Suppr超能文献

放射科医生在检测全身抗癌治疗相关间质性肺疾病中的作用:一项教育性综述。

The radiologist's role in detecting systemic anticancer therapy-related interstitial lung disease: an educational review.

作者信息

Dinkel Julien, Kneidinger Nikolaus, Tarantino Paolo

机构信息

Department of Radiology, University Hospital LMU Munich, Munich, Germany.

Comprehensive Pneumology Center (CPC-M), Member of the German Center for Lung Research (DZL), Munich, Germany.

出版信息

Insights Imaging. 2024 Aug 1;15(1):191. doi: 10.1186/s13244-024-01771-z.

Abstract

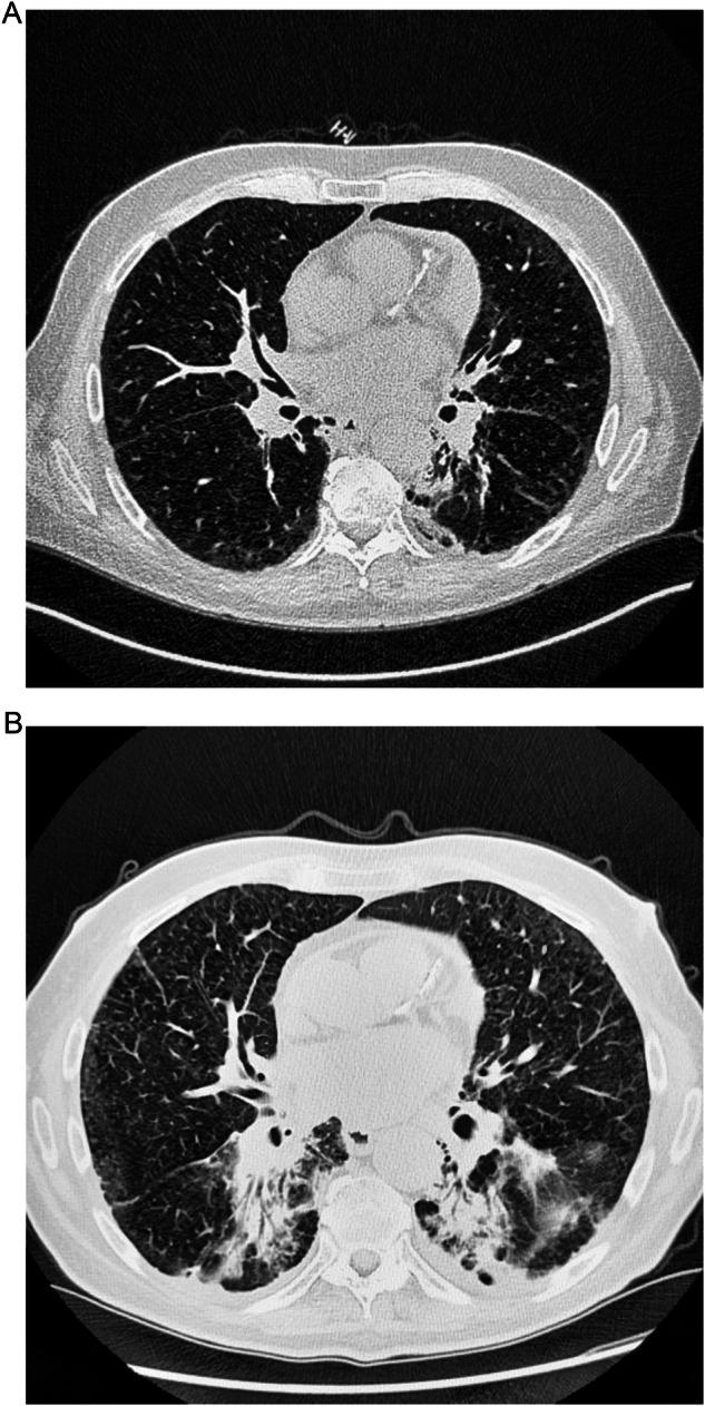
Systemic anticancer therapies (SACTs) are the leading cause of drug-induced interstitial lung disease (ILD). As more novel SACTs become approved, the incidence of this potentially life-threatening adverse event (AE) may increase. Early detection of SACT-related ILD allows for prompt implementation of drug-specific management recommendations, improving the likelihood of AE resolution and, in some instances, widening the patient's eligibility for future cancer treatment options. ILD requires a diagnosis of exclusion through collaboration with the patient's multidisciplinary team to rule out other possible etiologies of new or worsening respiratory signs and symptoms. At Grade 1, ILD is asymptomatic, and thus the radiologist is key to detecting the AE prior to the disease severity worsening. Planned computed tomography scans should be reviewed for the presence of ILD in addition to being assessed for tumor response to treatment, and when ILD is suspected, a high-resolution computed tomography (HRCT) scan should be requested immediately. An HRCT scan, with < 2-mm slice thickness, is the most appropriate method for detecting ILD. Multiple patterns of ILD exist, which can impact patient prognosis. The four main patterns include acute interstitial pneumonia / acute respiratory distress syndrome, organizing pneumonia, hypersensitivity pneumonitis, and non-specific interstitial pneumonia; their distinct radiological features, along with rarer patterns, are discussed here. Furthermore, HRCT is essential for following the course of ILD and might help to determine the intensity of AE management and the appropriateness of re-challenging with SACT, where indicated by drug-specific prescribing information. ILD events should be monitored closely until complete resolution. CRITICAL RELEVANCE STATEMENT: The incidence of potentially treatment-limiting and life-threatening systemic anticancer therapy-related interstitial lung disease (SACT-related ILD) events is likely increasing as more novel regimens become approved. This review provides best-practice recommendations for the early detection of SACT-related ILD by radiologists. KEY POINTS: Radiologists are crucial in detecting asymptomatic (Grade 1) ILD before severity/prognosis worsens. High-resolution computed tomography is the most appropriate method for detecting ILD. Drug-induced ILD is a diagnosis of exclusion, involving a multidisciplinary team. Familiarity with common HRCT patterns, described here, is key for prompt detection. Physicians should highlight systemic anticancer therapies (SACTs) with a known risk for interstitial lung diseases (ILD) on scan requisitions.

摘要

全身抗癌治疗(SACTs)是药物性间质性肺疾病(ILD)的主要原因。随着越来越多的新型SACTs获批,这种潜在危及生命的不良事件(AE)的发生率可能会增加。早期发现与SACT相关的ILD能够及时实施针对特定药物的管理建议,提高AE缓解的可能性,在某些情况下,还能扩大患者未来癌症治疗选择的范围。ILD需要通过与患者的多学科团队合作进行排除诊断,以排除新出现的或加重的呼吸体征和症状的其他可能病因。在1级时,ILD无症状,因此放射科医生对于在疾病严重程度恶化之前检测到AE至关重要。除了评估肿瘤对治疗的反应外,还应审查计划中的计算机断层扫描以检查是否存在ILD,当怀疑有ILD时,应立即要求进行高分辨率计算机断层扫描(HRCT)。层厚<2毫米的HRCT扫描是检测ILD的最合适方法。ILD存在多种模式,这可能会影响患者的预后。四种主要模式包括急性间质性肺炎/急性呼吸窘迫综合征、机化性肺炎、过敏性肺炎和非特异性间质性肺炎;这里将讨论它们独特的放射学特征以及较罕见的模式。此外,HRCT对于跟踪ILD的病程至关重要,并且可能有助于确定AE管理的强度以及在特定药物处方信息表明有必要时再次使用SACT的适宜性。应密切监测ILD事件,直至完全缓解。关键相关性声明:随着越来越多的新型方案获批,潜在限制治疗且危及生命的全身抗癌治疗相关间质性肺疾病(SACT相关ILD)事件的发生率可能会增加。本综述为放射科医生早期发现SACT相关ILD提供了最佳实践建议。要点:放射科医生对于在严重程度/预后恶化之前检测无症状(1级)ILD至关重要。高分辨率计算机断层扫描是检测ILD的最合适方法。药物性ILD是一种排除性诊断,涉及多学科团队。熟悉此处描述的常见HRCT模式是及时检测的关键。医生应在扫描申请单上突出显示已知有间质性肺疾病(ILD)风险的全身抗癌治疗(SACTs)。

https://cdn.ncbi.nlm.nih.gov/pmc/blobs/f979/11294314/5c3dc922e516/13244_2024_1771_Fig1_HTML.jpg

文献检索

告别复杂PubMed语法,用中文像聊天一样搜索,搜遍4000万医学文献。AI智能推荐,让科研检索更轻松。

立即免费搜索

文件翻译

保留排版,准确专业,支持PDF/Word/PPT等文件格式,支持 12+语言互译。

免费翻译文档

深度研究

AI帮你快速写综述,25分钟生成高质量综述,智能提取关键信息,辅助科研写作。

立即免费体验