• 文献检索
  • 文档翻译
  • 深度研究
  • 学术资讯
  • Suppr Zotero 插件Zotero 插件
  • 邀请有礼
  • 套餐&价格
  • 历史记录
应用&插件
Suppr Zotero 插件Zotero 插件浏览器插件Mac 客户端Windows 客户端微信小程序
定价
高级版会员购买积分包购买API积分包
服务
文献检索文档翻译深度研究API 文档MCP 服务
关于我们
关于 Suppr公司介绍联系我们用户协议隐私条款
关注我们

Suppr 超能文献

核心技术专利:CN118964589B侵权必究
粤ICP备2023148730 号-1Suppr @ 2026

文献检索

告别复杂PubMed语法,用中文像聊天一样搜索,搜遍4000万医学文献。AI智能推荐,让科研检索更轻松。

立即免费搜索

文件翻译

保留排版,准确专业,支持PDF/Word/PPT等文件格式,支持 12+语言互译。

免费翻译文档

深度研究

AI帮你快速写综述,25分钟生成高质量综述,智能提取关键信息,辅助科研写作。

立即免费体验

Rasd2通过伏隔核核心回路前边缘皮质传入的DRD2神经元调节抑郁样行为。

Rasd2 regulates depression-like behaviors via DRD2 neurons in the prelimbic cortex afferent to nucleus accumbens core circuit.

作者信息

Cheng Ziqian, Zhao Fangyi, Piao Jingjing, Yang Wei, Cui Ranji, Li Bingjin

机构信息

Jilin Provincial Key Laboratory on Molecular and Chemical Genetic, Second Hospital of Jilin University, Changchun, 130041, PR China.

Engineering Lab on Screening of Antidepressant Drugs, Jilin Province Development and Reform Commission, Changchun, 130041, PR China.

出版信息

Mol Psychiatry. 2025 Feb;30(2):435-449. doi: 10.1038/s41380-024-02684-5. Epub 2024 Aug 3.

DOI:10.1038/s41380-024-02684-5
PMID:39097664
原文链接:https://pmc.ncbi.nlm.nih.gov/articles/PMC11746134/
Abstract

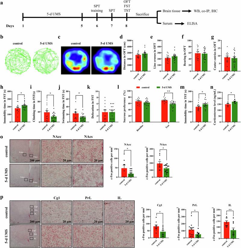
Depressive symptoms, such as anhedonia, decreased social interaction, and lack of motivation, implicate brain reward systems in the pathophysiology of depression. Exposure to chronic stress impairs the function of brain reward circuits and is well-known to be involved in the etiology of depression. A transcriptomic analysis found that stress alters the expression of Rasd2 in mice prefrontal cortex (PFC). Similarly, in our previous study, acute fasting decreased Rasd2 expression in mice PFC, and RASD2 modulated dopamine D2 receptor (DRD2)-mediated antidepressant-like effects in ovariectomized mice. This research suggests the role of RASD2 in stress-induced depression and its underlying neural mechanisms that require further investigation. Here, we show that 5-day unpredictable mild stress (5-d UMS) exposure reduces RASD2 expression in both the nucleus accumbens (NAc) and medial prefrontal cortex (mPFC) of mice, while overexpression (but not knock-down) of Rasd2 in the NAc core (NAcc) alleviates 5-d UMS-induced depression-like behaviors and activates the DRD2-cAMP-PKA-DARPP-32 signaling pathway. Further studies investigated neuronal projections between the mPFC (Cg1, PrL, and IL) and NAcc, labeled by the retrograde tracer Fluorogold. Depression-like behaviors induced by 5-d UMS were only related to inhibition of the PrL-NAcc circuit. DREADD (Designer receptors exclusively activated by designer drug) analysis found that the activation of PrL-NAcc glutaminergic projection alleviated depression-like behaviors and increased DRD2- and RASD2-positive neurons in the NAcc. Using Drd2-cre transgenic mice, we constructed mice with Rasd2 overexpression in DRD2 neurons, finding that Rasd2 overexpression ameliorated 5-d UMS-induced depression-like behaviors. These findings demonstrate a critical role for RASD2 modulation of DRD2 neurons in 5-d UMS-induced depression-like behaviors. In addition, the study identifies a new potential strategy for precision medical treatment of depression.

摘要

抑郁症状,如快感缺乏、社交互动减少和缺乏动力,表明大脑奖赏系统参与了抑郁症的病理生理过程。长期暴露于应激会损害大脑奖赏回路的功能,并且众所周知其与抑郁症的病因有关。一项转录组分析发现,应激会改变小鼠前额叶皮质(PFC)中Rasd2的表达。同样,在我们之前的研究中,急性禁食会降低小鼠PFC中Rasd2的表达,并且RASD2调节去卵巢小鼠中多巴胺D2受体(DRD2)介导的抗抑郁样作用。这项研究表明RASD2在应激诱导的抑郁症中的作用及其潜在的神经机制,需要进一步研究。在这里,我们表明,暴露于5天不可预测的轻度应激(5-d UMS)会降低小鼠伏隔核(NAc)和内侧前额叶皮质(mPFC)中RASD2的表达,而在伏隔核核心(NAcc)中过表达(而非敲低)Rasd2可减轻5-d UMS诱导的抑郁样行为,并激活DRD2-cAMP-PKA-DARPP-32信号通路。进一步的研究通过逆行示踪剂荧光金标记,研究了mPFC(Cg1、PrL和IL)与NAc之间的神经元投射。5-d UMS诱导的抑郁样行为仅与PrL-NAc回路的抑制有关。设计受体特异性激活药物(DREADD)分析发现,激活PrL-NAc谷氨酸能投射可减轻抑郁样行为,并增加NAc中DRD2和RASD2阳性神经元。使用Drd2-cre转基因小鼠,我们构建了在DRD2神经元中过表达Rasd2的小鼠,发现Rasd2过表达改善了5-d UMS诱导的抑郁样行为。这些发现证明了RASD2对DRD2神经元的调节在5-d UMS诱导的抑郁样行为中起关键作用。此外,该研究确定了一种抑郁症精准医疗的新潜在策略。

https://cdn.ncbi.nlm.nih.gov/pmc/blobs/bde6/11746134/0097262180c5/41380_2024_2684_Fig5_HTML.jpg
https://cdn.ncbi.nlm.nih.gov/pmc/blobs/bde6/11746134/e926c95ce4bb/41380_2024_2684_Fig1_HTML.jpg
https://cdn.ncbi.nlm.nih.gov/pmc/blobs/bde6/11746134/b7247057c34e/41380_2024_2684_Fig2_HTML.jpg
https://cdn.ncbi.nlm.nih.gov/pmc/blobs/bde6/11746134/ef7417dec044/41380_2024_2684_Fig3_HTML.jpg
https://cdn.ncbi.nlm.nih.gov/pmc/blobs/bde6/11746134/013bb55d6585/41380_2024_2684_Fig4_HTML.jpg
https://cdn.ncbi.nlm.nih.gov/pmc/blobs/bde6/11746134/0097262180c5/41380_2024_2684_Fig5_HTML.jpg
https://cdn.ncbi.nlm.nih.gov/pmc/blobs/bde6/11746134/e926c95ce4bb/41380_2024_2684_Fig1_HTML.jpg
https://cdn.ncbi.nlm.nih.gov/pmc/blobs/bde6/11746134/b7247057c34e/41380_2024_2684_Fig2_HTML.jpg
https://cdn.ncbi.nlm.nih.gov/pmc/blobs/bde6/11746134/ef7417dec044/41380_2024_2684_Fig3_HTML.jpg
https://cdn.ncbi.nlm.nih.gov/pmc/blobs/bde6/11746134/013bb55d6585/41380_2024_2684_Fig4_HTML.jpg
https://cdn.ncbi.nlm.nih.gov/pmc/blobs/bde6/11746134/0097262180c5/41380_2024_2684_Fig5_HTML.jpg

相似文献

1
Rasd2 regulates depression-like behaviors via DRD2 neurons in the prelimbic cortex afferent to nucleus accumbens core circuit.Rasd2通过伏隔核核心回路前边缘皮质传入的DRD2神经元调节抑郁样行为。
Mol Psychiatry. 2025 Feb;30(2):435-449. doi: 10.1038/s41380-024-02684-5. Epub 2024 Aug 3.
2
Rasd2 Mediates Acute Fasting-Induced Antidepressant-Like Effects via Dopamine D2 Receptor Activation in Ovariectomized Mice.Rasd2 通过激活卵巢切除小鼠中的多巴胺 D2 受体介导急性禁食引起的抗抑郁样效应。
Int J Neuropsychopharmacol. 2023 Mar 22;26(3):217-229. doi: 10.1093/ijnp/pyac082.
3
Dopamine D2 receptors in pyramidal neurons in the medial prefrontal cortex regulate social behavior.中前额皮质的锥体神经元中的多巴胺 D2 受体调节社会行为。
Pharmacol Res. 2024 Jan;199:107042. doi: 10.1016/j.phrs.2023.107042. Epub 2023 Dec 22.
4
Excitatory Projections from the Prefrontal Cortex to Nucleus Accumbens Core D1-MSNs and κ Opioid Receptor Modulate Itch-Related Scratching Behaviors.前额叶皮层投射到伏隔核核心 D1-MSNs 的兴奋性投射和 κ 阿片受体调节瘙痒相关抓挠行为。
J Neurosci. 2023 Feb 22;43(8):1334-1347. doi: 10.1523/JNEUROSCI.1359-22.2023. Epub 2023 Jan 18.
5
Chronic restraint stress induces depression-like behaviors and alterations in the afferent projections of medial prefrontal cortex from multiple brain regions in mice.慢性束缚应激会导致小鼠出现类似抑郁的行为,并改变来自多个脑区的内侧前额叶皮质的传入投射。
Brain Res Bull. 2024 Jul;213:110981. doi: 10.1016/j.brainresbull.2024.110981. Epub 2024 May 21.
6
Chronic unpredictable mild stress-induced behavioral changes are coupled with dopaminergic hyperfunction and serotonergic hypofunction in mouse models of depression.慢性不可预测轻度应激诱导的行为变化与抑郁小鼠模型中的多巴胺能功能亢进和 5-羟色胺能功能低下有关。
Behav Brain Res. 2019 Oct 17;372:112053. doi: 10.1016/j.bbr.2019.112053. Epub 2019 Jul 6.
7
Hippocampal SorCS2 overexpression represses chronic stress-induced depressive-like behaviors by promoting the BDNF-TrkB system.海马 SorCS2 过表达通过促进 BDNF-TrkB 系统抑制慢性应激诱导的抑郁样行为。
Pharmacol Biochem Behav. 2024 Sep;242:173820. doi: 10.1016/j.pbb.2024.173820. Epub 2024 Jul 10.
8
Increased Excitability and Synaptic Plasticity of Drd1- and Drd2-Expressing Prelimbic Neurons Projecting to Nucleus Accumbens after Heroin Abstinence Are Reversed by Cue-Induced Relapse and Protein Kinase A Inhibition.在海洛因戒断后,投射到伏隔核的表达 Drd1 和 Drd2 的前额叶神经元的兴奋性和突触可塑性增加,而线索诱导的复吸和蛋白激酶 A 抑制可使其逆转。
J Neurosci. 2023 May 31;43(22):4019-4032. doi: 10.1523/JNEUROSCI.0108-23.2023. Epub 2023 Apr 24.
9
SIRT1 Mediates Depression-Like Behaviors in the Nucleus Accumbens.SIRT1介导伏隔核中的抑郁样行为。
J Neurosci. 2016 Aug 10;36(32):8441-52. doi: 10.1523/JNEUROSCI.0212-16.2016.
10
Prelimbic to Accumbens Core Pathway Is Recruited in a Dopamine-Dependent Manner to Drive Cued Reinstatement of Cocaine Seeking.前边缘皮层至伏隔核核心通路以多巴胺依赖的方式被激活,以驱动线索诱发的可卡因觅求行为恢复。
J Neurosci. 2016 Aug 17;36(33):8700-11. doi: 10.1523/JNEUROSCI.1291-15.2016.

引用本文的文献

1
Chronic stress in mice: how gut bacteria influence gene activity in key brain neurons.小鼠的慢性应激:肠道细菌如何影响关键脑神经元中的基因活性。
Transl Psychiatry. 2025 Aug 2;15(1):262. doi: 10.1038/s41398-025-03479-0.
2
Upregulated inwardly rectifying K current-mediated hypoactivity of parvalbumin interneurons underlies autism-like deficits in -deficient mice.内向整流钾电流介导的小白蛋白中间神经元活性上调是γ-氨基丁酸缺乏小鼠自闭症样缺陷的基础。
J Biomed Res. 2025 Mar 31;39(4):417-429. doi: 10.7555/JBR.38.20240394.

本文引用的文献

1
Dopamine D2 receptors in pyramidal neurons in the medial prefrontal cortex regulate social behavior.中前额皮质的锥体神经元中的多巴胺 D2 受体调节社会行为。
Pharmacol Res. 2024 Jan;199:107042. doi: 10.1016/j.phrs.2023.107042. Epub 2023 Dec 22.
2
Reward and Immune Systems in Emotion (RISE) prospective longitudinal study: Protocol overview of an integrative reward-inflammation model of first onset of major depression in adolescence.情绪中的奖赏与免疫系统(RISE)前瞻性纵向研究:青少年重度抑郁症首次发作的综合奖赏-炎症模型方案概述
Brain Behav Immun Health. 2023 May 29;30:100643. doi: 10.1016/j.bbih.2023.100643. eCollection 2023 Jul.
3
Areca catechu L. ameliorates chronic unpredictable mild stress-induced depression behavior in rats by the promotion of the BDNF signaling pathway.
槟榔通过促进脑源性神经营养因子信号通路改善慢性不可预测轻度应激诱导的大鼠抑郁行为。
Biomed Pharmacother. 2023 Aug;164:114459. doi: 10.1016/j.biopha.2023.114459. Epub 2023 May 26.
4
Fasting produces antidepressant-like effects via activating mammalian target of rapamycin complex 1 signaling pathway in ovariectomized mice.禁食通过激活去卵巢小鼠的雷帕霉素靶蛋白复合物1信号通路产生抗抑郁样作用。
Neural Regen Res. 2023 Sep;18(9):2075-2081. doi: 10.4103/1673-5374.367928.
5
Rasd2 Mediates Acute Fasting-Induced Antidepressant-Like Effects via Dopamine D2 Receptor Activation in Ovariectomized Mice.Rasd2 通过激活卵巢切除小鼠中的多巴胺 D2 受体介导急性禁食引起的抗抑郁样效应。
Int J Neuropsychopharmacol. 2023 Mar 22;26(3):217-229. doi: 10.1093/ijnp/pyac082.
6
Infralimbic medial prefrontal cortex signalling to calbindin 1 positive neurons in posterior basolateral amygdala suppresses anxiety- and depression-like behaviours.扣带皮层下边缘脑区向杏仁核后外侧基底核中钙结合蛋白 1 阳性神经元的信号传递抑制焦虑和抑郁样行为。
Nat Commun. 2022 Sep 17;13(1):5462. doi: 10.1038/s41467-022-33139-6.
7
Optogenetic stimulation of medial prefrontal cortex excites GABAergic cells in the nucleus accumbens and hippocampus of Wistar-Kyoto rats exposed to chronic mild stress.慢性轻度应激暴露的 Wistar-Kyoto 大鼠,光遗传刺激前额皮质内侧部可兴奋伏隔核和海马中的 GABA 能细胞。
Psychopharmacology (Berl). 2022 Jul;239(7):2299-2307. doi: 10.1007/s00213-022-06116-6. Epub 2022 Mar 16.
8
Ensuring care for people with depression.确保为抑郁症患者提供护理。
Lancet. 2022 Mar 5;399(10328):885. doi: 10.1016/S0140-6736(21)01149-1. Epub 2022 Feb 15.
9
Structure and function differences in the prelimbic cortex to basolateral amygdala circuit mediate trait vulnerability in a novel model of acute social defeat stress in male mice.前额皮质到外侧杏仁核回路的结构和功能差异介导了雄性小鼠新型急性社交挫败应激模型中的特质易感性。
Neuropsychopharmacology. 2022 Feb;47(3):788-799. doi: 10.1038/s41386-021-01229-6. Epub 2021 Nov 19.
10
Stress-induced depressive-like behavior in male rats is associated with microglial activation and inflammation dysregulation in the hippocampus in adulthood.应激诱导的雄性大鼠抑郁样行为与成年海马中的小胶质细胞激活和炎症失调有关。
Brain Behav Immun. 2022 Jan;99:397-408. doi: 10.1016/j.bbi.2021.10.018. Epub 2021 Nov 15.