• 文献检索
  • 文档翻译
  • 深度研究
  • 学术资讯
  • Suppr Zotero 插件Zotero 插件
  • 邀请有礼
  • 套餐&价格
  • 历史记录
应用&插件
Suppr Zotero 插件Zotero 插件浏览器插件Mac 客户端Windows 客户端微信小程序
定价
高级版会员购买积分包购买API积分包
服务
文献检索文档翻译深度研究API 文档MCP 服务
关于我们
关于 Suppr公司介绍联系我们用户协议隐私条款
关注我们

Suppr 超能文献

核心技术专利:CN118964589B侵权必究
粤ICP备2023148730 号-1Suppr @ 2026

文献检索

告别复杂PubMed语法,用中文像聊天一样搜索,搜遍4000万医学文献。AI智能推荐,让科研检索更轻松。

立即免费搜索

文件翻译

保留排版,准确专业,支持PDF/Word/PPT等文件格式,支持 12+语言互译。

免费翻译文档

深度研究

AI帮你快速写综述,25分钟生成高质量综述,智能提取关键信息,辅助科研写作。

立即免费体验

肿瘤性急性冠状动脉综合征一例——病例报告及文献综述

A Case of Tumoral Acute Coronary Syndrome - Case Report and Literature Review.

作者信息

Carvalho Catarina Isabel Ribeiro, Carvalho Pedro Miguel Rocha, Silveira Maria Inês Costa, Baptista Ana Isabel Santos

机构信息

Department of Cardiology, Trás-os-Montes e Alto Douro Hospital Centre, Vila Real, Portugal.

出版信息

J Cardiovasc Echogr. 2024 Apr-Jun;34(2):93-95. doi: 10.4103/jcecho.jcecho_69_23. Epub 2024 Jun 28.

DOI:10.4103/jcecho.jcecho_69_23
PMID:39086697
原文链接:https://pmc.ncbi.nlm.nih.gov/articles/PMC11288299/
Abstract

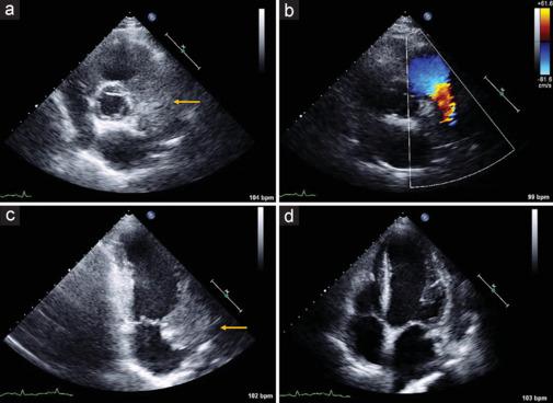
Cardiovascular disease and cancer constitute the most prevalent illnesses worldwide. Cancer patients show an increased risk of coronary artery disease not only due to shared cardiovascular risk factors, a pro-inflammatory and prothrombotic state induced by cancer itself, the cardiovascular toxicity of cancer therapy, or rarely, due to extrinsic compression of a coronary artery by the primary tumor or a metastatic lesion. Here, we present the case of a 59-year-old man with squamous cell carcinoma of the lung presented with asymptomatic diffuse ST segment depression and troponin T increase. Echocardiography revealed a large mass adjacent to the right atrium, atrioventricular groove, and basal segment of the anterior wall of the left ventricle, which the computed tomography scan showed to encase and probably compress the anterior descending coronary artery. Thus, the patient was diagnosed with acute coronary syndrome due to anterior descendent coronary artery compression by a neoplastic lung mass.

摘要

心血管疾病和癌症是全球最常见的疾病。癌症患者患冠状动脉疾病的风险增加,这不仅是由于共同的心血管危险因素、癌症本身引发的促炎和促血栓状态、癌症治疗的心血管毒性,或者很少见的情况,即原发性肿瘤或转移病灶对冠状动脉的外在压迫。在此,我们报告一例59岁男性肺鳞状细胞癌患者,其表现为无症状的弥漫性ST段压低和肌钙蛋白T升高。超声心动图显示右心房、房室沟和左心室前壁基底段附近有一个大肿块,计算机断层扫描显示该肿块包裹并可能压迫前降支冠状动脉。因此,该患者被诊断为因肺部肿瘤压迫前降支冠状动脉导致的急性冠状动脉综合征。

https://cdn.ncbi.nlm.nih.gov/pmc/blobs/5d3c/11288299/b8f233d71afb/JCE-34-93-g002.jpg
https://cdn.ncbi.nlm.nih.gov/pmc/blobs/5d3c/11288299/885e89a7720a/JCE-34-93-g001.jpg
https://cdn.ncbi.nlm.nih.gov/pmc/blobs/5d3c/11288299/b8f233d71afb/JCE-34-93-g002.jpg
https://cdn.ncbi.nlm.nih.gov/pmc/blobs/5d3c/11288299/885e89a7720a/JCE-34-93-g001.jpg
https://cdn.ncbi.nlm.nih.gov/pmc/blobs/5d3c/11288299/b8f233d71afb/JCE-34-93-g002.jpg

相似文献

1
A Case of Tumoral Acute Coronary Syndrome - Case Report and Literature Review.肿瘤性急性冠状动脉综合征一例——病例报告及文献综述
J Cardiovasc Echogr. 2024 Apr-Jun;34(2):93-95. doi: 10.4103/jcecho.jcecho_69_23. Epub 2024 Jun 28.
2
Myocardial Invasion of Squamous Cell Lung Carcinoma Presenting as STEMI.表现为ST段抬高型心肌梗死的肺鳞状细胞癌心肌浸润
Heart Views. 2022 Jul-Sep;23(3):177-180. doi: 10.4103/heartviews.heartviews_21_22. Epub 2022 Oct 22.
3
Acute ST-segment elevation myocardial infarction due to extrinsic compression of left coronary artery from pulmonary epithelioid hemangioendothelioma: A case report.肺上皮样血管内皮瘤致左冠状动脉外压性急性ST段抬高型心肌梗死:一例报告
Medicine (Baltimore). 2019 Nov;98(48):e18158. doi: 10.1097/MD.0000000000018158.
4
Giant coronary artery aneurysms involving more than one coronary artery: case report.累及多支冠状动脉的巨大冠状动脉瘤:病例报告。
J Cardiothorac Surg. 2021 Jun 19;16(1):177. doi: 10.1186/s13019-021-01560-5.
5
Chest pain showing precordial ST-segment elevation in a 96-year-old woman with right coronary artery occlusion: A case report.一名96岁右冠状动脉闭塞女性出现心前区ST段抬高的胸痛:病例报告。
World J Clin Cases. 2021 Mar 16;9(8):1877-1884. doi: 10.12998/wjcc.v9.i8.1877.
6
Anomalous right coronary artery originating from the mid left anterior descending artery.异常右冠状动脉起源于左前降支中部。
Indian Heart J. 2015 Nov-Dec;67(6):604-6. doi: 10.1016/j.ihj.2015.07.052. Epub 2015 Oct 23.
7
Case report: Persistent ST-segment elevation due to cardiac metastasis from lung cancer.病例报告:肺癌心脏转移导致持续性ST段抬高。
Front Cardiovasc Med. 2023 Feb 8;10:1001527. doi: 10.3389/fcvm.2023.1001527. eCollection 2023.
8
Right Ventricle Mass Induced Coronary Artery Steal Phenomenon: A Rare Clinical Manifestation on One Leiomyosarcoma Patient.右心室肿块诱发冠状动脉窃血现象:1例平滑肌肉瘤患者的罕见临床表现
Acta Cardiol Sin. 2015 Sep;31(5):464-7. doi: 10.6515/acs20150206a.
9
Case report: Acute ST-elevation myocardial infarction and cardiogenic shock caused by a giant right sinus of Valsalva aneurysm and right coronary artery compression.病例报告:巨大瓦尔萨尔瓦窦瘤及右冠状动脉受压导致急性ST段抬高型心肌梗死和心源性休克。
Front Cardiovasc Med. 2022 Oct 18;9:1013044. doi: 10.3389/fcvm.2022.1013044. eCollection 2022.
10
Isolated mid-anterior myocardial infarction: a special electrocardiographic sub-type of acute myocardial infarction consisting of ST-elevation in non-consecutive leads and two different morphologic types of ST-depression.孤立性中前壁心肌梗死:急性心肌梗死的一种特殊心电图亚型,表现为非连续导联ST段抬高及两种不同形态的ST段压低。
Int J Cardiol. 1994 Aug;46(1):37-47. doi: 10.1016/0167-5273(94)90115-5.

本文引用的文献

1
Nonbacterial Thrombotic Endocarditis with Multiple Systemic Emboli in a Patient with Primary Lung Cancer.原发性肺癌患者合并多系统栓塞的非细菌性血栓性心内膜炎
J Cardiovasc Echogr. 2022 Apr-Jun;32(2):129-131. doi: 10.4103/jcecho.jcecho_68_21. Epub 2022 Aug 17.
2
2022 ESC Guidelines on cardio-oncology developed in collaboration with the European Hematology Association (EHA), the European Society for Therapeutic Radiology and Oncology (ESTRO) and the International Cardio-Oncology Society (IC-OS).2022年欧洲心脏病学会(ESC)与欧洲血液学协会(EHA)、欧洲治疗放射学与肿瘤学协会(ESTRO)以及国际心脏肿瘤学会(IC-OS)合作制定的心脏肿瘤学指南。
Eur Heart J. 2022 Nov 1;43(41):4229-4361. doi: 10.1093/eurheartj/ehac244.
3
Management of Acute Coronary Syndrome in Cancer Patients: It's High Time We Dealt with It.
癌症患者急性冠状动脉综合征的管理:我们早该着手应对了。
J Clin Med. 2022 Mar 24;11(7):1792. doi: 10.3390/jcm11071792.
4
Challenges and Management of Acute Coronary Syndrome in Cancer Patients.癌症患者急性冠状动脉综合征的挑战与管理
Front Cardiovasc Med. 2021 Jun 9;8:590016. doi: 10.3389/fcvm.2021.590016. eCollection 2021.
5
Vascular Damage - Coronary Artery Disease.血管损伤 - 冠状动脉疾病
J Cardiovasc Echogr. 2020 Apr;30(Suppl 1):S11-S16. doi: 10.4103/jcecho.jcecho_3_19. Epub 2020 Apr 10.
6
Extension to the Heart of Metastatic Lung Cancer Presenting as Acute Neurological Syndrome: The Key Role of Echocardiography.以急性神经综合征为表现的转移性肺癌累及心脏:超声心动图的关键作用
J Cardiovasc Echogr. 2014 Jul-Sep;24(3):89-91. doi: 10.4103/2211-4122.143982.
7
Outcome after ST elevation myocardial infarction in patients with cancer treated with primary percutaneous coronary intervention.接受直接经皮冠状动脉介入治疗的癌症患者 ST 段抬高心肌梗死的转归。
Am J Cardiol. 2013 Dec 15;112(12):1867-72. doi: 10.1016/j.amjcard.2013.08.019. Epub 2013 Sep 21.