• 文献检索
  • 文档翻译
  • 深度研究
  • 学术资讯
  • Suppr Zotero 插件Zotero 插件
  • 邀请有礼
  • 套餐&价格
  • 历史记录
应用&插件
Suppr Zotero 插件Zotero 插件浏览器插件Mac 客户端Windows 客户端微信小程序
定价
高级版会员购买积分包购买API积分包
服务
文献检索文档翻译深度研究API 文档MCP 服务
关于我们
关于 Suppr公司介绍联系我们用户协议隐私条款
关注我们

Suppr 超能文献

核心技术专利:CN118964589B侵权必究
粤ICP备2023148730 号-1Suppr @ 2026

文献检索

告别复杂PubMed语法,用中文像聊天一样搜索,搜遍4000万医学文献。AI智能推荐,让科研检索更轻松。

立即免费搜索

文件翻译

保留排版,准确专业,支持PDF/Word/PPT等文件格式,支持 12+语言互译。

免费翻译文档

深度研究

AI帮你快速写综述,25分钟生成高质量综述,智能提取关键信息,辅助科研写作。

立即免费体验

使用组织学和免疫组织化学特征评估慢性淋巴细胞白血病/小淋巴细胞淋巴瘤的加速和转化:病例系列。

Assessment for acceleration and transformation of chronic lymphocytic leukemia/small lymphocytic lymphoma using histologic and immunohistochemical features: a case series.

机构信息

Department of Pathology and Laboratory Medicine, University of Virginia, 1215 Lee Street, 3rdFloor Hospital Expansion, Charlottesville, VA, 22908, USA.

出版信息

J Hematop. 2024 Sep;17(3):139-147. doi: 10.1007/s12308-024-00598-3. Epub 2024 Jul 23.

DOI:10.1007/s12308-024-00598-3
PMID:39042242
原文链接:https://pmc.ncbi.nlm.nih.gov/articles/PMC11324784/
Abstract

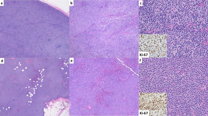
Morphologic features of aggressive/ "accelerated" chronic lymphocytic leukemia/small lymphocytic lymphoma (aCLL/SLL) have been described. Richter transformation (RT) also occurs in a subset of CLL/SLL cases. This case series examined inter-observer variability when assessing for aCLL/SLL and RT, with attention to how immunohistochemical (IHC) markers may assist in this evaluation. Twelve cases of CLL/SLL with available FFPE tissue were identified. H&E staining and IHC (CD3, CD20, CD5, CD23, LEF1, LAG3, C-MYC, PD-1, MUM1, Cyclin D1, BCL-6, p53, and Ki-67) were performed. Three hematopathologists reviewed each case. The pathologists provided a final interpretation of (1) CLL/SLL, (2) CLL/SLL with expanded and/or confluent proliferation centers or increased Ki-67 (aCLL/SLL), or (3) large cell transformation/DLBCL. The pathologists lacked consensus in the diagnosis in 6/12 cases (50%). The reviewers disagreed on the presence of expanded/confluent proliferation centers in 8/12 cases (67%). With the exception of Ki-67, no IHC marker showed a difference in the staining profile in aCLL/SLL or RT compared to low-grade cases. This series showed inter-observer variability in the evaluation for aCLL/SLL and RT. A study that serially examines genetic alterations in FFPE tissue and correlates the features with histology and IHC, at diagnosis and throughout the disease course, may help refine indicators of aggressive disease.

摘要

侵袭性/“加速”慢性淋巴细胞白血病/小淋巴细胞淋巴瘤(aCLL/SLL)的形态学特征已有描述。Richter 转化(RT)也发生在一部分 CLL/SLL 病例中。本病例系列研究了评估 aCLL/SLL 和 RT 时的观察者间变异性,并关注免疫组织化学(IHC)标志物如何协助这一评估。确定了 12 例具有可用 FFPE 组织的 CLL/SLL 病例。进行了 H&E 染色和 IHC(CD3、CD20、CD5、CD23、LEF1、LAG3、C-MYC、PD-1、MUM1、Cyclin D1、BCL-6、p53 和 Ki-67)。三位血液病理学家审查了每个病例。病理学家对(1)CLL/SLL、(2)具有扩大和/或融合性增殖中心或 Ki-67 增加的 CLL/SLL(aCLL/SLL),或(3)大细胞转化/DLBCL 提供最终解释。在 6/12 例(50%)病例中,病理学家的诊断不一致。在 8/12 例(67%)病例中,审查者对是否存在扩大/融合性增殖中心存在分歧。除了 Ki-67 之外,没有任何 IHC 标志物在 aCLL/SLL 或 RT 与低级别病例的染色模式上显示出差异。本系列研究表明,在评估 aCLL/SLL 和 RT 时存在观察者间变异性。一项在 FFPE 组织中连续检查遗传改变并将特征与组织学和 IHC 相关联的研究,在诊断时和整个疾病过程中,可能有助于细化侵袭性疾病的指标。

https://cdn.ncbi.nlm.nih.gov/pmc/blobs/66ae/11324784/690de029ee46/12308_2024_598_Fig2_HTML.jpg
https://cdn.ncbi.nlm.nih.gov/pmc/blobs/66ae/11324784/593170f1085b/12308_2024_598_Fig1_HTML.jpg
https://cdn.ncbi.nlm.nih.gov/pmc/blobs/66ae/11324784/690de029ee46/12308_2024_598_Fig2_HTML.jpg
https://cdn.ncbi.nlm.nih.gov/pmc/blobs/66ae/11324784/593170f1085b/12308_2024_598_Fig1_HTML.jpg
https://cdn.ncbi.nlm.nih.gov/pmc/blobs/66ae/11324784/690de029ee46/12308_2024_598_Fig2_HTML.jpg

相似文献

1
Assessment for acceleration and transformation of chronic lymphocytic leukemia/small lymphocytic lymphoma using histologic and immunohistochemical features: a case series.使用组织学和免疫组织化学特征评估慢性淋巴细胞白血病/小淋巴细胞淋巴瘤的加速和转化:病例系列。
J Hematop. 2024 Sep;17(3):139-147. doi: 10.1007/s12308-024-00598-3. Epub 2024 Jul 23.
2
PD-1 Expression in Chronic Lymphocytic Leukemia/Small Lymphocytic Lymphoma (CLL/SLL) and Large B-cell Richter Transformation (DLBCL-RT): A Characteristic Feature of DLBCL-RT and Potential Surrogate Marker for Clonal Relatedness.PD-1 在慢性淋巴细胞白血病/小淋巴细胞淋巴瘤 (CLL/SLL) 和大 B 细胞 Richter 转化 (DLBCL-RT) 中的表达:DLBCL-RT 的特征性特征和潜在的克隆相关性替代标志物。
Am J Surg Pathol. 2018 Jul;42(7):843-854. doi: 10.1097/PAS.0000000000001077.
3
Diagnosis and prognosis of B-cell chronic lymphocytic leukemia/small lymphocytic lymphoma (B-CLL/SLL) and mantle cell lymphoma (MCL).B 细胞慢性淋巴细胞白血病/小淋巴细胞淋巴瘤(B-CLL/SLL)和套细胞淋巴瘤(MCL)的诊断与预后
J Egypt Natl Canc Inst. 2005 Dec;17(4):279-90.
4
Artificial intelligence strategy integrating morphologic and architectural biomarkers provides robust diagnostic accuracy for disease progression in chronic lymphocytic leukemia.人工智能策略整合形态学和结构生物标志物为慢性淋巴细胞白血病的疾病进展提供了强大的诊断准确性。
J Pathol. 2022 Jan;256(1):4-14. doi: 10.1002/path.5795. Epub 2021 Oct 25.
5
Cytomorphologic spectrum of small lymphocytic lymphoma in patients with an accelerated clinical course.临床病程加速的小淋巴细胞淋巴瘤患者的细胞形态学谱
Cancer. 2003 Oct 25;99(5):293-300. doi: 10.1002/cncr.11441.
6
Clinicopathological Study of PD-1/PD-L1 Expression in Chronic Lymphocytic Leukemia/Small Lymphocytic Lymphoma (CLL/SLL) with Emphasis on Large B-Cell Richter Transformation.慢性淋巴细胞白血病/小淋巴细胞淋巴瘤(CLL/SLL)中 PD-1/PD-L1 表达的临床病理研究,重点是大 B 细胞 Richter 转化。
Asian Pac J Cancer Prev. 2023 Dec 1;24(12):4243-4252. doi: 10.31557/APJCP.2023.24.12.4243.
7
Cyclin D1 expression by histiocytes may mimic cyclin D1-positive proliferation centres of chronic lymphocytic leukaemia/small lymphocytic lymphoma.组织细胞中的细胞周期蛋白 D1 表达可能类似于慢性淋巴细胞白血病/小淋巴细胞淋巴瘤的细胞周期蛋白 D1 阳性增殖中心。
Pathol Res Pract. 2018 Jan;214(1):72-75. doi: 10.1016/j.prp.2017.11.010. Epub 2017 Nov 16.
8
Most morphologic features in chronic lymphocytic leukemia/small lymphocytic lymphoma (CLL/SLL) do not reliably predict underlying FISH genetics or immunoglobulin heavy chain variable region somatic mutational status.慢性淋巴细胞白血病/小淋巴细胞淋巴瘤(CLL/SLL)的大多数形态学特征无法可靠地预测潜在的荧光原位杂交(FISH)遗传学或免疫球蛋白重链可变区体细胞突变状态。
Appl Immunohistochem Mol Morphol. 2010 Mar;18(2):119-27. doi: 10.1097/PAI.0b013e3181bbd5d5.
9
Progression and transformation of chronic lymphocytic leukemia/small lymphocytic lymphoma and B-cell prolymphocytic leukemia: Report from the 2021 SH/EAHP Workshop.慢性淋巴细胞白血病/小淋巴细胞淋巴瘤和 B 细胞幼淋巴细胞白血病的进展和转化:来自 2021 年 SH/EAHP 研讨会的报告。
Am J Clin Pathol. 2023 Jun 1;159(6):554-571. doi: 10.1093/ajcp/aqad027.
10
Outcomes of Richter's transformation of chronic lymphocytic leukemia/small lymphocytic lymphoma (CLL/SLL): an analysis of the SEER database.里希特转化型慢性淋巴细胞白血病/小淋巴细胞淋巴瘤(CLL/SLL)的结局:SEER 数据库分析。
Ann Hematol. 2021 Oct;100(10):2513-2519. doi: 10.1007/s00277-021-04603-y. Epub 2021 Jul 19.

引用本文的文献

1
Accelerated Chronic Lymphocytic Leukaemia with aggressive disease progression and Richter's transformation: a potential novel diagnostic application of [Ga]Ga-PentixaFor PET/CT demonstrating high in-vivo CXCR- 4 expression with discordant [F]F-FDG-PET/CT finding.具有侵袭性疾病进展和Richter转化的加速期慢性淋巴细胞白血病:[镓]Ga-喷替曲肽PET/CT在体内显示高CXCR-4表达且与[氟]F-FDG-PET/CT结果不一致的潜在新诊断应用
Eur J Nucl Med Mol Imaging. 2025 May 1. doi: 10.1007/s00259-025-07309-9.

本文引用的文献

1
Distinct immune-response profile of Richter transformation chronic lymphocytic leukemia (CLL), defined by high expression of PD1, LAG3, TIM3 and IL-10.由PD1、LAG3、TIM3和IL-10高表达所定义的Richter转化型慢性淋巴细胞白血病(CLL)独特的免疫反应谱。
Leuk Lymphoma. 2022 Dec;63(13):3222-3226. doi: 10.1080/10428194.2022.2123236. Epub 2022 Sep 14.
2
Recurrent Chromosomal Abnormalities in Tissues Involved by Chronic Lymphocytic Leukemia/Small Lymphocytic Lymphoma.慢性淋巴细胞白血病/小淋巴细胞淋巴瘤累及组织中的重现性染色体异常。
Am J Clin Pathol. 2022 Feb 3;157(2):286-292. doi: 10.1093/ajcp/aqab128.
3
Downregulation of Lymphoid enhancer-binding factor 1 (LEF-1) expression (by immunohistochemistry and/ flow cytometry) in chronic Lymphocytic Leukemia with atypical immunophenotypic and cytologic features.
慢性淋巴细胞白血病伴不典型免疫表型和细胞形态学特征时淋巴增强结合因子 1(LEF-1)表达下调(免疫组化和/或流式细胞术)。
Int J Lab Hematol. 2021 Jun;43(3):515-525. doi: 10.1111/ijlh.13420. Epub 2020 Dec 12.
4
Pseudo-Richter transformation of chronic lymphocytic leukaemia/small lymphocytic lymphoma following ibrutinib interruption: a diagnostic pitfall.依鲁替尼中断治疗后慢性淋巴细胞白血病/小淋巴细胞淋巴瘤的假性里氏转化:一个诊断陷阱
Br J Haematol. 2020 Oct;191(1):e22-e25. doi: 10.1111/bjh.16948. Epub 2020 Jul 17.
5
Technical laboratory standards for interpretation and reporting of acquired copy-number abnormalities and copy-neutral loss of heterozygosity in neoplastic disorders: a joint consensus recommendation from the American College of Medical Genetics and Genomics (ACMG) and the Cancer Genomics Consortium (CGC).技术实验室标准用于解释和报告获得的拷贝数异常和肿瘤疾病中的杂合性丢失:美国医学遗传学与基因组学学会(ACMG)和癌症基因组学联盟(CGC)的联合共识建议。
Genet Med. 2019 Sep;21(9):1903-1916. doi: 10.1038/s41436-019-0545-7. Epub 2019 May 29.
6
PD-1 Expression in Chronic Lymphocytic Leukemia/Small Lymphocytic Lymphoma (CLL/SLL) and Large B-cell Richter Transformation (DLBCL-RT): A Characteristic Feature of DLBCL-RT and Potential Surrogate Marker for Clonal Relatedness.PD-1 在慢性淋巴细胞白血病/小淋巴细胞淋巴瘤 (CLL/SLL) 和大 B 细胞 Richter 转化 (DLBCL-RT) 中的表达:DLBCL-RT 的特征性特征和潜在的克隆相关性替代标志物。
Am J Surg Pathol. 2018 Jul;42(7):843-854. doi: 10.1097/PAS.0000000000001077.
7
Biology and treatment of Richter syndrome.里希特综合征的生物学特性与治疗。
Blood. 2018 Jun 21;131(25):2761-2772. doi: 10.1182/blood-2018-01-791376. Epub 2018 Apr 24.
8
Cyclin D1 overexpression in proliferation centres of small lymphocytic lymphoma/chronic lymphocytic leukaemia.细胞周期蛋白D1在小淋巴细胞淋巴瘤/慢性淋巴细胞白血病增殖中心的过表达
J Clin Pathol. 2017 Oct;70(10):899-902. doi: 10.1136/jclinpath-2017-204364. Epub 2017 Apr 13.
9
Lymphocyte activation gene 3: a novel therapeutic target in chronic lymphocytic leukemia.淋巴细胞激活基因3:慢性淋巴细胞白血病中的一个新治疗靶点。
Haematologica. 2017 May;102(5):874-882. doi: 10.3324/haematol.2016.148965. Epub 2017 Feb 2.
10
Standards and Guidelines for the Interpretation and Reporting of Sequence Variants in Cancer: A Joint Consensus Recommendation of the Association for Molecular Pathology, American Society of Clinical Oncology, and College of American Pathologists.癌症序列变异解读与报告的标准和指南:分子病理学协会、美国临床肿瘤学会和美国病理学家学会联合共识推荐
J Mol Diagn. 2017 Jan;19(1):4-23. doi: 10.1016/j.jmoldx.2016.10.002.