Suppr超能文献

闭经作为库欣综合征的一种表现。

Amenorrhea as a presentation of Cushing's syndrome.

作者信息

Alhajeri Aishah, Hajji Sulaiman, Aljenaee Khalid

机构信息

Aishah Alhajeri, Internal Medicine Resident, Ministry of Health, Kuwait.

Sulaiman Hajji, Endocrinologist, Adan Hospital, Ministry of Health, Kuwait.

出版信息

Endocrinol Diabetes Metab Case Rep. 2024 Jul 22;2024(3). doi: 10.1530/EDM-23-0152. Print 2024 Jul 1.

Abstract

SUMMARY

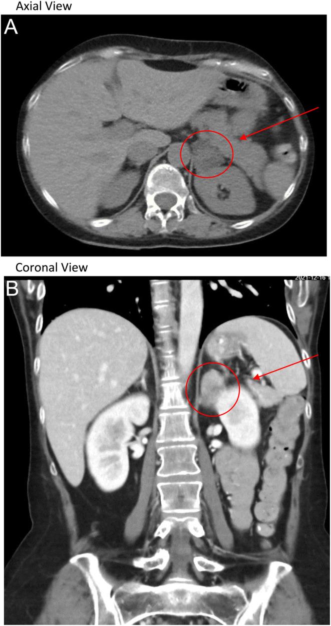
Menstrual cycle abnormalities are common in premenopausal females with Cushing's syndrome, although the underlying mechanism is poorly understood. Signs and symptoms found in Cushing's syndrome overlap with polycystic ovarian syndrome (PCOS). The patient is a 33-year-old female previously diagnosed by a gynecologist with PCOS and treated with oral contraceptive pills (OCPs) for 2 years. She then discontinued her OCPs without consulting a clinician, resulting in amenorrhea for 6 months, for which she presented. She also had symptoms of depression and anxiety but had no other signs and symptoms of Cushing's syndrome, except a plethoric face. Initial lab work showed evidence of central hypogonadism (low luteinizing hormone, follicle-stimulating hormone, and estrogen), so a complete anterior pituitary hormone workup was done. Her thyroid-stimulating hormone was also low with a low free T4 level. Prolactin level was normal, but surprisingly, her AM cortisol level was high. The Cushing's syndrome workup revealed non-suppressed cortisol after a 1 mg dexamethasone suppression test and positive 24-h urine cortisol with suppressed adrenocorticotrophic hormone. A CT scan of her adrenal glands revealed a left adrenal adenoma. She underwent a left adrenalectomy, after which her menstrual cycles became regular again, and pituitary function has recovered.

LEARNING POINTS

In Cushing's syndrome, female patients can have menstrual abnormalities due to the high cortisol levels, which can affect gonadotrophin levels. We encourage clinicians to include Cushing's syndrome in the differential diagnosis of patients with central hypogonadism.

摘要

摘要

尽管潜在机制尚不清楚,但月经周期异常在绝经前库欣综合征女性中很常见。库欣综合征的体征和症状与多囊卵巢综合征(PCOS)重叠。该患者为33岁女性,此前被妇科医生诊断为PCOS,并口服避孕药(OCPs)治疗2年。之后她未咨询临床医生就自行停用了OCPs,导致闭经6个月,遂前来就诊。她还有抑郁和焦虑症状,但除了面色潮红外,没有库欣综合征的其他体征和症状。初始实验室检查显示有中枢性性腺功能减退的证据(促黄体生成素、促卵泡生成素和雌激素水平低),因此进行了完整的垂体前叶激素检查。她的促甲状腺激素也低,游离T4水平也低。催乳素水平正常,但令人惊讶的是,她的上午皮质醇水平高。库欣综合征检查显示,1毫克地塞米松抑制试验后皮质醇未被抑制,24小时尿皮质醇阳性且促肾上腺皮质激素被抑制。肾上腺CT扫描显示左侧肾上腺腺瘤。她接受了左侧肾上腺切除术,术后月经周期恢复正常,垂体功能也已恢复。

学习要点

在库欣综合征中,女性患者可能因皮质醇水平高而出现月经异常,这会影响促性腺激素水平。我们鼓励临床医生在中枢性性腺功能减退患者的鉴别诊断中考虑库欣综合征。

https://cdn.ncbi.nlm.nih.gov/pmc/blobs/a6d8/11301536/4dcf355a97dc/EDM23-0152fig1.jpg

文献检索

告别复杂PubMed语法,用中文像聊天一样搜索,搜遍4000万医学文献。AI智能推荐,让科研检索更轻松。

立即免费搜索

文件翻译

保留排版,准确专业,支持PDF/Word/PPT等文件格式,支持 12+语言互译。

免费翻译文档

深度研究

AI帮你快速写综述,25分钟生成高质量综述,智能提取关键信息,辅助科研写作。

立即免费体验