• 文献检索
  • 文档翻译
  • 深度研究
  • 学术资讯
  • Suppr Zotero 插件Zotero 插件
  • 邀请有礼
  • 套餐&价格
  • 历史记录
应用&插件
Suppr Zotero 插件Zotero 插件浏览器插件Mac 客户端Windows 客户端微信小程序
定价
高级版会员购买积分包购买API积分包
服务
文献检索文档翻译深度研究API 文档MCP 服务
关于我们
关于 Suppr公司介绍联系我们用户协议隐私条款
关注我们

Suppr 超能文献

核心技术专利:CN118964589B侵权必究
粤ICP备2023148730 号-1Suppr @ 2026

文献检索

告别复杂PubMed语法,用中文像聊天一样搜索,搜遍4000万医学文献。AI智能推荐,让科研检索更轻松。

立即免费搜索

文件翻译

保留排版,准确专业,支持PDF/Word/PPT等文件格式,支持 12+语言互译。

免费翻译文档

深度研究

AI帮你快速写综述,25分钟生成高质量综述,智能提取关键信息,辅助科研写作。

立即免费体验

一名4岁女童腋动脉肌周细胞瘤,表现为中风及随后微孤立性病变进展。

Myopericytoma of the axillary artery in a 4-year-old girl presenting with stroke and subsequent progression of micro-isolated lesion.

作者信息

Kasa Kentaro, Shukuzawa Kota, Ozawa Hirotsugu, Chono Yoshihiko, Iwauchi Ai, Kawachi Kae, Ohki Takao

机构信息

Division of Vascular Surgery, Department of Surgery, The Jikei University School of Medicine, Tokyo, Japan.

Department of Pathology, The Jikei University School of Medicine, Tokyo, Japan.

出版信息

J Vasc Surg Cases Innov Tech. 2024 Mar 26;10(5):101493. doi: 10.1016/j.jvscit.2024.101493. eCollection 2024 Oct.

DOI:10.1016/j.jvscit.2024.101493
PMID:39069991
原文链接:https://pmc.ncbi.nlm.nih.gov/articles/PMC11277370/
Abstract

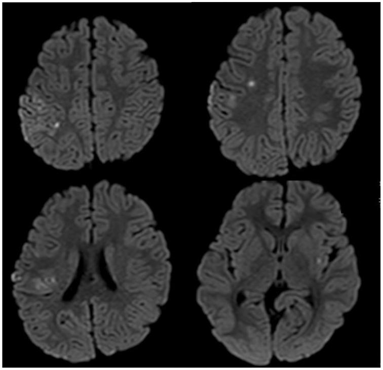
A 4-year-old girl presented with complaints of transient speech disorder and left-sided weakness. Magnetic resonance imaging revealed multiple strokes, computed tomography showed a right axillary artery aneurysm of 40 mm, and an angiogram indicated retrograde embolism. She underwent aneurysm resection and reconstruction with a saphenous vein graft. Two years after surgery, a mass lesion occurred in the native artery on the proximal side of the prior surgical anastomosis. Surgical resection and reconstruction were performed. An isolated 1-mm diameter lesion was found in the retrospectively reviewed completion angiogram from the initial surgery, which was the origin of the subsequent progressive lesion. The pathological examination, including after the initial surgery, revealed a myopericytoma.

摘要

一名4岁女孩因短暂性言语障碍和左侧肢体无力前来就诊。磁共振成像显示多处中风,计算机断层扫描显示右腋动脉有一个40毫米的动脉瘤,血管造影显示逆行栓塞。她接受了动脉瘤切除并用大隐静脉移植进行重建。术后两年,在先前手术吻合口近端的原动脉处出现了一个肿块病变。进行了手术切除和重建。在对初次手术的回顾性完成血管造影中发现了一个直径1毫米的孤立病变,这是随后进展性病变的起源。包括初次手术后的病理检查显示为肌周细胞瘤。

https://cdn.ncbi.nlm.nih.gov/pmc/blobs/66ce/11277370/af2c0965b708/gr5.jpg
https://cdn.ncbi.nlm.nih.gov/pmc/blobs/66ce/11277370/87d6328720ad/gr1.jpg
https://cdn.ncbi.nlm.nih.gov/pmc/blobs/66ce/11277370/da2ce3a06173/gr2.jpg
https://cdn.ncbi.nlm.nih.gov/pmc/blobs/66ce/11277370/16731922967a/gr3.jpg
https://cdn.ncbi.nlm.nih.gov/pmc/blobs/66ce/11277370/2423f0865fca/gr4.jpg
https://cdn.ncbi.nlm.nih.gov/pmc/blobs/66ce/11277370/af2c0965b708/gr5.jpg
https://cdn.ncbi.nlm.nih.gov/pmc/blobs/66ce/11277370/87d6328720ad/gr1.jpg
https://cdn.ncbi.nlm.nih.gov/pmc/blobs/66ce/11277370/da2ce3a06173/gr2.jpg
https://cdn.ncbi.nlm.nih.gov/pmc/blobs/66ce/11277370/16731922967a/gr3.jpg
https://cdn.ncbi.nlm.nih.gov/pmc/blobs/66ce/11277370/2423f0865fca/gr4.jpg
https://cdn.ncbi.nlm.nih.gov/pmc/blobs/66ce/11277370/af2c0965b708/gr5.jpg

相似文献

1
Myopericytoma of the axillary artery in a 4-year-old girl presenting with stroke and subsequent progression of micro-isolated lesion.一名4岁女童腋动脉肌周细胞瘤,表现为中风及随后微孤立性病变进展。
J Vasc Surg Cases Innov Tech. 2024 Mar 26;10(5):101493. doi: 10.1016/j.jvscit.2024.101493. eCollection 2024 Oct.
2
[Aneurysms of the subclavian artery].[锁骨下动脉动脉瘤]
Srp Arh Celok Lek. 2000 May-Jun;128(5-6):184-90.
3
[Surgery of abdominal aorta with horseshoe kidney].马蹄肾腹主动脉手术
Srp Arh Celok Lek. 1997 Jan-Feb;125(1-2):36-44.
4
Extracranial-intracranial vein graft bypass for giant intracranial aneurysm surgery for pediatric patients: two technical case reports.
Neurosurgery. 2002 Mar;50(3):663-8. doi: 10.1097/00006123-200203000-00048.
5
Carotid-Carotid Bypass for a Carotid Artery Aneurysm.颈动脉-颈动脉旁路术治疗颈动脉动脉瘤。
World Neurosurg. 2020 Jun;138:7-8. doi: 10.1016/j.wneu.2020.02.113. Epub 2020 Feb 27.
6
Saphenous vein graft reconstruction of an unclippable giant basilar artery aneurysm performed with the patient under deep hypothermic circulatory arrest: technical case report.在深低温停循环下为患者进行不可夹闭的巨大基底动脉动脉瘤的大隐静脉移植重建术:技术病例报告
Neurosurgery. 1998 Mar;42(3):667-72; discussion 672-3. doi: 10.1097/00006123-199803000-00045.
7
Myopericytoma occurrence in the liver and stomach space: imaging performance.肝脏和胃间隙发生的肌周细胞瘤:影像学表现
BMC Cancer. 2017 Feb 20;17(1):143. doi: 10.1186/s12885-017-3146-3.
8
Myopericytoma at the Craniocervical Junction: Clinicopathological Report and Review of a Rare Perivascular Neoplasm.颅颈交界处肌纤维母细胞瘤:临床病理报告及一种罕见血管周肿瘤的复习。
Neurosurgery. 2019 Aug 1;85(2):E360-E365. doi: 10.1093/neuros/nyy262.
9
Usefulness of 3-Dimensional Reconstruction Images of Coronary Computed Tomography Angiogram in Percutaneous Coronary Intervention After Bentall Operation.经 Bentall 手术后经皮冠状动脉介入治疗中冠状动脉计算机断层血管造影的 3 维重建图像的作用。
Tex Heart Inst J. 2022 Sep 1;49(5). doi: 10.14503/THIJ-21-7601.
10
Congenital-idiopathic superficial femoral artery aneurysm in a 7-year-old child.7 岁儿童先天性特发性股浅动脉动脉瘤。
J Vasc Surg. 2011 Jun;53(6):1699-701. doi: 10.1016/j.jvs.2011.02.010. Epub 2011 Apr 22.

引用本文的文献

1
Myopericytoma in the oral cavity: a rare case report and literature review.口腔肌周细胞瘤:1例罕见病例报告及文献复习
Int J Clin Exp Pathol. 2025 Jun 15;18(6):274-284. doi: 10.62347/QBAS2730. eCollection 2025.

本文引用的文献

1
Intravascular Myopericytoma: A Case Report.血管内肌周细胞瘤:一例报告
Cureus. 2022 Aug 30;14(8):e28581. doi: 10.7759/cureus.28581. eCollection 2022 Aug.
2
Pediatric Stroke due to Thoracic Outlet Syndrome Treated with Thrombolysis and Thrombectomy: A Case Report.经溶栓和血栓切除术治疗的胸廓出口综合征所致小儿卒中:一例报告
Children (Basel). 2022 Jun 12;9(6):875. doi: 10.3390/children9060875.
3
Recurrent middle cerebral artery stroke caused by arterial thoracic outlet syndrome and coagulopathy.由胸廓出口综合征和凝血障碍引起的复发性大脑中动脉卒中
Radiol Case Rep. 2022 Mar 21;17(5):1665-1669. doi: 10.1016/j.radcr.2022.02.072. eCollection 2022 May.
4
Open arterial reconstruction of multiple hepatic artery aneurysms in a patient with hereditary hemorrhagic telangiectasia: A case report.遗传性出血性毛细血管扩张症患者多发性肝动脉瘤的开放动脉重建术:一例报告
Medicine (Baltimore). 2016 Nov;95(46):e5430. doi: 10.1097/MD.0000000000005430.
5
Surgical Treatment of a Giant Right Hepatic Artery Aneurysm with an Aberrant Left Hepatic Artery: Report of a Case.异常左肝动脉伴巨大右肝动脉瘤的手术治疗:病例报告
Ann Vasc Dis. 2015;8(3):271-3. doi: 10.3400/avd.cr.15-00061. Epub 2015 Aug 14.
6
Surgical treatment of aneurysms in the upper limbs.上肢动脉瘤的外科治疗。
Ann Vasc Dis. 2013;6(3):637-41. doi: 10.3400/avd.cr.13-00024. Epub 2013 Aug 30.
7
Fibromuscular dysplasia and childhood stroke.纤维肌性发育不良与儿童脑卒中。
Brain. 2013 Jun;136(Pt 6):1846-56. doi: 10.1093/brain/awt111. Epub 2013 May 28.
8
Intravascular myopericytoma: an interesting case of a long-standing large, painful subcutaneous tumor.血管周肌纤维母细胞瘤:一个长期存在的大而疼痛的皮下肿瘤的有趣病例。
Pathol Int. 2011 Mar;61(3):161-4. doi: 10.1111/j.1440-1827.2010.02628.x. Epub 2011 Jan 5.
9
Cerebral embolic stroke and arm ischemia in a teenager with arterial thoracic outlet syndrome: a case report.一名患有胸廓出口综合征的青少年发生脑栓塞性中风和手臂缺血:病例报告
Vasc Endovascular Surg. 2007 Jun-Jul;41(3):254-7. doi: 10.1177/1538574407299780.
10
Intravascular myopericytoma of the superficial palmar arch.掌浅弓血管内肌周细胞瘤
J Hand Surg Eur Vol. 2007 Aug;32(4):475-6. doi: 10.1016/J.JHSB.2007.01.011. Epub 2007 Mar 26.