Suppr超能文献

超高对比磁共振成像:在创伤后白质脑病综合征(PILS)中,采用分割 subtracted inversion recovery(dSIR)序列显示“全白”征。

Ultra-High Contrast MRI: The Whiteout Sign Shown with Divided Subtracted Inversion Recovery (dSIR) Sequences in Post-Insult Leukoencephalopathy Syndromes (PILS).

机构信息

Mātai Medical Research Institute, Tairāwhiti Gisborne 4010, New Zealand.

Department of Anatomy and Medical Imaging, Faculty of Medical and Health Sciences & Centre for Brain Research, University of Auckland, Auckland 1010, New Zealand.

出版信息

Tomography. 2024 Jun 26;10(7):983-1013. doi: 10.3390/tomography10070074.

Abstract

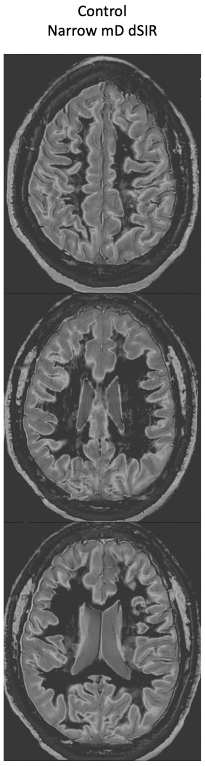
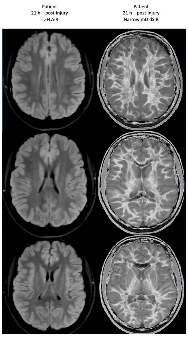
Ultra-high contrast (UHC) MRI describes forms of MRI in which little or no contrast is seen on conventional MRI images but very high contrast is seen with UHC techniques. One of these techniques uses the divided subtracted inversion recovery (dSIR) sequence, which, in modelling studies, can produce ten times the contrast of conventional inversion recovery (IR) sequences. When used in cases of mild traumatic brain injury (mTBI), the dSIR sequence frequently shows extensive abnormalities in white matter that appears normal when imaged with conventional T-fluid-attenuated IR (T-FLAIR) sequences. The changes are bilateral and symmetrical in white matter of the cerebral and cerebellar hemispheres. They partially spare the anterior and posterior central corpus callosum and peripheral white matter of the cerebral hemispheres and are described as the whiteout sign. In addition to mTBI, the whiteout sign has also been seen in methamphetamine use disorder and Grinker's myelinopathy (delayed post-hypoxic leukoencephalopathy) in the absence of abnormalities on T-FLAIR images, and is a central component of post-insult leukoencephalopathy syndromes. This paper describes the concept of ultra-high contrast MRI, the whiteout sign, the theory underlying the use of dSIR sequences and post-insult leukoencephalopathy syndromes.

摘要

超高对比(UHC)MRI 描述了这样一些 MRI 形式,在常规 MRI 图像上几乎没有或没有对比,但在 UHC 技术中可以看到非常高的对比。其中一种技术使用分裂相减反转恢复(dSIR)序列,在建模研究中,该序列可以产生比常规反转恢复(IR)序列高十倍的对比度。当用于轻度创伤性脑损伤(mTBI)时,dSIR 序列经常在白质中显示出广泛的异常,而在使用常规 T 液衰减反转恢复(T-FLAIR)序列成像时,白质看起来正常。这些变化在大脑和小脑半球的白质中是双侧对称的。它们部分保留了前中央和后中央胼胝体以及大脑半球的外周白质,被描述为“白化征”。除了 mTBI 之外,在没有 T-FLAIR 图像异常的情况下,该白化征也出现在苯丙胺使用障碍和 Grinker 髓鞘病(缺氧后迟发性白质脑病)中,是创伤后白质脑病综合征的一个核心组成部分。本文描述了超高对比 MRI、白化征、dSIR 序列使用的理论以及创伤后白质脑病综合征的概念。

https://cdn.ncbi.nlm.nih.gov/pmc/blobs/4888/11280826/f000723f8450/tomography-10-00074-g001.jpg

文献检索

告别复杂PubMed语法,用中文像聊天一样搜索,搜遍4000万医学文献。AI智能推荐,让科研检索更轻松。

立即免费搜索

文件翻译

保留排版,准确专业,支持PDF/Word/PPT等文件格式,支持 12+语言互译。

免费翻译文档

深度研究

AI帮你快速写综述,25分钟生成高质量综述,智能提取关键信息,辅助科研写作。

立即免费体验