration and Invasion by Targeting ZBTB20.Mir-758-5p通过靶向ZBTB20抑制胶质母细胞瘤的增殖、迁移和侵袭。
Cell Physiol Biochem. 2018;48(5):2074-2083. doi: 10.1159/000492545. Epub 2018 Aug 10.
6
Stabilization of KPNB1 by deubiquitinase USP7 promotes glioblastoma progression through the YBX1-NLGN3 axis.去泛素化酶 USP7 通过稳定 KPNB1 促进神经胶质瘤的进展通过 YBX1-NLGN3 轴。
J Exp Clin Cancer Res. 2024 Jan 23;43(1):28. doi: 10.1186/s13046-024-02954-8.
7
ZWINT: A potential therapeutic biomarker in patients with glioblastoma correlates with cell proliferation and invasion.ZWINT:胶质母细胞瘤患者的潜在治疗性生物标志物与细胞增殖和侵袭相关。
Oncol Rep. 2020 Jun;43(6):1831-1844. doi: 10.3892/or.2020.7573. Epub 2020 Apr 2.
8
DNA-methylation-mediated activating of lncRNA SNHG12 promotes temozolomide resistance in glioblastoma.DNA 甲基化介导的长链非编码 RNA SNHG12 的激活促进胶质母细胞瘤对替莫唑胺的耐药性。
Mol Cancer. 2020 Feb 10;19(1):28. doi: 10.1186/s12943-020-1137-5.
9
Overexpression of HOXC10 promotes glioblastoma cell progression to a poor prognosis via the PI3K/AKT signalling pathway.HOXC10 的过表达通过 PI3K/AKT 信号通路促进胶质母细胞瘤细胞向不良预后进展。
J Drug Target. 2019 Jan;27(1):60-66. doi: 10.1080/1061186X.2018.1473408. Epub 2018 Aug 6.
10
Autophagy-related CMTM6 promotes glioblastoma progression by activating Wnt/β-catenin pathway and acts as an onco-immunological biomarker.自噬相关的CMTM6 通过激活 Wnt/β-catenin 通路促进胶质母细胞瘤的进展,并作为一种癌免疫生物学标志物。
J Gene Med. 2024 May;26(5):e3685. doi: 10.1002/jgm.3685.

引用本文的文献

1
METTL1 in human cancers: recognition of their functions, mechanisms and therapeutic value.人类癌症中的METTL1:对其功能、机制及治疗价值的认识
Oncol Rev. 2025 Jul 30;19:1637372. doi: 10.3389/or.2025.1637372. eCollection 2025.
2
N7-methylguanosine modification in cancers: from mechanisms to therapeutic potential.癌症中的N7-甲基鸟苷修饰:从机制到治疗潜力
J Hematol Oncol. 2025 Jan 29;18(1):12. doi: 10.1186/s13045-025-01665-7.

本文引用的文献

1
Role of the DEAD-box RNA helicase DDX5 (p68) in cancer DNA repair, immune suppression, cancer metabolic control, virus infection promotion, and human microbiome (microbiota) negative influence.DEAD-box RNA 解旋酶 DDX5(p68)在癌症 DNA 修复、免疫抑制、癌症代谢控制、病毒感染促进以及对人类微生物组(微生物群)的负面影响中的作用。
J Exp Clin Cancer Res. 2023 Aug 19;42(1):213. doi: 10.1186/s13046-023-02787-x.
2
QKI shuttles internal mG-modified transcripts into stress granules and modulates mRNA metabolism.QKI 将内源性 mG 修饰的转录本穿梭到应激颗粒中,并调节 mRNA 代谢。
Cell. 2023 Jul 20;186(15):3208-3226.e27. doi: 10.1016/j.cell.2023.05.047. Epub 2023 Jun 27.
3
Yin and yang regulation of stress granules by Caprin-1.
Caprin-1 对应激颗粒的阴阳调控。
Proc Natl Acad Sci U S A. 2022 Nov;119(44):e2207975119. doi: 10.1073/pnas.2207975119. Epub 2022 Oct 24.
4
METTL1 promotes neuroblastoma development through mG tRNA modification and selective oncogenic gene translation.METTL1通过修饰线粒体tRNA和选择性致癌基因翻译促进神经母细胞瘤的发展。
Biomark Res. 2022 Sep 7;10(1):68. doi: 10.1186/s40364-022-00414-z.
5
Novel roles of METTL1/WDR4 in tumor via mG methylation.METTL1/WDR4通过m⁶A甲基化在肿瘤中的新作用。
Mol Ther Oncolytics. 2022 Jun 7;26:27-34. doi: 10.1016/j.omto.2022.05.009. eCollection 2022 Sep 15.
6
Identification of LSM Family Members as Novel Unfavorable Biomarkers in Hepatocellular Carcinoma.鉴定LSM家族成员作为肝细胞癌中新的不良生物标志物
Front Oncol. 2022 May 12;12:871771. doi: 10.3389/fonc.2022.871771. eCollection 2022.
7
Prognostic role of METTL1 in glioma.METTL1在胶质瘤中的预后作用。
Cancer Cell Int. 2021 Nov 27;21(1):633. doi: 10.1186/s12935-021-02346-4.
8
LncPSCA in the 8q24.3 risk locus drives gastric cancer through destabilizing DDX5.LncPSCA 在 8q24.3 风险位点通过使 DDX5 不稳定来驱动胃癌。
EMBO Rep. 2021 Nov 4;22(11):e52707. doi: 10.15252/embr.202152707. Epub 2021 Sep 2.
9
METTL1-mediated mG modification of Arg-TCT tRNA drives oncogenic transformation.METTL1 介导的 Arg-TCT tRNA 的 mG 修饰驱动致癌转化。
Mol Cell. 2021 Aug 19;81(16):3323-3338.e14. doi: 10.1016/j.molcel.2021.06.031. Epub 2021 Aug 4.
10
DEAD-Box RNA Helicases in Cell Cycle Control and Clinical Therapy.细胞周期调控与临床治疗中的 DEAD-Box RNA 解旋酶。
Cells. 2021 Jun 18;10(6):1540. doi: 10.3390/cells10061540.