Suppr超能文献

Sesnrin2 可驱动内质网自噬以响应蛋白质错误折叠。

Sestrin2 drives ER-phagy in response to protein misfolding.

机构信息

Telethon Institute of Genetics and Medicine (TIGEM), Pozzuoli, Italy; Department of Health Sciences, University of Basilicata, Potenza, Italy.

Telethon Institute of Genetics and Medicine (TIGEM), Pozzuoli, Italy; Department of Clinical Medicine and Surgery, Federico II University, Naples, Italy.

出版信息

Dev Cell. 2024 Aug 19;59(16):2035-2052.e10. doi: 10.1016/j.devcel.2024.07.004. Epub 2024 Aug 1.

Abstract

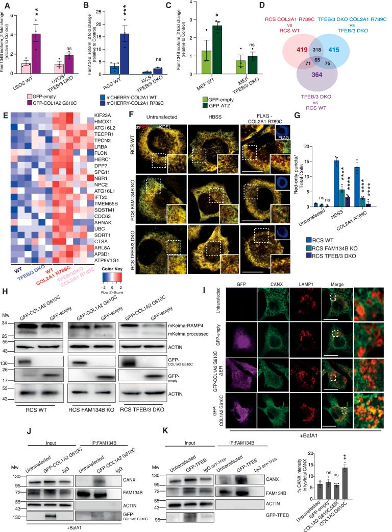
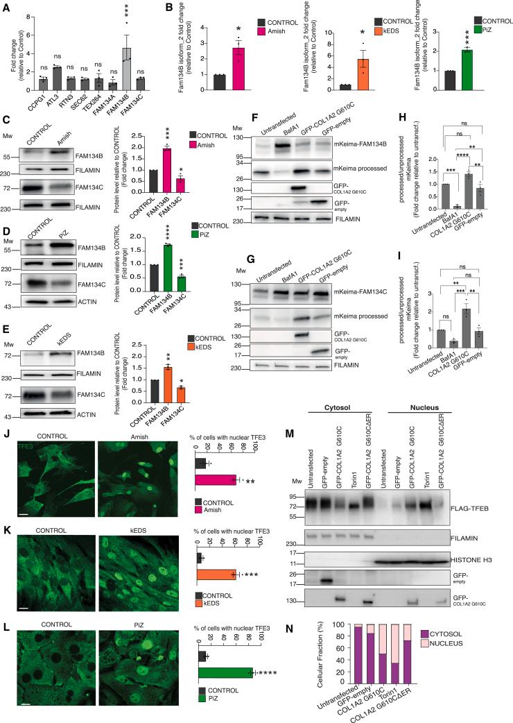
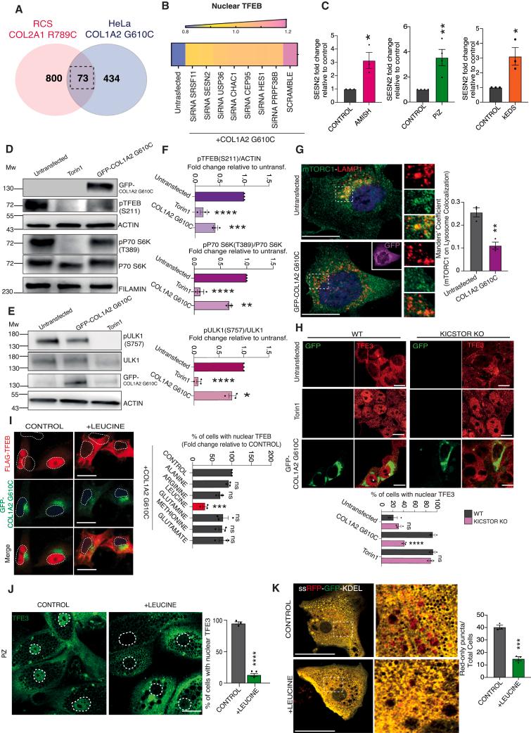
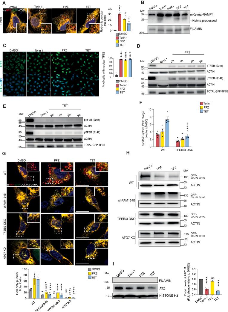
Protein biogenesis within the endoplasmic reticulum (ER) is crucial for organismal function. Errors during protein folding necessitate the removal of faulty products. ER-associated protein degradation and ER-phagy target misfolded proteins for proteasomal and lysosomal degradation. The mechanisms initiating ER-phagy in response to ER proteostasis defects are not well understood. By studying mouse primary cells and patient samples as a model of ER storage disorders (ERSDs), we show that accumulation of faulty products within the ER triggers a response involving SESTRIN2, a nutrient sensor controlling mTORC1 signaling. SESTRIN2 induction by XBP1 inhibits mTORC1's phosphorylation of TFEB/TFE3, allowing these transcription factors to enter the nucleus and upregulate the ER-phagy receptor FAM134B along with lysosomal genes. This response promotes ER-phagy of misfolded proteins via FAM134B-Calnexin complex. Pharmacological induction of FAM134B improves clearance of misfolded proteins in ERSDs. Our study identifies the interplay between nutrient signaling and ER quality control, suggesting therapeutic strategies for ERSDs.

摘要

内质网(ER)中的蛋白质生物发生对于生物体的功能至关重要。蛋白质折叠过程中的错误需要去除有缺陷的产物。ER 相关蛋白降解和 ER 自噬将错误折叠的蛋白质靶向到蛋白酶体和溶酶体降解。ER 自噬在 ER 蛋白稳态缺陷时启动的机制尚不清楚。通过研究小鼠原代细胞和作为 ER 储存障碍(ERSD)模型的患者样本,我们发现 ER 内错误产物的积累会引发涉及 SESTRIN2 的反应,SESTRIN2 是一种控制 mTORC1 信号的营养传感器。XBP1 诱导的 SESTRIN2 抑制 mTORC1 对 TFEB/TFE3 的磷酸化,使这些转录因子进入细胞核并上调 ER 自噬受体 FAM134B 以及溶酶体基因。这种反应通过 FAM134B-钙连蛋白复合物促进错误折叠蛋白质的 ER 自噬。FAM134B 的药理学诱导可改善 ERSD 中错误折叠蛋白质的清除。我们的研究确定了营养信号和 ER 质量控制之间的相互作用,为 ERSD 提供了治疗策略。

https://cdn.ncbi.nlm.nih.gov/pmc/blobs/f92b/11338521/d6d8e5ad9dee/fx1.jpg

文献检索

告别复杂PubMed语法,用中文像聊天一样搜索,搜遍4000万医学文献。AI智能推荐,让科研检索更轻松。

立即免费搜索

文件翻译

保留排版,准确专业,支持PDF/Word/PPT等文件格式,支持 12+语言互译。

免费翻译文档

深度研究

AI帮你快速写综述,25分钟生成高质量综述,智能提取关键信息,辅助科研写作。

立即免费体验