Suppr超能文献

阿帕替尼作为局部晚期分化型甲状腺癌新辅助治疗的疗效与安全性:一项2期试验

Effect and Safety of Apatinib as Neoadjuvant Therapy in Locally Advanced Differentiated Thyroid Cancer: A Phase 2 Trial.

作者信息

Qian Kai, Wang Yunjun, An Ning, Liu Chunhao, Guo Kai, Yang Lingyi, Wang Jun, Li Xiaoyi, Wang Zhuoying

机构信息

Department of Head and Neck Surgery, Renji Hospital, School of Medicine, Shanghai Jiaotong University, Shanghai 200001, China.

Department of Head and Neck Surgery, Fudan University Shanghai Cancer Center, Shanghai 200032, China.

出版信息

J Endocr Soc. 2024 Jul 12;8(9):bvae132. doi: 10.1210/jendso/bvae132. eCollection 2024 Jul 26.

Abstract

CONTEXT

Presently, there is a paucity of prospective clinical trials investigating neoadjuvant therapy for locally advanced thyroid cancer.

OBJECTIVE

This study was a multicenter, open-label, single-arm, phase II trial evaluating the efficacy and safety of apatinib as neoadjuvant therapy in patients with local advanced differentiated thyroid cancer (DTC).

METHODS

Patients were treated with preoperative apatinib over a course of 2 to 4 cycles, culminating in surgical resection. The primary endpoints were objective response rate (ORR) and disease control rate (DCR); the secondary endpoints were the rate of R0 surgery, alterations in serum thyroglobulin levels, disease-free survival, and adverse events (AEs).

RESULTS

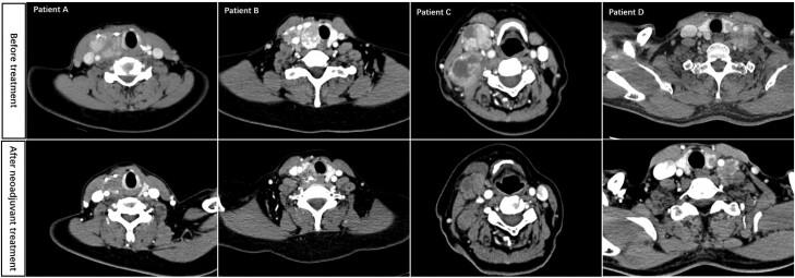
A total of 14 patients who met the inclusion criteria were administered neoadjuvant apatinib. Among these, 13 patients underwent surgical procedures following apatinib treatment and were enrolled in the ITT population. The ORR was 53.8% and the DCR was 100%. Of the patients, 84.6% received R0 surgery, while the remaining 15.4% underwent R1 resection. Predominant among the observed AEs were hypertension, hand-foot syndrome, hepatic dysfunction, proteinuria, and hypothyroidism, with no instances of grade 4 or 5 AEs reported. Subsequent to surgery, patients were followed up for a median period of 34 months, during which disease progression occurred in 5 individuals (35.7%), encompassing 3 cases of locoregional recurrences and 2 cases of distant metastases.

CONCLUSION

Apatinib may be an effective agent in the use of neoadjuvant therapy for locally advanced DTC. Patients may therefore benefit from surgical outcomes and their long-term prognosis.

摘要

背景

目前,关于局部晚期甲状腺癌新辅助治疗的前瞻性临床试验较少。

目的

本研究是一项多中心、开放标签、单臂、II期试验,评估阿帕替尼作为局部晚期分化型甲状腺癌(DTC)患者新辅助治疗的疗效和安全性。

方法

患者术前接受阿帕替尼治疗2至4个周期,最终进行手术切除。主要终点为客观缓解率(ORR)和疾病控制率(DCR);次要终点为R0手术率、血清甲状腺球蛋白水平变化、无病生存期和不良事件(AE)。

结果

共有14例符合纳入标准的患者接受了新辅助阿帕替尼治疗。其中,13例患者在阿帕替尼治疗后接受了手术,并纳入意向性分析(ITT)人群。ORR为53.8%,DCR为100%。患者中,84.6%接受了R0手术,其余15.4%接受了R1切除。观察到的主要不良事件为高血压、手足综合征、肝功能障碍、蛋白尿和甲状腺功能减退,未报告4级或5级不良事件。术后,患者中位随访34个月,期间5例(35.7%)出现疾病进展,包括3例局部区域复发和2例远处转移。

结论

阿帕替尼可能是局部晚期DTC新辅助治疗的有效药物。因此,患者可能从手术结果和长期预后中获益。

https://cdn.ncbi.nlm.nih.gov/pmc/blobs/e299/11273224/9171de9335f9/bvae132f1.jpg

文献检索

告别复杂PubMed语法,用中文像聊天一样搜索,搜遍4000万医学文献。AI智能推荐,让科研检索更轻松。

立即免费搜索

文件翻译

保留排版,准确专业,支持PDF/Word/PPT等文件格式,支持 12+语言互译。

免费翻译文档

深度研究

AI帮你快速写综述,25分钟生成高质量综述,智能提取关键信息,辅助科研写作。

立即免费体验