• 文献检索
  • 文档翻译
  • 深度研究
  • 学术资讯
  • Suppr Zotero 插件Zotero 插件
  • 邀请有礼
  • 套餐&价格
  • 历史记录
应用&插件
Suppr Zotero 插件Zotero 插件浏览器插件Mac 客户端Windows 客户端微信小程序
定价
高级版会员购买积分包购买API积分包
服务
文献检索文档翻译深度研究API 文档MCP 服务
关于我们
关于 Suppr公司介绍联系我们用户协议隐私条款
关注我们

Suppr 超能文献

核心技术专利:CN118964589B侵权必究
粤ICP备2023148730 号-1Suppr @ 2026

文献检索

告别复杂PubMed语法,用中文像聊天一样搜索,搜遍4000万医学文献。AI智能推荐,让科研检索更轻松。

立即免费搜索

文件翻译

保留排版,准确专业,支持PDF/Word/PPT等文件格式,支持 12+语言互译。

免费翻译文档

深度研究

AI帮你快速写综述,25分钟生成高质量综述,智能提取关键信息,辅助科研写作。

立即免费体验

无症状且缓慢进展的抗MDA5间质性肺疾病:三例有别于典型快速进展性间质性肺疾病的病例报告

Asymptomatic and slowly progressive anti-MDA5 ILD: A report of three cases deviating from a notoriously rapidly progressive ILD.

作者信息

Puthumana Rose M, Koch Abigail L, Schettino Christopher, Vehar Susan J

机构信息

Department of Medicine, University of Miami Miller School of Medicine, Miami, FL, USA.

Division of Pulmonary, Critical Care and Sleep Medicine, University of Miami Miller School of Medicine, Miami, FL, USA.

出版信息

Respir Med Case Rep. 2024 Jun 18;51:102072. doi: 10.1016/j.rmcr.2024.102072. eCollection 2024.

DOI:10.1016/j.rmcr.2024.102072
PMID:39040087
原文链接:https://pmc.ncbi.nlm.nih.gov/articles/PMC11261436/
Abstract

BACKGROUND

Anti-melanoma differentiation-associated gene 5-positive (anti-MDA5) dermatomyositis (DM) is a rare autoimmune disease associated with rapidly-progressive interstitial lung disease (RP-ILD.) The reported morbidity and 6-month mortality remains high from 33 to 66 % with RP-ILD most often developing within three months of diagnosis. Most cases require aggressive immunosuppression with combination therapy. Asymptomatic or slowly progressive cases of anti-MDA5 ILD are not well described in the literature. We report three cases of Latino patients with asymptomatic or slowly progressive anti-MDA5 ILD..

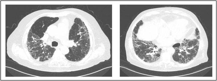
CASE 1: A 54-year-old woman from Honduras with known diagnosis of anti-MDA5 dermatomyositis presented for ILD. She denied respiratory symptoms. Computed tomography (CT) chest showed multifocal patchy areas of scattered groundglass opacities throughout all lobes of the lungs, predominately in a subpleural distribution within the lower lobes. Pulmonary function testing (PFTs) showed mild-to-moderate restriction. She was treated with mycophenolate mofetil monotherapy for her skin manifestations. At 18 months follow-up, she denied respiratory symptoms, and PFTs were normal.

CASE 2: An 80-year-old man from Cuba was seen in pulmonary clinic to establish care. He was diagnosed with pulmonary fibrosis 11 years earlier with positive anti-MDA5. He denied respiratory symptoms. PFTs showed moderate obstruction and mild to moderate restriction. CT chest showed reduced lung volumes and findings compatible with usual interstitial pneumonia. He was started on nintedanib. Fifteen months following the initial visit, his PFTs remained stable. Follow-up CT chest showed stable pulmonary fibrosis. At all subsequent visits, he reported mild to moderate, slowly progressive dyspnea on exertion and was maintained on nintedanib. Thirteen years after his initial ILD diagnosis, he was diagnosed with pancreatic adenocarcinoma.

CASE 3: A 70-year-old woman from Peru presented to pulmonary clinic with cough for two months. She also reported pain in several metacarpophalangeal joints. She denied dyspnea. Rheumatologic serologies revealed positive anti-MDA5. PFTs were normal. Her cough was treated with cough suppressants and resolved. At a subsequent visit 8 months after presentation, she denied respiratory symptoms, and her joint pain remained mild. Given her lack of respiratory symptoms and normal PFTs, she was not initiated on ILD-specific treatment.

CONCLUSIONS

While anti-MDA5 ILD is certainly associated with RP-ILD, clinicians should maintain awareness that there may be cases of asymptomatic or slowly progressive ILD as well.

摘要

背景

抗黑色素瘤分化相关基因5阳性(抗MDA5)皮肌炎(DM)是一种罕见的自身免疫性疾病,与快速进展性间质性肺病(RP-ILD)相关。据报道,RP-ILD的发病率和6个月死亡率仍然很高,为33%至66%,且RP-ILD最常发生在诊断后的三个月内。大多数病例需要联合使用积极的免疫抑制疗法。无症状或缓慢进展的抗MDA5间质性肺病病例在文献中描述较少。我们报告了三例拉丁裔无症状或缓慢进展的抗MDA5间质性肺病患者。

病例1:一名来自洪都拉斯的54岁女性,已知患有抗MDA5皮肌炎,因间质性肺病前来就诊。她否认有呼吸道症状。胸部计算机断层扫描(CT)显示,肺部所有叶均有多发散在的斑片状磨玻璃影,主要分布在下叶的胸膜下区域。肺功能测试(PFTs)显示轻度至中度受限。她因皮肤表现接受霉酚酸酯单药治疗。在18个月的随访中,她否认有呼吸道症状,且肺功能测试结果正常。

病例2:一名来自古巴的80岁男性在肺部诊所就诊以建立治疗方案。他11年前被诊断为肺纤维化,抗MDA5阳性。他否认有呼吸道症状。肺功能测试显示中度阻塞和轻度至中度受限。胸部CT显示肺容积减小,结果符合普通间质性肺炎。他开始使用尼达尼布治疗。初次就诊15个月后,他的肺功能测试结果保持稳定。随访胸部CT显示肺纤维化稳定。在所有后续就诊中,他报告有轻度至中度、缓慢进展的劳力性呼吸困难,并继续使用尼达尼布治疗。在他最初被诊断为间质性肺病13年后,他被诊断出患有胰腺腺癌。

病例3:一名来自秘鲁的70岁女性因咳嗽两个月就诊于肺部诊所。她还报告了几个掌指关节疼痛。她否认有呼吸困难。风湿血清学检查显示抗MDA5阳性。肺功能测试结果正常。她的咳嗽用止咳药治疗后缓解。在就诊后8个月的一次后续就诊中,她否认有呼吸道症状,且关节疼痛仍较轻。鉴于她没有呼吸道症状且肺功能测试结果正常,未对她启动间质性肺病特异性治疗。

结论

虽然抗MDA5间质性肺病肯定与RP-ILD相关,但临床医生应意识到也可能存在无症状或缓慢进展的间质性肺病病例。

https://cdn.ncbi.nlm.nih.gov/pmc/blobs/1baf/11261436/f6a5f975f549/gr7.jpg
https://cdn.ncbi.nlm.nih.gov/pmc/blobs/1baf/11261436/66c36d99a3f7/gr1.jpg
https://cdn.ncbi.nlm.nih.gov/pmc/blobs/1baf/11261436/336b8b114242/gr2.jpg
https://cdn.ncbi.nlm.nih.gov/pmc/blobs/1baf/11261436/e54c7d0ad43c/gr5.jpg
https://cdn.ncbi.nlm.nih.gov/pmc/blobs/1baf/11261436/b2aed8d2f5e2/gr3.jpg
https://cdn.ncbi.nlm.nih.gov/pmc/blobs/1baf/11261436/3aec42dd4078/gr6.jpg
https://cdn.ncbi.nlm.nih.gov/pmc/blobs/1baf/11261436/ee16e7a2b5b6/gr4.jpg
https://cdn.ncbi.nlm.nih.gov/pmc/blobs/1baf/11261436/f6a5f975f549/gr7.jpg
https://cdn.ncbi.nlm.nih.gov/pmc/blobs/1baf/11261436/66c36d99a3f7/gr1.jpg
https://cdn.ncbi.nlm.nih.gov/pmc/blobs/1baf/11261436/336b8b114242/gr2.jpg
https://cdn.ncbi.nlm.nih.gov/pmc/blobs/1baf/11261436/e54c7d0ad43c/gr5.jpg
https://cdn.ncbi.nlm.nih.gov/pmc/blobs/1baf/11261436/b2aed8d2f5e2/gr3.jpg
https://cdn.ncbi.nlm.nih.gov/pmc/blobs/1baf/11261436/3aec42dd4078/gr6.jpg
https://cdn.ncbi.nlm.nih.gov/pmc/blobs/1baf/11261436/ee16e7a2b5b6/gr4.jpg
https://cdn.ncbi.nlm.nih.gov/pmc/blobs/1baf/11261436/f6a5f975f549/gr7.jpg

相似文献

1
Asymptomatic and slowly progressive anti-MDA5 ILD: A report of three cases deviating from a notoriously rapidly progressive ILD.无症状且缓慢进展的抗MDA5间质性肺疾病:三例有别于典型快速进展性间质性肺疾病的病例报告
Respir Med Case Rep. 2024 Jun 18;51:102072. doi: 10.1016/j.rmcr.2024.102072. eCollection 2024.
2
Successful rituximab treatment for severe rapidly progressive interstitial lung disease with anti-MDA5 antibody-positive juvenile dermatomyositis: a case report and literature review.成功使用利妥昔单抗治疗抗 MDA5 抗体阳性的儿童皮肌炎伴严重快速进展性间质性肺病:病例报告及文献复习。
Pediatr Rheumatol Online J. 2022 Aug 4;20(1):60. doi: 10.1186/s12969-022-00723-5.
3
Adolescent-onset anti-MDA5 antibody-positive juvenile dermatomyositis with rapidly progressive interstitial lung disease and spontaneous pneumomediastinum: a case report and literature review.青少年发病的抗 MDA5 抗体阳性的少年皮肌炎伴快速进展性间质性肺病和自发性纵隔气肿:病例报告及文献复习。
Pediatr Rheumatol Online J. 2021 Jun 30;19(1):103. doi: 10.1186/s12969-021-00595-1.
4
Successful Treatment of Anti-MDA5 Antibody-Positive Dermatomyositis-Associated Rapidly Progressive-Interstitial Lung Disease by Plasma Exchange: Two Case Reports.血浆置换成功治疗抗MDA5抗体阳性皮肌炎相关快速进展性间质性肺病:两例报告
Clin Med Insights Case Rep. 2021 Jul 27;14:11795476211036322. doi: 10.1177/11795476211036322. eCollection 2021.
5
[Value of serum YKL-40 in the diagnosis of anti-MDA5-positive patients with dermatomyositis complicated with severe pulmonary injury].血清YKL-40在抗MDA5阳性皮肌炎合并严重肺损伤患者诊断中的价值
Beijing Da Xue Xue Bao Yi Xue Ban. 2021 Dec 18;53(6):1055-1060. doi: 10.19723/j.issn.1671-167X.2021.06.008.
6
Clinical spectrum and therapeutics in Canadian patients with anti-melanoma differentiation-associated gene 5 (MDA5)-positive dermatomyositis: a case-based review.加拿大抗黑色素瘤分化相关基因 5(MDA5)阳性皮肌炎患者的临床特征和治疗:基于病例的回顾性研究。
Rheumatol Int. 2019 Nov;39(11):1971-1981. doi: 10.1007/s00296-019-04398-2. Epub 2019 Aug 2.
7
Clinical characteristics of anti-MDA5 antibody-positive interstitial lung disease.抗MDA5抗体阳性间质性肺病的临床特征
Respirol Case Rep. 2020 Dec 14;9(1):e00701. doi: 10.1002/rcr2.701. eCollection 2021 Jan.
8
Slowly progressive interstitial lung disease preceding typical dermatomyositis symptoms in anti-melanoma differentiation-associated gene 5 antibody-positive clinically amyopathic dermatomyositis.在抗黑色素瘤分化相关基因5抗体阳性的临床无肌病性皮肌炎中,典型皮肌炎症状出现之前的缓慢进展性间质性肺疾病。
Respir Med Case Rep. 2021 Jul 27;34:101491. doi: 10.1016/j.rmcr.2021.101491. eCollection 2021.
9
Clinical Features of Anti-MDA5 Antibody-positive Rapidly Progressive Interstitial Lung Disease without Signs of Dermatomyositis.无皮肌炎体征的抗MDA5抗体阳性快速进展性间质性肺病的临床特征
Intern Med. 2019 Mar 15;58(6):837-841. doi: 10.2169/internalmedicine.1516-18. Epub 2018 Nov 19.
10
Extended-Release Tofacitinib Therapy for a MDA5 Antibody-Positive Amyopathic Dermatomyositis Patient with Early-Stage Interstitial Lung Disease.托法替布缓释制剂治疗一名MDA5抗体阳性的无肌病性皮肌炎合并早期间质性肺疾病患者
Immunotargets Ther. 2023 Dec 20;12:187-192. doi: 10.2147/ITT.S445971. eCollection 2023.

引用本文的文献

1
Anti- Melanoma Differentiation-Associated Gene 5 Antibody Positive Dermatomyositis: Recent Progress in Pathophysiology and Treatment.抗黑色素瘤分化相关基因5抗体阳性皮肌炎:病理生理学与治疗的最新进展
Curr Rheumatol Rep. 2025 May 5;27(1):23. doi: 10.1007/s11926-025-01188-7.

本文引用的文献

1
Anti-MDA5 Associated Clinically Amyopathic Dermatomyositis With Rapidly Progressive Interstitial Lung Disease.抗MDA5抗体相关临床无肌病性皮肌炎伴快速进展性间质性肺病
J Med Cases. 2022 Aug;13(8):374-379. doi: 10.14740/jmc3965. Epub 2022 Aug 19.
2
MDA5 expression is associated with TGF-β-induced fibrosis: potential mechanism of interstitial lung disease in anti-MDA5 dermatomyositis.黑色素瘤分化相关基因5(MDA5)表达与转化生长因子-β(TGF-β)诱导的纤维化相关:抗MDA5皮肌炎间质性肺病的潜在机制
Rheumatology (Oxford). 2022 Dec 23;62(1):373-383. doi: 10.1093/rheumatology/keac234.
3
Slowly progressive interstitial lung disease preceding typical dermatomyositis symptoms in anti-melanoma differentiation-associated gene 5 antibody-positive clinically amyopathic dermatomyositis.
在抗黑色素瘤分化相关基因5抗体阳性的临床无肌病性皮肌炎中,典型皮肌炎症状出现之前的缓慢进展性间质性肺疾病。
Respir Med Case Rep. 2021 Jul 27;34:101491. doi: 10.1016/j.rmcr.2021.101491. eCollection 2021.
4
Management of Myositis-Associated Interstitial Lung Disease.肌炎相关间质性肺疾病的管理
Medicina (Kaunas). 2021 Apr 3;57(4):347. doi: 10.3390/medicina57040347.
5
Interstitial Lung Disease in Anti-MDA5 Positive Dermatomyositis.抗 MDA5 阳性皮肌炎中的间质性肺病。
Clin Rev Allergy Immunol. 2021 Apr;60(2):293-304. doi: 10.1007/s12016-020-08822-5. Epub 2021 Jan 6.
6
Prognostic values of anti-Ro52 antibodies in anti-MDA5-positive clinically amyopathic dermatomyositis associated with interstitial lung disease.抗 MDA5 阳性伴间质性肺病的无肌病性皮肌炎中抗 Ro52 抗体的预后价值。
Rheumatology (Oxford). 2021 Jul 1;60(7):3343-3351. doi: 10.1093/rheumatology/keaa786.
7
Risk Prediction Modeling Based on a Combination of Initial Serum Biomarker Levels in Polymyositis/Dermatomyositis-Associated Interstitial Lung Disease.基于多发性肌炎/皮肌炎相关性间质性肺病初始血清生物标志物水平组合的风险预测模型。
Arthritis Rheumatol. 2021 Apr;73(4):677-686. doi: 10.1002/art.41566. Epub 2021 Feb 22.
8
Different phenotypes in dermatomyositis associated with anti-MDA5 antibody: Study of 121 cases.抗 MDA5 抗体相关皮肌炎的不同表型:121 例研究。
Neurology. 2020 Jul 7;95(1):e70-e78. doi: 10.1212/WNL.0000000000009727. Epub 2020 Jun 2.
9
Mortality Risk Prediction in Amyopathic Dermatomyositis Associated With Interstitial Lung Disease: The FLAIR Model.无肌病性皮肌炎相关间质性肺病患者的死亡率预测:FLAIR 模型。
Chest. 2020 Oct;158(4):1535-1545. doi: 10.1016/j.chest.2020.04.057. Epub 2020 May 16.
10
The diagnosis and classification of amyopathic dermatomyositis: a historical review and assessment of existing criteria.无肌病性皮肌炎的诊断和分类:历史回顾和现有标准评估。
Br J Dermatol. 2019 May;180(5):1001-1008. doi: 10.1111/bjd.17536. Epub 2019 Feb 25.